免疫组化(IHC)是一种适用于学术和临床研究以及病人护理中不可或缺的常规应用。除了组织切片的制备质量,决定IHC数据可靠性的关键因素在于所用抗体的适用性,而这一因素只能通过严格且集中的试剂验证来评估。
 
有鉴于此,GeneTex推出HistoMAX系列产品,其中包括专门适用于 IHC 的抗体。为了确保抗体的特异性和同类最佳的性能,该产品已在各种正常组织和癌组织微阵列中进行IHC广泛性评估。只有通过严格的 IHC 性能标准的抗体才会被添加到 HistoMAX 产品组合中。
 
以下产品列表中,都经过严格验证的IHC专用抗体,您可寻您所需,亦可来信咨询。
 
 
See all related Products
 
 
  
 
 
 
| 
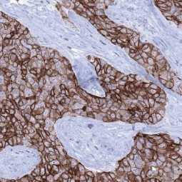
| ![E-Cadherin antibody [MSVA-035R] HistoMAX™ (GTX04367)](/upload/media/research/HistoMAX/255x255_01.webp) |  
| 
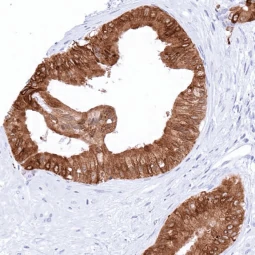
| E-Cadherin antibody [MSVA-035R] HistoMAX™ |  
| GTX04367  |  |  | 
| ![GATA3 antibody [MSVA-450M] HistoMAX™ (GTX04420)](/upload/media/research/HistoMAX/255x255_02.webp) |  
| 
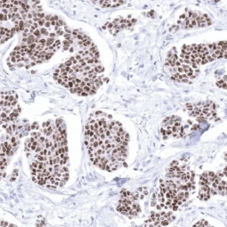
| GATA3 antibody [MSVA-450M] HistoMAX™ |  
| GTX04420  |  |  | 
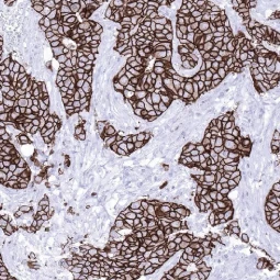
| ![Her2 / ErbB2 antibody [MSVA-340R] HistoMAX™ (GTX04428)](/upload/media/research/HistoMAX/255x255_03.webp) |  
| 
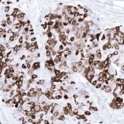
| Her2 / ErbB2 antibody [MSVA-340R] HistoMAX™ |  
| GTX04428  |  |  |  | 
|  |  |  |  | 
 
| 
| ![Mammaglobin A antibody [MSVA-457R] HistoMAX™ (GTX04406)](/upload/media/research/HistoMAX/255x255_04.webp) |  
| 
| Mammaglobin A antibody [MSVA-457R] HistoMAX™ |  
| GTX04406  |  |  | 
| ![Progesterone Receptor antibody [MSVA-570R] HistoMAX™ (GTX04431)](/upload/media/research/HistoMAX/255x255_05.webp) |  
| 
| Progesterone Receptor antibody [MSVA-570R] HistoMAX™ |  
| GTX04431  |  |  | 
| ![TACSTD2 antibody [MSVA-733R] HistoMAX™ (GTX04443)](/upload/media/research/HistoMAX/255x255_06.webp) |  
| 
| TACSTD2 antibody [MSVA-733R] HistoMAX™ |  
| GTX04443  |  |  |  | 
|  |  |  |  | 
   
 
| TOP |
 
 
 
| 
| ![Calbindin antibody [MSVA-471M] HistoMAX™ (GTX04454)](/upload/media/research/HistoMAX/255x255_07.webp) |  
| 
| Calbindin antibody [MSVA-471M] HistoMAX™ |  
| GTX04454  |  |  | 
| ![NSE antibody [MSVA-451M] HistoMAX™ (GTX04388)](/upload/media/research/HistoMAX/255x255_08.webp) |  
| 
| NSE antibody [MSVA-451M] HistoMAX™ |  
| GTX04388  |  |  | 
| ![Synaptophysin antibody [MSVA-462R] HistoMAX™ (GTX04371)](/upload/media/research/HistoMAX/255x255_09.webp) |  
| 
| Synaptophysin antibody [MSVA-462R] HistoMAX™ |  
| GTX04371 |  |  |  | 
|  |  |  |  | 
 
| TOP |
 
 
 
