NSE抗体 [MSVA-451M] HistoMAX™

目录号 GTX04388
目录号  GTX04388
Anti-NSE antibody [MSVA-451M] HistoMAX™ used in IHC (Paraffin sections) (IHC-P). GTX04388
GTX04388 IHC-P Image

IHC-P analysis of human adrenal pheochromocytoma tissue using GTX04388 NSE antibody [MSVA-451M] HistoMAX™.
Strong NSE immunostaining in an adrenal pheochromocytoma.

1 / 3
Anti-NSE antibody [MSVA-451M] HistoMAX™ used in IHC (Paraffin sections) (IHC-P). GTX04388
GTX04388 IHC-P Image

IHC-P analysis of human cerebellum tissue using GTX04388 NSE antibody [MSVA-451M] HistoMAX™.
A strong NSE immunostaining is seen in the granule cell layer and in the fibres of the white matter of the cerebellum.

2 / 3
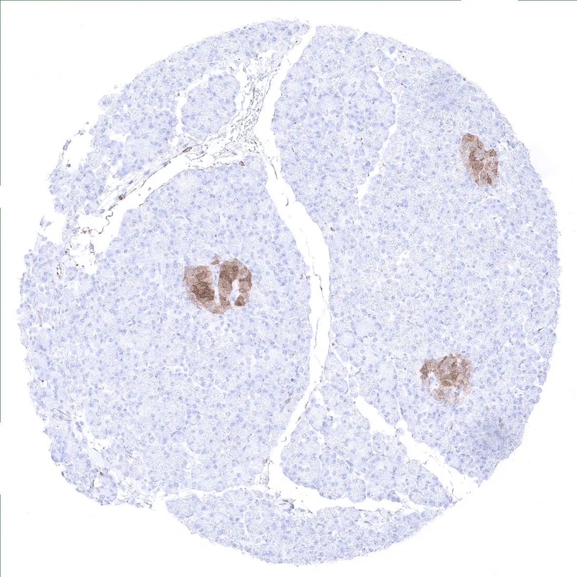
Anti-NSE antibody [MSVA-451M] HistoMAX™ used in IHC (Paraffin sections) (IHC-P). GTX04388
GTX04388 IHC-P Image

IHC-P analysis of human islets of Langerhans from pancreas tissue using GTX04388 NSE antibody [MSVA-451M] HistoMAX™.
Positive NSE immunostaining of islets of Langerhans.

3 / 3
Anti-NSE antibody [MSVA-451M] HistoMAX™ used in IHC (Paraffin sections) (IHC-P). GTX04388
Anti-NSE antibody [MSVA-451M] HistoMAX™ used in IHC (Paraffin sections) (IHC-P). GTX04388
Anti-NSE antibody [MSVA-451M] HistoMAX™ used in IHC (Paraffin sections) (IHC-P). GTX04388
  • 宿主
    Mouse
  • 克隆
    Monoclonal
  • 克隆编号
    MSVA-451M
  • 同种型
    IgG1
  • 实验应用
    IHC-P
  • 种属反应
    Human
摘要
This antibody was validated on 76 different Normal Tissues by IHC-P.

Go to Normal Tissue GalleryGo to Cancer Tissue Gallery

查看所有 NSE 的产品