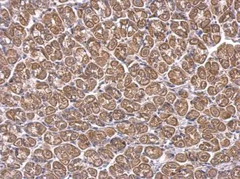
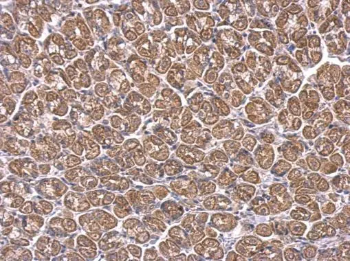
ACAA1抗体
目录号 GTX114229
                        目录号  GTX114229
                    
                            - 
                                            宿主Rabbit
- 
                                            克隆Polyclonal
- 
                                                同种型IgG
- 
                                            实验应用WB ICC/IF IHC-P
- 
                                            种属反应Human, Mouse, Rat
 
                                                         
                                                            
                                                         
                                                            
                                                        