![Anti-ACE2 antibody [N1N2], N-term used in Western Blot (WB). GTX101395](/upload/website/prouct_img/middle/GTX101395/GTX101395_44041_20201113_WB_shRNA_watermark_w_23060100_338.webp) 
                                                            
                                                        
                                                    Non-transfected (–) and transfected (+) Caco-2 whole cell extracts (30 μg) were separated by 7.5% SDS-PAGE, and the membrane was blotted with ACE2 antibody [N1N2], N-term (GTX101395) diluted at 1:500. The HRP-conjugated anti-rabbit IgG antibody (GTX213110-01) was used to detect the primary antibody.
![Anti-ACE2 antibody [N1N2], N-term used in ELISA (ELISA). GTX101395](/upload/website/prouct_img/middle/GTX101395/GTX101395_43887_20200626_ELISA_Indirect_w_23060100_656.webp) 
                                                            
                                                        
                                                    Indirect ELISA analysis performed by coating plate with recombinant Human ACE2 (ECD) protein , mouse IgG Fc tag protein (GTX135683-pro) (15.63-1000 ng/mL). Coated protein probed with ACE2 antibody [N1N2], N-term (GTX101395) (0.1 μg/mL). Rabbit IgG antibody (HRP) (GTX213110-01) (1:10000) detected bound primary antibody.
![Anti-ACE2 antibody [N1N2], N-term used in Western Blot (WB). GTX101395](/upload/website/prouct_img/middle/GTX101395/GTX101395_44041_20200904_WB_Monkey_treatment_Tunicamycin_w_23060100_956.webp) 
                                                            
                                                        
                                                    Untreated (–) and treated (+) Vero E6 whole cell extracts (30 μg) were separated by 7.5% SDS-PAGE, and the membrane was blotted with ACE2 antibody [N1N2], N-term (GTX101395) diluted at 1:500. The HRP-conjugated anti-rabbit IgG antibody (GTX213110-01) was used to detect the primary antibody.
![Anti-ACE2 antibody [N1N2], N-term used in Western Blot (WB). GTX101395](/upload/website/prouct_img/middle/GTX101395/GTX101395_43824_20200619_WB_Ag_w_23060100_840.webp) 
                                                            
                                                        
                                                    GTX135683-pro Human ACE2 (ECD) protein , mouse IgG Fc tag protein (1 μg) were separated by 7.5% SDS-PAGE, and the membrane was blotted with ACE2 antibody [N1N2], N-term (GTX101395) diluted at 1:100000. The HRP-conjugated anti-rabbit IgG antibody (GTX213110-01) was used to detect the primary antibody.
![Anti-ACE2 antibody [N1N2], N-term used in Immunocytochemistry/ Immunofluorescence (ICC/IF). GTX101395](/upload/website/prouct_img/middle/GTX101395/GTX101395_44041_20200902_ICC_IF_Monkey_w_23060100_562.webp) 
                                                            
                                                        
                                                    ACE2 antibody [N1N2], N-term detects ACE2 protein at cell membrane by immunofluorescent analysis.Sample: Vero E6 cells were fixed in ice-cold MeOH for 5 min.Green: ACE2 stained by ACE2 antibody [N1N2], N-term (GTX101395) diluted at 1:1000.Blue: Fluoroshield with DAPI (GTX30920).Scale bar= 10 μm.
![Anti-ACE2 antibody [N1N2], N-term used in ELISA (ELISA). GTX101395](/upload/website/prouct_img/middle/GTX101395/GTX101395_43887_20200709_ELISA_PAIR_Function_w_23060100_555.webp) 
                                                            
                                                        
                                                    Functional ELISA analysis of immobilized recombinant SARS-CoV-2 (COVID-19) Spike RBD protein, His tag (active) (GTX01546-pro) (coated at 2 μg/mL) binding to soluble recombinant Human ACE2 (ECD) protein , mouse IgG Fc tag (GTX135683-pro) (4.5-10000 ng/mL). Bound protein was detected by ACE2 antibody [N1N2], N-term (GTX101395) (0.5 μg/mL) and Rabbit IgG antibody (HRP) (GTX213110-01) (1:10000) detected bound primary antibody.
![Anti-ACE2 antibody [N1N2], N-term used in Western Blot (WB). GTX101395](/upload/website/prouct_img/middle/GTX101395/GTX101395_44006_20200731_WB_shRNA_watermark_w_23060100_857.webp) 
                                                            
                                                        
                                                    Non-transfected (–) and transfected (+) HepG2 whole cell extracts (30 μg) were separated by 5% SDS-PAGE, and the membrane was blotted with ACE2 antibody [N1N2], N-term (GTX101395) diluted at 1:500. The HRP-conjugated anti-rabbit IgG antibody (GTX213110-01) was used to detect the primary antibody.
![Anti-ACE2 antibody [N1N2], N-term used in Immunocytochemistry/ Immunofluorescence (ICC/IF). GTX101395](/upload/website/prouct_img/middle/GTX101395/GTX101395_44041_20220325_ICC_IF_w_23060100_500.webp) 
                                                            
