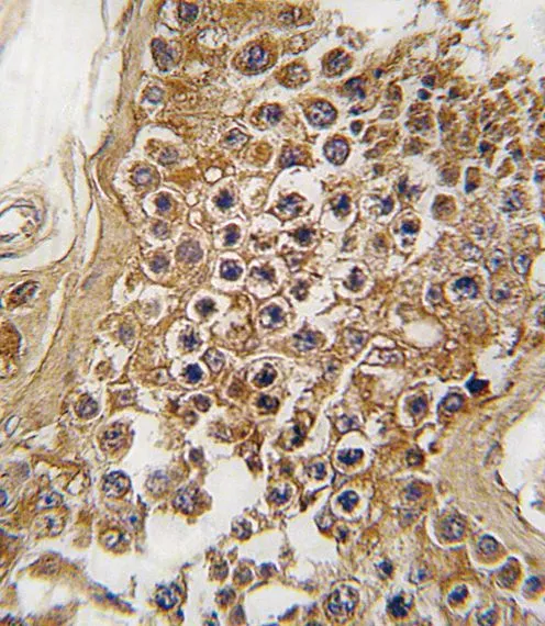
ALK抗体, Internal
目录号 GTX81366
                        目录号  GTX81366
                    
                            - 
                                            宿主Rabbit
- 
                                            克隆Polyclonal
- 
                                                同种型IgG
- 
                                            实验应用WB IHC-P
- 
                                            种属反应Human
 
                                                        