ATM抗体 [2C1]

目录号 GTX70103
目录号  GTX70103
Anti-ATM antibody [2C1] used in Western Blot (WB). GTX70103
GTX70103 WB Image

Non-transfected (–) and transfected (+) HeLa whole cell extracts (60 μg) were separated by 5% SDS-PAGE, and the membrane was blotted with ATM antibody [2C1] (GTX70103) diluted at 1:500. The HRP-conjugated anti-mouse IgG antibody (GTX213111-01) was used to detect the primary antibody.

1 / 32
Anti-ATM antibody [2C1] used in Western Blot (WB). GTX70103
GTX70103 WB Image

Untreated (–) and treated (+) 293T whole cell extracts (60 μg) were separated by 5% SDS-PAGE, and the membrane was blotted with ATM antibody [2C1] (GTX70103) diluted at 1:1000. The HRP-conjugated anti-mouse IgG antibody (GTX213111-01) was used to detect the primary antibody, and the signal was developed with Trident ECL plus-Enhanced.

2 / 32
Anti-ATM antibody [2C1] used in Western Blot (WB). GTX70103
GTX70103 WB Image

HeLa whole cell extract and nuclear extracts (30 μg) were separated by 5% SDS-PAGE, and the membrane was blotted with ATM antibody [2C1] (GTX70103) diluted at 1:500. The HRP-conjugated anti-mouse IgG antibody (GTX213111-01) was used to detect the primary antibody.

3 / 32
Anti-ATM antibody [2C1] used in Western Blot (WB). GTX70103
GTX70103 WB Image

Detection of human ATM protein using anti-ATM 2C1 monoclonal antibody (GTX70103) by western blot or immunoprecipitation.

4 / 32
Anti-ATM antibody [2C1] used in Western Blot (WB). GTX70103
GTX70103 WB Image

Whole cell extract (30 μg) was separated by 5% SDS-PAGE, and the membrane was blotted with ATM antibody [2C1] (GTX70103) diluted at 1:1000.

5 / 32
Anti-ATM antibody [2C1] used in IHC (Paraffin sections) (IHC-P). GTX70103
GTX70103 IHC-P Image

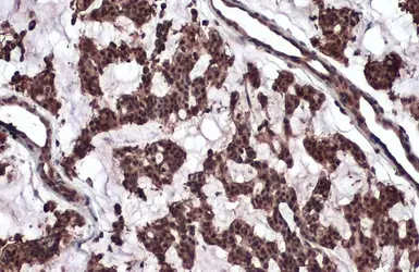
ATM antibody [2C1] detects ATM protein at nucleus by immunohistochemical analysis.
Sample: Paraffin-embedded human breast carcinoma.
ATM stained by ATM antibody [2C1] (GTX70103) diluted at 1:100.
Antigen Retrieval: Citrate buffer, pH 6.0, 15 min

6 / 32
Anti-ATM antibody [2C1] used in IHC (Paraffin sections) (IHC-P). GTX70103
GTX70103 IHC-P Image

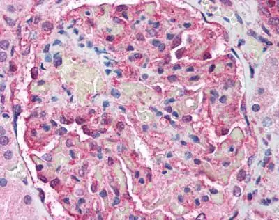
Human Kidney (formalin-fixed, paraffin-embedded) stained with ATM antibody at 5 ug/ml followed by biotinylated anti-mouse IgG secondary antibody, alkaline phosphatase-streptavidin and chromogen.

7 / 32
Anti-ATM antibody [2C1] used in IHC (Paraffin sections) (IHC-P). GTX70103
GTX70103 IHC-P Image

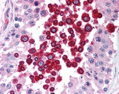
Human Testis (formalin-fixed, paraffin-embedded) stained with ATM antibody at 5 ug/ml followed by biotinylated anti-mouse IgG secondary antibody, alkaline phosphatase-streptavidin and chromogen.

