CD45RA抗体 [MSVA-472M] HistoMAX™

目录号 GTX04372
目录号  GTX04372
Anti-CD45RA antibody [MSVA-472M] HistoMAX™ used in IHC (Paraffin sections) (IHC-P). GTX04372
GTX04372 IHC-P Image

IHC-P analysis of human tonsil tissue using GTX04372 CD45RA antibody [MSVA-472M] HistoMAX™.
The majority of lymphocytes of all types are CD45RA positive in the tonsil while the surface epithelium is CD45RA negative.

1 / 3
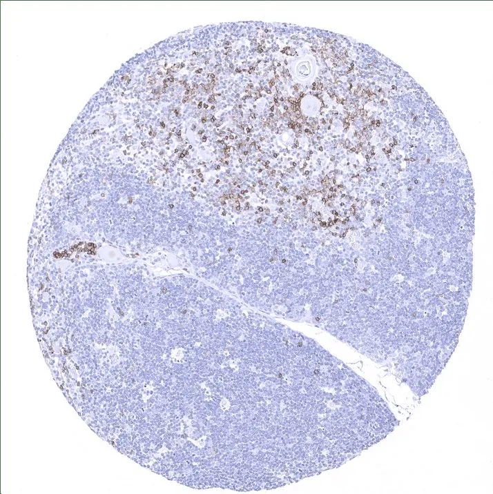
Anti-CD45RA antibody [MSVA-472M] HistoMAX™ used in IHC (Paraffin sections) (IHC-P). GTX04372
GTX04372 IHC-P Image

IHC-P analysis of human thymus tissue using GTX04372 CD45RA antibody [MSVA-472M] HistoMAX™.
More than 99 of the cortical thymocytes are CD45RA negative. The rate of CD45RA positive cells is markedly higher in the medulla.

2 / 3
Anti-CD45RA antibody [MSVA-472M] HistoMAX™ used in IHC (Paraffin sections) (IHC-P). GTX04372
GTX04372 IHC-P Image

IHC-P analysis of human spleen tissue using GTX04372 CD45RA antibody [MSVA-472M] HistoMAX™.
The vast majority of splenic lymphocytes of the white pulp of the spleen are CD45RA positive.

3 / 3
Anti-CD45RA antibody [MSVA-472M] HistoMAX™ used in IHC (Paraffin sections) (IHC-P). GTX04372
Anti-CD45RA antibody [MSVA-472M] HistoMAX™ used in IHC (Paraffin sections) (IHC-P). GTX04372
Anti-CD45RA antibody [MSVA-472M] HistoMAX™ used in IHC (Paraffin sections) (IHC-P). GTX04372
  • 宿主
    Mouse
  • 克隆
    Monoclonal
  • 克隆编号
    MSVA-472M
  • 同种型
    IgG2a
  • 实验应用
    IHC-P
  • 种属反应
    Human
摘要
This antibody was validated on 76 different Normal Tissues by IHC-P.

Go to Normal Tissue GalleryGo to Cancer Tissue Gallery

查看所有 CD45RA 的产品