BRG1抗体 [MSVA-397R] HistoMAX™

目录号 GTX04486
目录号  GTX04486
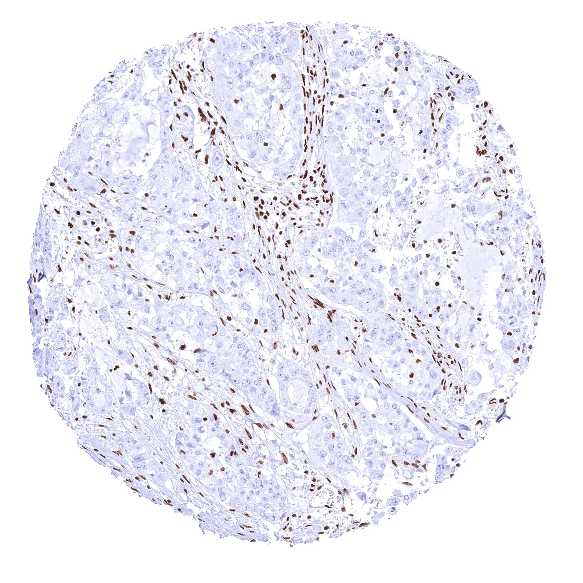
Anti-BRG1 antibody [MSVA-397R] HistoMAX™ used in IHC (Paraffin sections) (IHC-P). GTX04486
GTX04486 IHC-P Image

IHC-P analysis of human pancreatic ductal adenocarcinoma (PDAC) tissue using GTX04486 BRG1 antibody [MSVA-397R] HistoMAX™.
Ductal adenocarcinoma of the pancreas with complete loss of BRG1 staining in all tumor cells.

1 / 3
Anti-BRG1 antibody [MSVA-397R] HistoMAX™ used in IHC (Paraffin sections) (IHC-P). GTX04486
GTX04486 IHC-P Image

IHC-P analysis of human endometrium tissue using GTX04486 BRG1 antibody [MSVA-397R] HistoMAX™.
Intense nuclear BRG1 staining of all cell types of the endometrium.

2 / 3
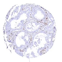
Anti-BRG1 antibody [MSVA-397R] HistoMAX™ used in IHC (Paraffin sections) (IHC-P). GTX04486
GTX04486 IHC-P Image

IHC-P analysis of human pulmonary adenocarcinoma tissue using GTX04486 BRG1 antibody [MSVA-397R] HistoMAX™.
Pulmonary adenocarcinoma with complete loss of BRG1 staining of tumor cells.

3 / 3
Anti-BRG1 antibody [MSVA-397R] HistoMAX™ used in IHC (Paraffin sections) (IHC-P). GTX04486
Anti-BRG1 antibody [MSVA-397R] HistoMAX™ used in IHC (Paraffin sections) (IHC-P). GTX04486
Anti-BRG1 antibody [MSVA-397R] HistoMAX™ used in IHC (Paraffin sections) (IHC-P). GTX04486
  • 宿主
    Rabbit
  • 克隆
    Monoclonal
  • 克隆编号
    MSVA-397R
  • 同种型
    IgG
  • 实验应用
    IHC-P
  • 种属反应
    Human
摘要
This antibody was validated on 76 different Normal Tissues by IHC-P.

Go to Normal Tissue GalleryGo to Cancer Tissue Gallery

查看所有 BRG1 的产品