PAX6抗体 [MSVA-706M] HistoMAX™

目录号 GTX04487
目录号  GTX04487
Anti-PAX6 antibody [MSVA-706M] HistoMAX™ used in IHC (Paraffin sections) (IHC-P). GTX04487
GTX04487 IHC-P Image

IHC-P analysis of human cerebellum tissue using GTX04487 PAX6 antibody [MSVA-706M] HistoMAX™.
Cerebellum with nuclear PAX6 staining of granule cells scaled.

1 / 3
Anti-PAX6 antibody [MSVA-706M] HistoMAX™ used in IHC (Paraffin sections) (IHC-P). GTX04487
GTX04487 IHC-P Image

IHC-P analysis of human pancreas tissue using GTX04487 PAX6 antibody [MSVA-706M] HistoMAX™.
Pancreas with intense nuclear PAX6 staining of islet cells scaled.

2 / 3
Anti-PAX6 antibody [MSVA-706M] HistoMAX™ used in IHC (Paraffin sections) (IHC-P). GTX04487
GTX04487 IHC-P Image

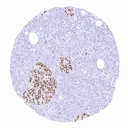
IHC-P analysis of human pancreatic neuroendocrine tumor (PNET) tissue using GTX04487 PAX6 antibody [MSVA-706M] HistoMAX™.
Pancreatic neuroendocrine tumor with strong predominantly nuclear PAX6 positivity of all tumor cells.

3 / 3
Anti-PAX6 antibody [MSVA-706M] HistoMAX™ used in IHC (Paraffin sections) (IHC-P). GTX04487
Anti-PAX6 antibody [MSVA-706M] HistoMAX™ used in IHC (Paraffin sections) (IHC-P). GTX04487
Anti-PAX6 antibody [MSVA-706M] HistoMAX™ used in IHC (Paraffin sections) (IHC-P). GTX04487
  • 宿主
    Mouse
  • 克隆
    Monoclonal
  • 克隆编号
    MSVA-706M
  • 同种型
    IgG1
  • 实验应用
    IHC-P
  • 种属反应
    Human
摘要
This antibody was validated on 76 different Normal Tissues by IHC-P.

Go to Normal Tissue GalleryGo to Cancer Tissue Gallery

查看所有 PAX6 的产品