ACAT1抗体 [N1N3]

目录号 GTX102637
目录号  GTX102637
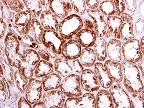
Anti-ACAT1 antibody [N1N3] used in IHC (Paraffin sections) (IHC-P). GTX102637
GTX102637 IHC-P Image

ACAT1 antibody [N1N3] detects ACAT1 protein at cytoplasm on human normal kidney by immunohistochemical analysis.
Sample: Paraffin-embedded human normal kidney.
ACAT1 antibody [N1N3] (GTX102637) diluted at 1:500.

Antigen Retrieval: Trilogy™ (EDTA based, pH 8.0) buffer, 15min

1 / 6
Anti-ACAT1 antibody [N1N3] used in Western Blot (WB). GTX102637
GTX102637 WB Image

Sample(30 μg of whole cell lysate)
A:293T
B:A431(GTX27909)
C:MOLT4(GTX27912)
10% SDS PAGE
GTX102637 diluted at 1:500

2 / 6
Anti-ACAT1 antibody [N1N3] used in Western Blot (WB). GTX102637
GTX102637 WB Image

Sample (50 ug of whole cell lysate)
A: Mouse brain
10% SDS PAGE
GTX102637 diluted at 1:1000

3 / 6
Anti-ACAT1 antibody [N1N3] used in Immunocytochemistry/ Immunofluorescence (ICC/IF). GTX102637
GTX102637 ICC/IF Image

ACAT1 antibody [N1N3] detects ACAT1 protein at mitochondria by immunofluorescent analysis.
Sample: HeLa cells were fixed in 4% paraformaldehyde at RT for 15 min.
Green: ACAT1 protein stained by ACAT1 antibody [N1N3] (GTX102637) diluted at 1:500.
Red: alpha Tubulin, a cytoskeleton marker, stained by alpha Tubulin antibody [B-5-1-2] (GTX11304) diluted at 1:10000.
Blue: Hoechst 33342 staining.

4 / 6
Anti-ACAT1 antibody [N1N3] used in Immunocytochemistry/ Immunofluorescence (ICC/IF). GTX102637
GTX102637 ICC/IF Image

ACAT1 antibody [N1N3] detects ACAT1 protein at mitochondria by immunofluorescent analysis.
Sample: A431 cells were fixed in 2% paraformaldehyde/culture medium at 37ºC for 30 min.
Green: ACAT1 protein stained by ACAT1 antibody [N1N3] (GTX102637) diluted at 1:500.
Blue: Hoechst 33342 staining.

5 / 6
Anti-ACAT1 antibody [N1N3] used in Western Blot (WB). GTX102637
GTX102637 WB Image

Sample (30 μg of whole cell lysate)
A: whole zebrafish
10% SDS PAGE
GTX102637 diluted at 1:1000

6 / 6
Anti-ACAT1 antibody [N1N3] used in IHC (Paraffin sections) (IHC-P). GTX102637
Anti-ACAT1 antibody [N1N3] used in Western Blot (WB). GTX102637
Anti-ACAT1 antibody [N1N3] used in Western Blot (WB). GTX102637
Anti-ACAT1 antibody [N1N3] used in Immunocytochemistry/ Immunofluorescence (ICC/IF). GTX102637
Anti-ACAT1 antibody [N1N3] used in Immunocytochemistry/ Immunofluorescence (ICC/IF). GTX102637
Anti-ACAT1 antibody [N1N3] used in Western Blot (WB). GTX102637
  • 宿主
    Rabbit
  • 克隆
    Polyclonal
  • 同种型
    IgG
  • 实验应用
    WB ICC/IF IHC-P
  • 种属反应
    Human, Mouse, Zebrafish
查看所有 ACAT1 的产品