AKT抗体 [N3C2], Internal

目录号 GTX121937
目录号  GTX121937
Anti-AKT antibody [N3C2], Internal used in Western Blot (WB). GTX121937
GTX121937 WB Image

Sample (30 μg of whole cell lysate)
A: JC
B: BCL-1
7.5% SDS PAGE
GTX121937 diluted at 1:5000
The HRP-conjugated anti-rabbit IgG antibody (GTX213110-01) was used to detect the primary antibody.

1 / 26
Anti-AKT antibody [N3C2], Internal used in Western Blot (WB). GTX121937
GTX121937 WB Image

Various whole cell extracts (30 μg) were separated by 10% SDS-PAGE, and the membrane was blotted with AKT antibody [N3C2], Internal (GTX121937) diluted at 1:1000. The HRP-conjugated anti-rabbit IgG antibody (GTX213110-01) was used to detect the primary antibody.

2 / 26
Anti-AKT antibody [N3C2], Internal used in Western Blot (WB). GTX121937
GTX121937 WB Image

Various whole cell extracts (30 μg) were separated by 10% SDS-PAGE, and the membrane was blotted with AKT antibody [N3C2], Internal (GTX121937) diluted at 1:1000. The HRP-conjugated anti-rabbit IgG antibody (GTX213110-01) was used to detect the primary antibody.

3 / 26
Anti-AKT antibody [N3C2], Internal used in Western Blot (WB). GTX121937
GTX121937 WB Image

Whole cell extract (30 μg) was separated by 10% SDS-PAGE, and the membrane was blotted with AKT antibody [N3C2], Internal (GTX121937) diluted at 1:1000. The HRP-conjugated anti-rabbit IgG antibody (GTX213110-01) was used to detect the primary antibody.

4 / 26
Anti-AKT antibody [N3C2], Internal used in Western Blot (WB). GTX121937
GTX121937 WB Image

Non-transfected (–) and transfected (+) 293T whole cell extracts (30 μg) were separated by 10% SDS-PAGE, and the membrane was blotted with AKT antibody [N3C2], Internal (GTX121937) diluted at 1:1000. The HRP-conjugated anti-rabbit IgG antibody (GTX213110-01) was used to detect the primary antibody, and the signal was developed with Trident ECL plus-Enhanced.

5 / 26
Anti-AKT antibody [N3C2], Internal used in Immunoprecipitation (IP). GTX121937
GTX121937 IP Image

Immunoprecipitation of Akt1/2/3 protein from 293T whole cell extracts using 5 μg of Akt1/2/3 antibody [N3C2], Internal (GTX121937).
Western blot analysis was performed using Akt1/2/3 antibody [N3C2], Internal (GTX121937).
EasyBlot anti-Rabbit IgG (GTX221666-01) was used as a secondary reagent.

6 / 26
Anti-AKT antibody [N3C2], Internal used in Western Blot (WB). GTX121937
GTX121937 WB Image

Various whole cell extracts (30 μg) were separated by 7.5% SDS-PAGE, and the membrane was blotted with AKT antibody [N3C2], Internal (GTX121937) diluted at 1:1000. The HRP-conjugated anti-rabbit IgG antibody (GTX213110-01) was used to detect the primary antibody, and the signal was developed with Trident ECL plus-Enhanced.

7 / 26
Anti-AKT antibody [N3C2], Internal used in IHC (Paraffin sections) (IHC-P). GTX121937
GTX121937 IHC-P Image

AKT antibody [N3C2], Internal detects AKT protein at cytoplasm and nucleus by immunohistochemical analysis.
Sample: Paraffin-embedded human breast carcinoma.
AKT stained by AKT antibody [N3C2], Internal (GTX121937) diluted at 1:500.
Antigen Retrieval: Citrate buffer, pH 6.0, 15 min

8 / 26
Anti-AKT antibody [N3C2], Internal used in Immunocytochemistry/ Immunofluorescence (ICC/IF). GTX121937
GTX121937 ICC/IF Image

AKT antibody [N3C2], Internal detects AKT protein at cytoplasm and nucleus by immunofluorescent analysis.
Sample: HeLa cells were fixed in 4% paraformaldehyde at RT for 15 min.
Green: AKT stained by AKT antibody [N3C2], Internal (GTX121937) diluted at 1:500.
Blue: Fluoroshield with DAPI (GTX30920).

9 / 26
Anti-AKT antibody [N3C2], Internal used in Western Blot (WB). GTX121937
GTX121937 WB Image

Various whole cell extracts (30 μg) were separated by 7.5% SDS-PAGE, and the membrane was blotted with AKT antibody [N3C2], Internal (GTX121937) diluted at 1:3000. The HRP-conjugated anti-rabbit IgG antibody (GTX213110-01) was used to detect the primary antibody, and the signal was developed with Trident ECL plus-Enhanced.

10 / 26
Anti-AKT antibody [N3C2], Internal used in Western Blot (WB). GTX121937
GTX121937 WB Image

The data was published in the journal Sci Rep in 2017.PMID: 29038536

11 / 26
Anti-AKT antibody [N3C2], Internal used in Western Blot (WB). GTX121937
GTX121937 WB Image

The data was published in the journal PLoS One in 2017.PMID: 28591208

12 / 26
Anti-AKT antibody [N3C2], Internal used in Western Blot (WB). GTX121937
GTX121937 WB Image

The data was published in the journal Stem Cells Transl Med in 2020.PMID: 31943851

13 / 26
Anti-AKT antibody [N3C2], Internal used in Western Blot (WB). GTX121937
GTX121937 WB Image

The data was published in the journal Sci Rep in 2017.PMID: 29038536

14 / 26
Anti-AKT antibody [N3C2], Internal used in Western Blot (WB). GTX121937
GTX121937 WB Image

