Melan A抗体 [MSVA-901M+] HistoMAX™

目录号 GTX04384
目录号  GTX04384
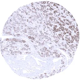
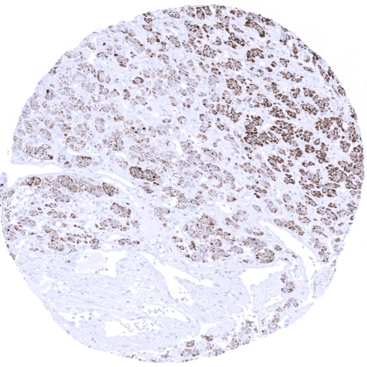
Anti-Melan A antibody [MSVA-901M+] HistoMAX™ used in IHC (Paraffin sections) (IHC-P). GTX04384
GTX04384 IHC-P Image

IHC-P analysis of human adrenocortical adenoma tissue using GTX04384 Melan A antibody [MSVA-901M+] HistoMAX™.
Adrenocortical adenoma showing diffuse strong Melan A positivity.

1 / 3
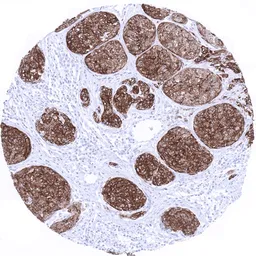
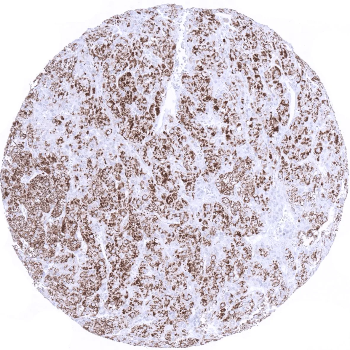
Anti-Melan A antibody [MSVA-901M+] HistoMAX™ used in IHC (Paraffin sections) (IHC-P). GTX04384
GTX04384 IHC-P Image

IHC-P analysis of human clear cell renal cell carcinoma (ccRCC) tissue using GTX04384 Melan A antibody [MSVA-901M+] HistoMAX™.
Clear cell renal cell carcinoma showing moderate to strong Melan A immunostaining of tumor cells.

2 / 3
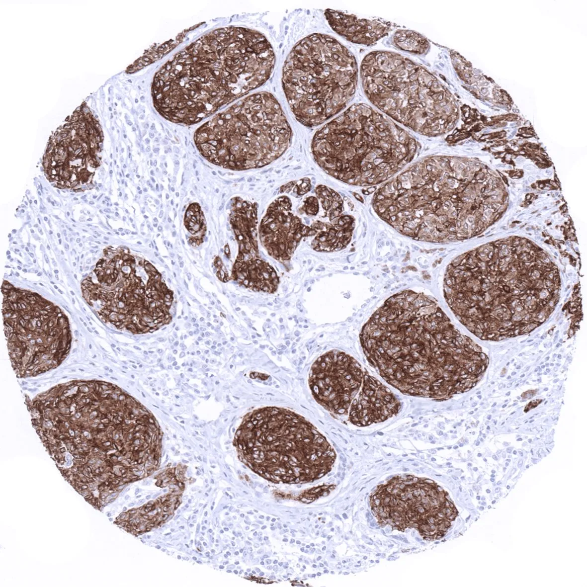
Anti-Melan A antibody [MSVA-901M+] HistoMAX™ used in IHC (Paraffin sections) (IHC-P). GTX04384
GTX04384 IHC-P Image

IHC-P analysis of human malignant melanoma from skin tissue using GTX04384 Melan A antibody [MSVA-901M+] HistoMAX™.
Malignant melanoma with strong Melan A positivity in all tumor cells.

3 / 3
Anti-Melan A antibody [MSVA-901M+] HistoMAX™ used in IHC (Paraffin sections) (IHC-P). GTX04384
Anti-Melan A antibody [MSVA-901M+] HistoMAX™ used in IHC (Paraffin sections) (IHC-P). GTX04384
Anti-Melan A antibody [MSVA-901M+] HistoMAX™ used in IHC (Paraffin sections) (IHC-P). GTX04384
  • 宿主
    Mouse
  • 克隆
    Monoclonal
  • 克隆编号
    MSVA-901M+
  • 同种型
    IgG1
  • 实验应用
    IHC-P
  • 种属反应
    Human
摘要
This antibody was validated on 76 different Normal Tissues by IHC-P.

Go to Normal Tissue GalleryGo to Cancer Tissue Gallery

查看所有 Melan A 的产品