EpCAM抗体 [MSVA-326R] HistoMAX™
目录号 GTX04380
                        目录号  GTX04380
                                
                    
                            - 
                                            宿主Rabbit
- 
                                            克隆Monoclonal
- 
                                            克隆编号MSVA-326R
- 
                                                同种型IgG
- 
                                            实验应用IHC-P
- 
                                            种属反应Human
 摘要
                                    
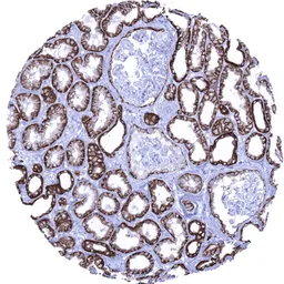
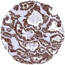
                                        This antibody was validated on 76 different Normal Tissues by IHC-P.
                                    
                                 
                                             
                                            ![Anti-EpCAM antibody [MSVA-326R] HistoMAX™ used in IHC (Paraffin sections) (IHC-P). GTX04380](/upload/website/prouct_img/middle/GTX04380/GTX04380_20230728_IHC-P_310_23072723_493.webp) 
                                                        ![Anti-EpCAM antibody [MSVA-326R] HistoMAX™ used in IHC (Paraffin sections) (IHC-P). GTX04380](/upload/website/prouct_img/middle/GTX04380/GTX04380_20230728_IHC-P_180_23072723_933.webp) 
                                                            
                                                        ![Anti-EpCAM antibody [MSVA-326R] HistoMAX™ used in IHC (Paraffin sections) (IHC-P). GTX04380](/upload/website/prouct_img/middle/GTX04380/GTX04380_20230728_IHC-P_50_23072722_768.webp)