 
| 
| ![CD66e antibody [MSVA-465R] HistoMAX™ (GTX04399)](/upload/media/research/HistoMAX/255x255_10.webp) |  
| 
| CD66e antibody [MSVA-465R] HistoMAX™ |  
| GTX04399  |  |  | 
| ![MSH6 antibody [MSVA-906R] HistoMAX™ (GTX04416)](/upload/media/research/HistoMAX/255x255_11.webp) |  
| 
| MSH6 antibody [MSVA-906R] HistoMAX™ |  
| GTX04416 |  |  | 
| ![PD-L1 antibody [MSVA-711R] HistoMAX™ (GTX04362)](/upload/media/research/HistoMAX/255x255_12.webp) |  
| 
| PD-L1 antibody [MSVA-711R] HistoMAX™ |  
| GTX04362  |  |  |  | 
|  |  |  |  | 
 
  
| 
| ![SATB2 antibody [MSVA-702R] HistoMAX™ (GTX04414)](/upload/media/research/HistoMAX/255x255_13.webp) |  
| 
| SATB2 antibody [MSVA-702R] HistoMAX™ |  
| GTX04414  |  |  | 
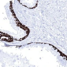
| ![Thrombomodulin antibody [MSVA-141M] HistoMAX™ (GTX04446)](/upload/media/research/HistoMAX/255x255_14.webp) |  
| 
| Thrombomodulin antibody [MSVA-141M] HistoMAX™ |  
| GTX04446  |  |  | 
| ![Topoisomerase II alpha antibody [MSVA-802R] HistoMAX™ (GTX04422)](/upload/media/research/HistoMAX/255x255_15.webp) |  
| 
| Topoisomerase II alpha antibody [MSVA-802R] HistoMAX™ |  
| GTX04422  |  |  |  | 
|  |  |  |  | 
  
| TOP |
 
 
 
 
| 
| ![Cystatin A antibody [MSVA-461M] HistoMAX™ (GTX04453)](/upload/media/research/HistoMAX/255x255_16.webp) |  
| 
| Cystatin A antibody [MSVA-461M] HistoMAX™ |  
| GTX04453  |  |  | 
| ![Cytokeratin 14 antibody [MSVA-614R] HistoMAX™ (GTX04377)](/upload/media/research/HistoMAX/255x255_17.webp) |  
| 
| Cytokeratin 14 antibody [MSVA-614R] HistoMAX™ |  
| GTX04377  |  |  | 
| ![Ku80 antibody [MSVA-880M] HistoMAX™ (GTX04480)](/upload/media/research/HistoMAX/255x255_18.webp) |  
| 
| Ku80 antibody [MSVA-880M] HistoMAX™ |  
| GTX04480  |  |  |  | 
|  |  |  |  | 
 
 
| 
| ![Nucleolin antibody [MSVA-623R] HistoMAX™ (GTX04456)](/upload/media/research/HistoMAX/255x255_19.webp) |  
| 
| Nucleolin antibody [MSVA-623R] HistoMAX™ |  
| GTX04456  |  |  | 
| ![p63 antibody [MSVA-063R] HistoMAX™ (GTX04458)](/upload/media/research/HistoMAX/255x255_20.webp) |  
| 
| p63 antibody [MSVA-063R] HistoMAX™ |  
| GTX04458  |  |  | 
| ![SOX9 antibody [MSVA-709R] HistoMAX™ (GTX04459)](/upload/media/research/HistoMAX/255x255_21.webp) |  
| 
| SOX9 antibody [MSVA-709R] HistoMAX™ |  
| GTX04459  |  |  |  | 
|  |  |  |  | 
| TOP |
 
 
 
 
| 
| ![ACE2 antibody [MSVA-919R] HistoMAX™ (GTX04425)](/upload/media/research/HistoMAX/255x255_22.webp) |  
| 
| ACE2 antibody [MSVA-919R] HistoMAX™ |  
| GTX04425  |  |  | 
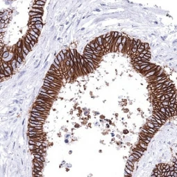
| ![MUC1 antibody [MSVA-672R] HistoMAX™ (GTX04397)](/upload/media/research/HistoMAX/255x255_23.webp) |  
| 
| MUC1 antibody [MSVA-672R] HistoMAX™ |  
| GTX04397  |  |  | 
| ![TACSTD2 antibody [MSVA-733R] HistoMAX™ (GTX04443)](/upload/media/research/HistoMAX/255x255_24.webp) |  
| 
| TACSTD2 antibody [MSVA-733R] HistoMAX™ |  
| GTX04443  |  |  |  | 
|  |  |  |  | 
 