                                                        
                                                    ACE2 antibody [N1N2], N-term detects ACE2 protein at cell membrane and cytoplasm by immunofluorescent analysis.Sample: Caco-2 cells were fixed in ice-cold MeOH for 5 min.Green: ACE2 stained by ACE2 antibody [N1N2], N-term (GTX101395) diluted at 1:500.Blue: Fluoroshield with DAPI (GTX30920).
![Anti-ACE2 antibody [N1N2], N-term used in Immunocytochemistry/ Immunofluorescence (ICC/IF). GTX101395](/upload/website/prouct_img/middle/GTX101395/GTX101395_43993_20200806_ICC_IF_Monkey_w_23060100_968.webp) 
                                                            
                                                        
                                                    ACE2 antibody [N1N2], N-term detects ACE2 protein at cell membrane by immunofluorescent analysis.Sample: Vero E6 cells were fixed in ice-cold MeOH for 5 min.Green: ACE2 stained by ACE2 antibody [N1N2], N-term (GTX101395) diluted at 1:1000.Blue: Fluoroshield with DAPI (GTX30920).
![Anti-ACE2 antibody [N1N2], N-term used in Western Blot (WB). GTX101395](/upload/website/prouct_img/middle/GTX101395/GTX101395_43824_20200327_WB_M_kidney_w_23060100_326.webp) 
                                                            
                                                        
                                                    Mouse tissue extract (50 μg) was separated by 7.5% SDS-PAGE, and the membrane was blotted with ACE2 antibody [N1N2], N-term (GTX101395) diluted at 1:500. The HRP-conjugated anti-rabbit IgG antibody (GTX213110-01) was used to detect the primary antibody, and the signal was developed with Trident ECL plus-Enhanced.
![Anti-ACE2 antibody [N1N2], N-term used in Immunocytochemistry/ Immunofluorescence (ICC/IF). GTX101395](/upload/website/prouct_img/middle/GTX101395/GTX101395_20240411_citeab_ICCIF_230_24041501_380.webp) 
                                                            
                                                        
                                                    The data was published in the 2022 in Biomedicines. PMID: 35625919
![Anti-ACE2 antibody [N1N2], N-term used in IHC (Paraffin sections) (IHC-P). GTX101395](/upload/website/prouct_img/middle/GTX101395/GTX101395_20240411_citeab_IHC-P_227_24041501_257.webp) 
                                                            
                                                        
                                                    The data was published in the 2022 in Biomedicines. PMID: 35625919
![Anti-ACE2 antibody [N1N2], N-term used in Flow cytometry (FCM). GTX101395](/upload/website/prouct_img/middle/GTX101395/GTX101395_20240411_citeab_FACS_229_24041501_345.webp) 
                                                            
                                                        
                                                    The data was published in the 2022 in Biomedicines. PMID: 35625919
![Anti-ACE2 antibody [N1N2], N-term used in Immunocytochemistry/ Immunofluorescence (ICC/IF). GTX101395](/upload/website/prouct_img/middle/GTX101395/GTX101395_20240411_citeab_ICCIF_228_24041501_705.webp) 
                                                            
