AKT (phospho Ser473)抗体

目录号 GTX128414
目录号  GTX128414
Anti-AKT (phospho Ser473) antibody used in Western Blot (WB). GTX128414
GTX128414 WB Image

Untreated (–) and treated (+) HeLa whole cell extracts (30 μg) were separated by 10% SDS-PAGE, and the membrane was blotted with AKT (phospho Ser473) antibody (GTX128414) diluted at 1:500. The HRP-conjugated anti-rabbit IgG antibody (GTX213110-01) was used to detect the primary antibody.

1 / 12
Anti-AKT (phospho Ser473) antibody used in Western Blot (WB). GTX128414
GTX128414 WB Image

Untreated (–) and treated (+) MCF-7 whole cell extracts (30 μg) were separated by 10% SDS-PAGE, and the membrane was blotted with AKT (phospho Ser473) antibody (GTX128414) diluted at 1:500. The HRP-conjugated anti-rabbit IgG antibody (GTX213110-01) was used to detect the primary antibody.

2 / 12
Anti-AKT (phospho Ser473) antibody used in Western Blot (WB). GTX128414
GTX128414 WB Image

Various whole cell extracts (30 μg) were separated by 10% SDS-PAGE, and the membrane was blotted with AKT (phospho Ser473) antibody (GTX128414) diluted at 1:500. The HRP-conjugated anti-rabbit IgG antibody (GTX213110-01) was used to detect the primary antibody, and the signal was developed with Trident ECL plus-Enhanced.

3 / 12
Anti-AKT (phospho Ser473) antibody used in Western Blot (WB). GTX128414
GTX128414 WB Image

Untreated (–) and treated (+) HUVEC whole cell extracts (30 μg) were separated by 7.5% SDS-PAGE, and the membrane was blotted with AKT (phospho Ser473) antibody (GTX128414) diluted at 1:500. The HRP-conjugated anti-rabbit IgG antibody (GTX213110-01) was used to detect the primary antibody.

4 / 12
Anti-AKT (phospho Ser473) antibody used in Western Blot (WB). GTX128414
GTX128414 WB Image

Untreated (–) and treated (+) NIH-3T3 whole cell extracts (30 μg) were separated by 10% SDS-PAGE, and the membrane was blotted with AKT (phospho Ser473) antibody (GTX128414) diluted at 1:500. The HRP-conjugated anti-rabbit IgG antibody (GTX213110-01) was used to detect the primary antibody.

5 / 12
Anti-AKT (phospho Ser473) antibody used in Immunoprecipitation (IP). GTX128414
GTX128414 IP Image

Immunoprecipitation of Akt1/2/3 (phospho Ser473/474/472) protein from 293T whole cell extracts using 5 μg of Akt1/2/3 (phospho Ser473/474/472) antibody (GTX128414).
Western blot analysis was performed using Akt1/2/3 (phospho Ser473/474/472) antibody (GTX128414).
EasyBlot anti-Rabbit IgG (GTX221666-01) was used as a secondary reagent.

6 / 12
Anti-AKT (phospho Ser473) antibody used in Immunocytochemistry/ Immunofluorescence (ICC/IF). GTX128414
GTX128414 ICC/IF Image

AKT (phospho Ser473) antibody detects AKT (phospho Ser473) protein by immunofluorescent analysis.
Sample: NIH3T3 cells were fixed in 4% paraformaldehyde at RT for 15 min.
Green: AKT (phospho Ser473) stained by AKT (phospho Ser473) antibody (GTX128414) diluted at 1:500.
Blue: Hoechst 33342 staining.
Scale bar= 10 μm.

7 / 12
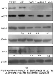
Anti-AKT (phospho Ser473) antibody used in Western Blot (WB). GTX128414
GTX128414 WB Image

The data was published in the journal Biomed Res Int in 2015. PMID: 26557697

8 / 12
Anti-AKT (phospho Ser473) antibody used in Western Blot (WB). GTX128414
GTX128414 WB Image

The data was published in the journal Int J Mol Sci in 2017. PMID: 28837077

9 / 12
Anti-AKT (phospho Ser473) antibody used in Western Blot (WB). GTX128414
GTX128414 WB Image

The data was published in the journal Antioxidants (Basel) in 2019.PMID: 31906147

10 / 12
Anti-AKT (phospho Ser473) antibody used in Western Blot (WB). GTX128414
GTX128414 WB Image

The data was published in the 2021 in Cancer Drug Resist. PMID: 35582384

11 / 12
Anti-AKT (phospho Ser473) antibody used in Western Blot (WB). GTX128414
GTX128414 WB Image

The data was published in the journal Cell Death Dis in 2014. PMID: 24457964

12 / 12
Anti-AKT (phospho Ser473) antibody used in Western Blot (WB). GTX128414
Anti-AKT (phospho Ser473) antibody used in Western Blot (WB). GTX128414
Anti-AKT (phospho Ser473) antibody used in Western Blot (WB). GTX128414
Anti-AKT (phospho Ser473) antibody used in Western Blot (WB). GTX128414
Anti-AKT (phospho Ser473) antibody used in Western Blot (WB). GTX128414
Anti-AKT (phospho Ser473) antibody used in Immunoprecipitation (IP). GTX128414
Anti-AKT (phospho Ser473) antibody used in Immunocytochemistry/ Immunofluorescence (ICC/IF). GTX128414
Anti-AKT (phospho Ser473) antibody used in Western Blot (WB). GTX128414
Anti-AKT (phospho Ser473) antibody used in Western Blot (WB). GTX128414
Anti-AKT (phospho Ser473) antibody used in Western Blot (WB). GTX128414
Anti-AKT (phospho Ser473) antibody used in Western Blot (WB). GTX128414
Anti-AKT (phospho Ser473) antibody used in Western Blot (WB). GTX128414
  • 宿主
    Rabbit
  • 克隆
    Polyclonal
  • 同种型
    IgG
  • 实验应用
    WB ICC/IF IHC-P IP
  • 种属反应
    Human, Mouse, Rat, Pig
查看所有 AKT1 的产品