| TOP |
 
 
 
 
| 
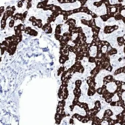
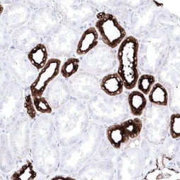
| ![CDH16 antibody [MSVA-516R] HistoMAX™ (GTX04455)](/upload/media/research/HistoMAX/255x255_25.webp) |  
| 
| CDH16 antibody [MSVA-516R] HistoMAX™ |  
| GTX04455  |  |  | 
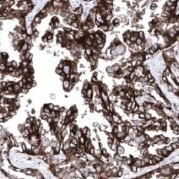
| ![Collagen IV antibody [MSVA-704R] HistoMAX™ (GTX04434)](/upload/media/research/HistoMAX/255x255_26.webp) |  
| 
| Collagen IV antibody [MSVA-704R] HistoMAX™ |  
| GTX04434  |  |  | 
| ![Histone H3 antibody [MSVA-903M] HistoMAX™ (GTX04421)](/upload/media/research/HistoMAX/255x255_27.webp) |  
| 
| Histone H3 antibody [MSVA-903M] HistoMAX™ |  
| GTX04421 |  |  |  | 
|  |  |  |  | 
| TOP |
 
 
 
 
| 
| ![Arginase 1 antibody [MSVA-511R] HistoMAX™ (GTX04426)](/upload/media/research/HistoMAX/255x255_28.webp) |  
| 
| Arginase 1 antibody [MSVA-511R] HistoMAX™ |  
| GTX04426  |  |  | 
| ![Hepatocyte Specific Antigen antibody [MSVA-OCE5] HistoMAX™ (GTX04478)](/upload/media/research/HistoMAX/255x255_29.webp) |  
| 
| Hepatocyte Specific Antigen antibody [MSVA-OCE5] HistoMAX™ |  
| GTX04478  |  |  | 
| ![pan Cytokeratin antibody [MSVA-000R] HistoMAX™ (GTX04363)](/upload/media/research/HistoMAX/255x255_30.webp) |  
| 
| pan Cytokeratin antibody [MSVA-000R] HistoMAX™ |  
| GTX04363  |  |  |  | 
|  |  |  |  | 
   
| TOP |
 
 
 
 
| 
| ![CD7 antibody [MSVA-007R] HistoMAX (GTX04390)](/upload/media/research/HistoMAX/255x255_31.webp) |  
| 
| CD7 antibody [MSVA-007R] HistoMAX™ |  
| GTX04390  |  |  | 
| ![EpCAM antibody [MSVA-326R] HistoMAX™ (GTX04380)](/upload/media/research/HistoMAX/255x255_32.webp) |  
| 
| EpCAM antibody [MSVA-326R] HistoMAX™ |  
| GTX04380  |  |  | 
| ![Napsin A antibody [MSVA-555R] HistoMAX™ (GTX04366)](/upload/media/research/HistoMAX/255x255_33.webp) |  
| 
| Napsin A antibody [MSVA-555R] HistoMAX™ |  
| GTX04366 |  |  |  | 
|  |  |  |  | 
  
| TOP |
 
 
 
 
| 
| ![CD3 epsilon antibody [MSVA-003R] HistoMAX™ (GTX04389)](/upload/media/research/HistoMAX/255x255_34.webp) |  
| 
| CD3 epsilon antibody [MSVA-003R] HistoMAX™ |  
| GTX04389  |  |  | 
| ![CTLA4 antibody [MSVA-152R] HistoMAX™ (GTX04439)](/upload/media/research/HistoMAX/255x255_35.webp) |  
| 
| CTLA4 antibody [MSVA-152R] HistoMAX™ |  
| GTX04439  |  |  | 
| ![Factor XIIIa antibody [MSVA-813R] HistoMAX™ (GTX04452)](/upload/media/research/HistoMAX/255x255_36.webp) |  
| 
| Factor XIIIa antibody [MSVA-813R] HistoMAX™ |  
| GTX04452  |  |  |  | 
|  |  |  |  | 
  
| TOP |
 
 
 
 
| 
| ![Mesothelin antibody [MSVA-235M] HistoMAX™ (GTX04373)](/upload/media/research/HistoMAX/255x255_37.webp) |  
| 
| Mesothelin antibody [MSVA-235M] HistoMAX™ |  
| GTX04373  |  |  | 
| ![Estrogen Receptor alpha antibody [MSVA-564R] HistoMAX™ (GTX04474)](/upload/media/research/HistoMAX/255x255_38.webp) |  
| 
| Estrogen Receptor alpha antibody [MSVA-564R] HistoMAX™ |  
| GTX04474  |  |  | 
| ![Villin antibody [MSVA-459R] HistoMAX™ (GTX04400)](/upload/media/research/HistoMAX/255x255_39.webp) |  
| 
| Villin antibody [MSVA-459R] HistoMAX™ |  
| GTX04400  |  |  |  | 
|  |  |  |  | 
 