                                                        
                                                    The data was published in the 2022 in Biomedicines. PMID: 35625919
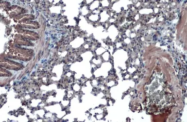
![Anti-ACE2 antibody [N1N2], N-term used in IHC (Paraffin sections) (IHC-P). GTX101395](/upload/website/prouct_img/middle/GTX101395/GTX101395_43842_20200313_IHC-P_w_23060100_486.webp) 
                                            ![Anti-ACE2 antibody [N1N2], N-term used in Western Blot (WB). GTX101395](/upload/website/prouct_img/middle/GTX101395/GTX101395_44041_20201113_WB_shRNA_watermark_w_23060100_338.webp) 
                                            ![Anti-ACE2 antibody [N1N2], N-term used in ELISA (ELISA). GTX101395](/upload/website/prouct_img/middle/GTX101395/GTX101395_43887_20200626_ELISA_Indirect_w_23060100_656.webp) 
                                            ![Anti-ACE2 antibody [N1N2], N-term used in Western Blot (WB). GTX101395](/upload/website/prouct_img/middle/GTX101395/GTX101395_44041_20200904_WB_Monkey_treatment_Tunicamycin_w_23060100_956.webp) 
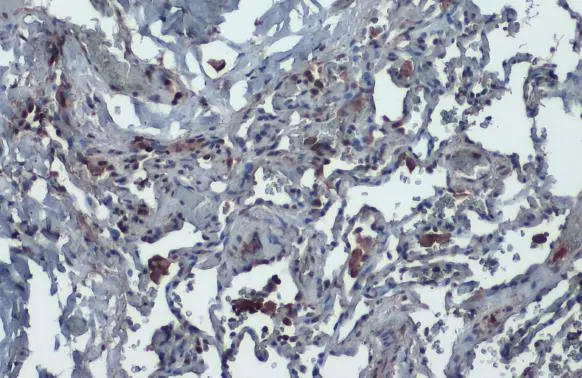
                                            ![Anti-ACE2 antibody [N1N2], N-term used in IHC (Paraffin sections) (IHC-P). GTX101395](/upload/website/prouct_img/middle/GTX101395/GTX101395_43842_20200313_IHC-P_R_w_23060100_682.webp) 
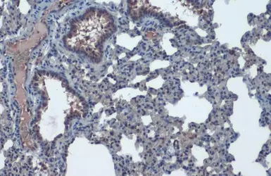
                                            ![Anti-ACE2 antibody [N1N2], N-term used in IHC (Paraffin sections) (IHC-P). GTX101395](/upload/website/prouct_img/middle/GTX101395/GTX101395_43842_20200313_IHC-P_M_w_23060100_996.webp) 
                                            ![Anti-ACE2 antibody [N1N2], N-term used in Western Blot (WB). GTX101395](/upload/website/prouct_img/middle/GTX101395/GTX101395_43824_20200619_WB_Ag_w_23060100_840.webp) 
                                            ![Anti-ACE2 antibody [N1N2], N-term used in IHC (Paraffin sections) (IHC-P). GTX101395](/upload/website/prouct_img/middle/GTX101395/GTX101395_44006_20201030_IHC-P_M_w_23060100_935.webp) 
                                            ![Anti-ACE2 antibody [N1N2], N-term used in Immunocytochemistry/ Immunofluorescence (ICC/IF). GTX101395](/upload/website/prouct_img/middle/GTX101395/GTX101395_44041_20200902_ICC_IF_Monkey_w_23060100_562.webp) 
                                            ![Anti-ACE2 antibody [N1N2], N-term used in Western Blot (WB). GTX101395](/upload/website/prouct_img/middle/GTX101395/GTX101395_44041_20200821_WB_w_23060100_910.webp) 
                                            ![Anti-ACE2 antibody [N1N2], N-term used in IHC (Paraffin sections) (IHC-P). GTX101395](/upload/website/prouct_img/middle/GTX101395/GTX101395_43887_20200522_IHC-P_M_w_23060100_333.webp) 
                                                    
                                            ![Anti-ACE2 antibody [N1N2], N-term used in ELISA (ELISA). GTX101395](/upload/website/prouct_img/middle/GTX101395/GTX101395_43887_20200709_ELISA_PAIR_Function_w_23060100_555.webp) 
                                                    
                                            ![Anti-ACE2 antibody [N1N2], N-term used in Western Blot (WB). GTX101395](/upload/website/prouct_img/middle/GTX101395/GTX101395_44006_20200731_WB_shRNA_watermark_w_23060100_857.webp) 
                                                    
                                            ![Anti-ACE2 antibody [N1N2], N-term used in Immunocytochemistry/ Immunofluorescence (ICC/IF). GTX101395](/upload/website/prouct_img/middle/GTX101395/GTX101395_44041_20220325_ICC_IF_w_23060100_500.webp) 
                                                    
                                            ![Anti-ACE2 antibody [N1N2], N-term used in Immunocytochemistry/ Immunofluorescence (ICC/IF). GTX101395](/upload/website/prouct_img/middle/GTX101395/GTX101395_43993_20200806_ICC_IF_Monkey_w_23060100_968.webp) 
                                                    
                                            ![Anti-ACE2 antibody [N1N2], N-term used in Western Blot (WB). GTX101395](/upload/website/prouct_img/middle/GTX101395/GTX101395_43824_20200327_WB_M_kidney_w_23060100_326.webp) 
                                                    
                                            ![Anti-ACE2 antibody [N1N2], N-term used in Immunocytochemistry/ Immunofluorescence (ICC/IF). GTX101395](/upload/website/prouct_img/middle/GTX101395/GTX101395_20240411_citeab_ICCIF_230_24041501_380.webp) 
                                                    
                                            ![Anti-ACE2 antibody [N1N2], N-term used in IHC (Paraffin sections) (IHC-P). GTX101395](/upload/website/prouct_img/middle/GTX101395/GTX101395_20240411_citeab_IHC-P_227_24041501_257.webp) 
                                                    
                                            ![Anti-ACE2 antibody [N1N2], N-term used in Flow cytometry (FCM). GTX101395](/upload/website/prouct_img/middle/GTX101395/GTX101395_20240411_citeab_FACS_229_24041501_345.webp) 
                                                    
                                            ![Anti-ACE2 antibody [N1N2], N-term used in Immunocytochemistry/ Immunofluorescence (ICC/IF). GTX101395](/upload/website/prouct_img/middle/GTX101395/GTX101395_20240411_citeab_ICCIF_228_24041501_705.webp) 
                                                    
                                            - 
                                            宿主Rabbit
- 
                                            克隆Polyclonal
- 
                                                同种型IgG
- 
                                            实验应用WB ICC/IF IHC-P FCM ELISA
- 
                                            种属反应Human, Mouse, Rat, African green monkey
 
                                             
                                            