ACADM抗体

目录号 GTX100488
目录号  GTX100488
Anti-ACADM antibody used in Western Blot (WB). GTX100488
GTX100488 WB Image

Sample(30 μg of whole cell lysate)
A:MOLT4(GTX27912)
7.5% SDS PAGE
GTX100488 diluted at 1:2000

1 / 6
Anti-ACADM antibody used in Western Blot (WB). GTX100488
GTX100488 WB Image

ACADM antibody detects ACADM protein by Western blot analysis.
A. 30 μg PC-12 whole cell lysate/extract
10 % SDS-PAGE
ACADM antibody (GTX100488) dilution: 1:1000

2 / 6
Anti-ACADM antibody used in Western Blot (WB). GTX100488
GTX100488 WB Image

ACADM antibody detects ACADM protein by Western blot analysis.
A. 30 μg Neuro2A whole cell lysate/extract
B. 30 μg GL261 whole cell lysate/extract
C. 30 μg C8D30 whole cell lysate/extract
10 % SDS-PAGE
ACADM antibody (GTX100488) dilution: 1:1000

3 / 6
Anti-ACADM antibody used in Immunocytochemistry/ Immunofluorescence (ICC/IF). GTX100488
GTX100488 ICC/IF Image

ACADM antibody detects ACADM protein at mitochondria by immunofluorescent analysis.
Sample: HeLa cells were fixed in 4% paraformaldehyde at RT for 15 min.
Green: ACADM protein stained by ACADM antibody (GTX100488) diluted at 1:500.
Red: alpha Tubulin, a cytoskeleton marker, stained by alpha Tubulin antibody [GT114] (GTX628802) diluted at 1:1000.
Blue: Hoechst 33342 staining.

4 / 6
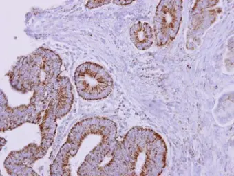
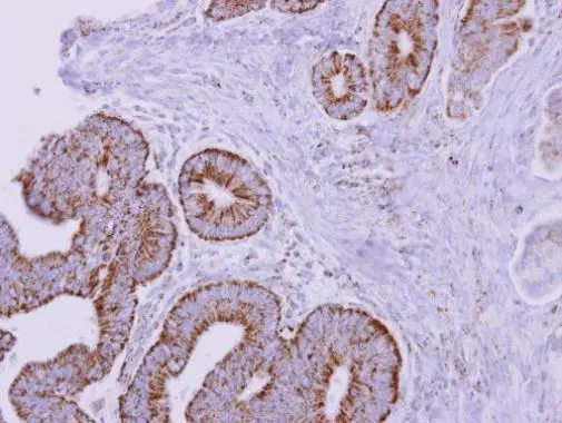
Anti-ACADM antibody used in IHC (Paraffin sections) (IHC-P). GTX100488
GTX100488 IHC-P Image

ACADM antibody detects ACADM protein at mitochondria on human colon carcinoma by immunohistochemical analysis.
Sample: Paraffin-embedded colon carcinoma.
ACADM antibody (GTX100488) dilution: 1:250.

Antigen Retrieval: Trilogy™ (EDTA based, pH 8.0) buffer, 15min

5 / 6
Anti-ACADM antibody used in Western Blot (WB). GTX100488
GTX100488 WB Image

The data was published in the journal BMC Biochem in 2014. PMID: 25152047

6 / 6
Anti-ACADM antibody used in Western Blot (WB). GTX100488
Anti-ACADM antibody used in Western Blot (WB). GTX100488
Anti-ACADM antibody used in Western Blot (WB). GTX100488
Anti-ACADM antibody used in Immunocytochemistry/ Immunofluorescence (ICC/IF). GTX100488
Anti-ACADM antibody used in IHC (Paraffin sections) (IHC-P). GTX100488
Anti-ACADM antibody used in Western Blot (WB). GTX100488
  • 宿主
    Rabbit
  • 克隆
    Polyclonal
  • 同种型
    IgG
  • 实验应用
    WB ICC/IF IHC-P
  • 种属反应
    Human, Mouse, Rat
查看所有 ACADM 的产品