  
| 
| ![Occludin antibody [MSVA-415M] HistoMAX™ (GTX04461)](/upload/media/research/HistoMAX/255x255_40.webp) |  
| 
| Occludin antibody [MSVA-415M] HistoMAX™ |  
| GTX04461  |  |  | 
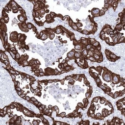
| ![PAX8 antibody [MSVA-708R] HistoMAX™ (GTX04430)](/upload/media/research/HistoMAX/255x255_41.webp) |  
| 
| PAX8 antibody [MSVA-708R] HistoMAX™ |  
| GTX04430  |  |  | 
| ![VWF antibody [MSVA-521R] HistoMAX™ (GTX04412)](/upload/media/research/HistoMAX/255x255_42.webp) |  
| 
| VWF antibody [MSVA-521R] HistoMAX™ |  
| GTX04412 |  |  |  | 
|  |  |  |  | 
 
 
| TOP |
 
 
 
 
| 
| ![CPA1 antibody [MSVA-601M] HistoMAX™ (GTX04433)](/upload/media/research/HistoMAX/255x255_43.webp) |  
| 
| CPA1 antibody [MSVA-601M] HistoMAX™ |  
| GTX04433  |  |  | 
| ![Elastase 3B antibody [MSVA-410M] HistoMAX™ (GTX04445)](/upload/media/research/HistoMAX/255x255_44.webp) |  
| 
| Elastase 3B antibody [MSVA-410M] HistoMAX™ |  
| GTX04445  |  |  | 
| ![GP2 antibody [MSVA-475M] HistoMAX™ (GTX04436)](/upload/media/research/HistoMAX/255x255_45.webp) |  
| 
| GP2 antibody [MSVA-475M] HistoMAX™ |  
| GTX04436  |  |  |  | 
|  |  |  |  | 
 
  
| 
| ![BRG1 antibody [MSVA-397R] HistoMAX™ (GTX04486)](/upload/media/research/HistoMAX/255x255_46.webp) |  
| 
| BRG1 antibody [MSVA-397R] HistoMAX™ |  
| GTX04486 |  |  | 
| ![MPYS antibody [MSVA-515M] HistoMAX™ (GTX04484)](/upload/media/research/HistoMAX/255x255_47.webp) |  
| 
| MPYS antibody [MSVA-515M] HistoMAX™ |  
| GTX04484 |  |  | 
| ![TFF1 antibody [MSVA-482M] HistoMAX™ (GTX04488)](/upload/media/research/HistoMAX/255x255_48.webp) |  
| 
| TFF1 antibody [MSVA-482M] HistoMAX™ |  
| GTX04488 |  |  |  | 
|  |  |  |  | 
 
| TOP |
 
 
 
| 
| ![Cytokeratin 5 antibody [MSVA-605M] HistoMAX™ (GTX04402)](/upload/media/research/HistoMAX/255x255_49.webp) |  
| 
| Cytokeratin 5 antibody [MSVA-605M] HistoMAX™ |  
| GTX04402  |  |  | 
| ![Prostatic Acid Phosphatase antibody [MSVA-452M] HistoMAX™ (GTX04396)](/upload/media/research/HistoMAX/255x255_50.webp) |  
| 
| Prostatic Acid Phosphatase antibody [MSVA-452M] HistoMAX™ |  
| GTX04396  |  |  | 
| ![TRIM29 antibody [MSVA-629M] HistoMAX™ (GTX04467)](/upload/media/research/HistoMAX/255x255_51.webp) |  
| 
| TRIM29 antibody [MSVA-629M] HistoMAX™ |  
| GTX04467  |  |  |  | 
|  |  |  |  | 
 
| TOP |
 
 
 