The data was published in the journal Cancers (Basel) in 2019. PMID: 31835799

15 / 26
Anti-AKT antibody [N3C2], Internal used in Western Blot (WB). GTX121937
GTX121937 WB Image

The data was published in the journal Cancers (Basel) in 2019. PMID: 31835799

16 / 26
Anti-AKT antibody [N3C2], Internal used in Western Blot (WB). GTX121937
GTX121937 WB Image

The data was published in the journal Oncogene in 2018. PMID: 29993037

17 / 26
Anti-AKT antibody [N3C2], Internal used in Western Blot (WB). GTX121937
GTX121937 WB Image

The data was published in the journal Cancers (Basel) in 2019. PMID: 31835799

18 / 26
Anti-AKT antibody [N3C2], Internal used in Western Blot (WB). GTX121937
GTX121937 WB Image

The data was published in the journal Theranostics in 2019. PMID: 31754399

19 / 26
Anti-AKT antibody [N3C2], Internal used in Western Blot (WB). GTX121937
GTX121937 WB Image

The data was published in the journal Cell Death Dis in 2014. PMID: 24457964

20 / 26
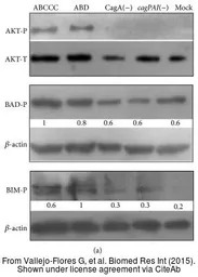
Anti-AKT antibody [N3C2], Internal used in Western Blot (WB). GTX121937
GTX121937 WB Image

The data was published in the journal Biomed Res Int in 2015. PMID: 26557697

21 / 26
Anti-AKT antibody [N3C2], Internal used in Western Blot (WB). GTX121937
GTX121937 WB Image

The data was published in the journal Nutrients in 2018.PMID: 30200495

22 / 26
Anti-AKT antibody [N3C2], Internal used in Western Blot (WB). GTX121937
GTX121937 WB Image

The data was published in the journal Sci Rep in 2017.PMID: 29038536

23 / 26
Anti-AKT antibody [N3C2], Internal used in Western Blot (WB). GTX121937
GTX121937 WB Image

The data was published in the journal Sci Rep in 2017.PMID: 29038536

24 / 26
Anti-AKT antibody [N3C2], Internal used in Western Blot (WB). GTX121937
GTX121937 WB Image

The data was published in the 2022 in Front Genet. PMID: 35401669

25 / 26
Anti-AKT antibody [N3C2], Internal used in Western Blot (WB). GTX121937
GTX121937 WB Image

The data was published in the 2022 in Nat Commun. PMID: 35169117

26 / 26
Anti-AKT antibody [N3C2], Internal used in Western Blot (WB). GTX121937
Anti-AKT antibody [N3C2], Internal used in Western Blot (WB). GTX121937
Anti-AKT antibody [N3C2], Internal used in Western Blot (WB). GTX121937
Anti-AKT antibody [N3C2], Internal used in Western Blot (WB). GTX121937
Anti-AKT antibody [N3C2], Internal used in Western Blot (WB). GTX121937
Anti-AKT antibody [N3C2], Internal used in Immunoprecipitation (IP). GTX121937
Anti-AKT antibody [N3C2], Internal used in Western Blot (WB). GTX121937
Anti-AKT antibody [N3C2], Internal used in IHC (Paraffin sections) (IHC-P). GTX121937
Anti-AKT antibody [N3C2], Internal used in Immunocytochemistry/ Immunofluorescence (ICC/IF). GTX121937
Anti-AKT antibody [N3C2], Internal used in Western Blot (WB). GTX121937
Anti-AKT antibody [N3C2], Internal used in Western Blot (WB). GTX121937
Anti-AKT antibody [N3C2], Internal used in Western Blot (WB). GTX121937
Anti-AKT antibody [N3C2], Internal used in Western Blot (WB). GTX121937
Anti-AKT antibody [N3C2], Internal used in Western Blot (WB). GTX121937
Anti-AKT antibody [N3C2], Internal used in Western Blot (WB). GTX121937
Anti-AKT antibody [N3C2], Internal used in Western Blot (WB). GTX121937
Anti-AKT antibody [N3C2], Internal used in Western Blot (WB). GTX121937
Anti-AKT antibody [N3C2], Internal used in Western Blot (WB). GTX121937
Anti-AKT antibody [N3C2], Internal used in Western Blot (WB). GTX121937
Anti-AKT antibody [N3C2], Internal used in Western Blot (WB). GTX121937
Anti-AKT antibody [N3C2], Internal used in Western Blot (WB). GTX121937
Anti-AKT antibody [N3C2], Internal used in Western Blot (WB). GTX121937
Anti-AKT antibody [N3C2], Internal used in Western Blot (WB). GTX121937
Anti-AKT antibody [N3C2], Internal used in Western Blot (WB). GTX121937
Anti-AKT antibody [N3C2], Internal used in Western Blot (WB). GTX121937
Anti-AKT antibody [N3C2], Internal used in Western Blot (WB). GTX121937
  • 宿主
    Rabbit
  • 克隆
    Polyclonal
  • 同种型
    IgG
  • 实验应用
    WB ICC/IF IHC-P IHC-Fr IP
  • 种属反应
    Human, Mouse, Rat, Pig, Japanese Medaka
摘要
AKT antibody recognizes AKT, a serine/threonine-specific protein kinase with a predicted molecular weight of ~57 kDa. AKT is a family of three highly homologous isoforms that have more than a hundred substrates, with most of these regulated by all three proteins. Responding to many extracellular stimuli, AKT is active through major signaling nodes that include GSK3, FOXO, and TSC2/mTORC1.
查看所有 AKT 的产品