 
 
| 
| ![Cytokeratin 10 antibody [MSVA-610M] HistoMAX™ (GTX04401)](/upload/media/research/HistoMAX/255x255_52.webp) |  
| 
| Cytokeratin 10 antibody [MSVA-610M] HistoMAX™ |  
| GTX04401  |  |  | 
| ![Cytokeratin 14 antibody [MSVA-614R] HistoMAX™ (GTX04377)](/upload/media/research/HistoMAX/255x255_53.webp) |  
| 
| Cytokeratin 14 antibody [MSVA-614R] HistoMAX™ |  
| GTX04377  |  |  | 
| ![Desmoglein 1 antibody [MSVA-544M] HistoMAX™ (GTX04464)](/upload/media/research/HistoMAX/255x255_54.webp) |  
| 
| Desmoglein 1 antibody [MSVA-544M] HistoMAX™ |  
| GTX04464  |  |  |  | 
|  |  |  |  | 
 
  
| 
| ![Kallikrein 7 antibody [MSVA-707M] HistoMAX™ (GTX04475)](/upload/media/research/HistoMAX/255x255_55.webp) |  
| 
| Kallikrein 7 antibody [MSVA-707M] HistoMAX™ |  
| GTX04475  |  |  | 
| ![GluT1 antibody [MSVA-401R] HistoMAX™ (GTX04469)](/upload/media/research/HistoMAX/255x255_56.webp) |  
| 
| GluT1 antibody [MSVA-401R] HistoMAX™ |  
| GTX04469  |  |  | 
| ![CD1a antibody [MSVA-001M] HistoMAX™ (GTX04407)](/upload/media/research/HistoMAX/255x255_57.webp) |  
| 
| CD1a antibody [MSVA-001M] HistoMAX™ |  
| GTX04407   |  |  |  | 
|  |  |  |  | 
 
| 
| ![Melan A antibody [MSVA-901M+] HistoMAX™ (GTX04384)](/upload/media/research/HistoMAX/255x255_58.webp) |  
| 
| Melan A antibody [MSVA-901M+] HistoMAX™ |  
| GTX04384  |  |  | 
| ![S100 antibody [MSVA-490R] HistoMAX™ (GTX04404)](/upload/media/research/HistoMAX/255x255_59.webp) |  
| 
| S100 antibody [MSVA-490R] HistoMAX™ |  
| GTX04404  |  |  | 
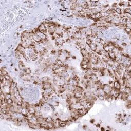
| ![Melanoma gp100 antibody [MSVA-617R] HistoMAX™ (GTX04382)](/upload/media/research/HistoMAX/255x255_60.webp) |  
| 
| Melanoma gp100 antibody [MSVA-617R] HistoMAX™ |  
| GTX04382  |  |  |  | 
|  |  |  |  | 
 
 
| TOP |
 
 
 
 
| 
| ![CD4 antibody [MSVA-004R] HistoMAX™ (GTX04379)](/upload/media/research/HistoMAX/255x255_61.webp) |  
| 
| CD4 antibody [MSVA-004R] HistoMAX™ |  
| GTX04379  |  |  | 
| ![CD45RA antibody [MSVA-472M] HistoMAX™ (GTX04372)](/upload/media/research/HistoMAX/255x255_62.webp) |  
| 
| CD45RA antibody [MSVA-472M] HistoMAX™ |  
| GTX04372  |  |  | 
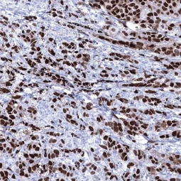
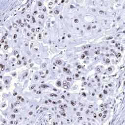
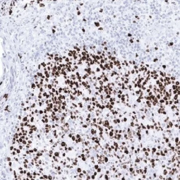
| ![GTX04361 Ki67 antibody [MSVA-267M] HistoMAX™ (GTX04361)](/upload/media/research/HistoMAX/255x255_63.webp) |  
| 
| GTX04361 Ki67 antibody [MSVA-267M] HistoMAX™ |  
| GTX04361  |  |  |  | 
|  |  |  |  | 
 
| TOP |
 
 
 
 
| 
| ![GAD65 antibody [MSVA-602M] HistoMAX™ (GTX04477)](/upload/media/research/HistoMAX/255x255_64.webp) |  
| 
| GAD65 antibody [MSVA-602M] HistoMAX™ |  
| GTX04477  |  |  | 
| ![PAX6 antibody [MSVA-706M] HistoMAX™ (GTX04487)](/upload/media/research/HistoMAX/255x255_65.webp) |  
| 
| PAX6 antibody [MSVA-706M] HistoMAX™ |  
| GTX04487  |  |  | 
| ![LI-Cadherin antibody [MSVA-517M] HistoMAX™ (GTX04447)](/upload/media/research/HistoMAX/255x255_66.webp) |  
| 
| LI-Cadherin antibody [MSVA-517M] HistoMAX™ |  
| GTX04447  |  |  |  | 
|  |  |  |  | 
 
 
| TOP |