8 / 32
Anti-ATM antibody [2C1] used in Western Blot and Immunoprecipitation (WB IP). GTX70103
GTX70103 WB IP Image

The data was published in the journal Cell Res in 2018. PMID: 29844578

9 / 32
Anti-ATM antibody [2C1] used in Western Blot (WB). GTX70103
GTX70103 WB Image

The data was published in the journal Aging Cell in 2015. PMID: 25645366

10 / 32
Anti-ATM antibody [2C1] used in Western Blot (WB). GTX70103
GTX70103 WB Image

The data was published in the journal Oncotarget in 2017.PMID: 28031537

11 / 32
Anti-ATM antibody [2C1] used in Western Blot (WB). GTX70103
GTX70103 WB Image

The data was published in the journal Oncotarget in 2017.PMID: 28031537

12 / 32
Anti-ATM antibody [2C1] used in Immunocytochemistry/ Immunofluorescence (ICC/IF). GTX70103
GTX70103 ICC/IF Image

The data was published in the journal Nucleic Acids Res in 2016.PMID: 26424850

13 / 32
Anti-ATM antibody [2C1] used in Western Blot (WB). GTX70103
GTX70103 WB Image

The data was published in the 2019 in J Exp Clin Cancer Res. PMID: 30961670

14 / 32
Anti-ATM antibody [2C1] used in Western Blot (WB). GTX70103
GTX70103 WB Image

The data was published in the 2019 in J Exp Clin Cancer Res. PMID: 30961670

15 / 32
Anti-ATM antibody [2C1] used in Western Blot (WB). GTX70103
GTX70103 WB Image

The data was published in the 2019 in J Exp Clin Cancer Res. PMID: 30961670

16 / 32
Anti-ATM antibody [2C1] used in Western Blot (WB). GTX70103
GTX70103 WB Image

The data was published in the journal PLoS One in 2015. PMID: 25826455

17 / 32
Anti-ATM antibody [2C1] used in Western Blot (WB). GTX70103
GTX70103 WB Image

The data was published in the journal Cell Res in 2018. PMID: 29844578

18 / 32
Anti-ATM antibody [2C1] used in Western Blot (WB). GTX70103
GTX70103 WB Image

The data was published in the journal PLoS One in 2015. PMID: 25826455

19 / 32
Anti-ATM antibody [2C1] used in Western Blot (WB). GTX70103
GTX70103 WB Image

The data was published in the journal PLoS One in 2013. PMID: 23667485

20 / 32
Anti-ATM antibody [2C1] used in Western Blot (WB). GTX70103
GTX70103 WB Image

The data was published in the journal PLoS One in 2013. PMID: 24086335

21 / 32
Anti-ATM antibody [2C1] used in Western Blot (WB). GTX70103
GTX70103 WB Image

The data was published in the journal PLoS One in 2014. PMID: 24933654

22 / 32
Anti-ATM antibody [2C1] used in Western Blot (WB). GTX70103
GTX70103 WB Image

The data was published in the journal Mol Cancer in 2010. PMID: 20356374

23 / 32
Anti-ATM antibody [2C1] used in Western Blot (WB). GTX70103
GTX70103 WB Image

The data was published in the journal Sci Rep in 2016. PMID: 27074761

24 / 32
Anti-ATM antibody [2C1] used in Immunocytochemistry/ Immunofluorescence (ICC/IF). GTX70103
GTX70103 ICC/IF Image

The data was published in the journal PLoS One in 2013. PMID: 24086335

25 / 32
Anti-ATM antibody [2C1] used in Western Blot and Immunoprecipitation (WB IP). GTX70103
GTX70103 WB IP Image

The data was published in the journal PLoS One in 2013. PMID: 24086335

26 / 32
Anti-ATM antibody [2C1] used in Western Blot (WB). GTX70103
GTX70103 WB Image

The data was published in the journal PLoS One in 2014.PMID: 25105411

27 / 32
Anti-ATM antibody [2C1] used in Western Blot (WB). GTX70103
GTX70103 WB Image

The data was published in the journal J Biol Chem in 2013.PMID: 23525106

28 / 32
Anti-ATM antibody [2C1] used in Western Blot (WB). GTX70103
GTX70103 WB Image

The data was published in the journal Nat Commun in 2018.PMID: 29410405

29 / 32
Anti-ATM antibody [2C1] used in Western Blot (WB). GTX70103
GTX70103 WB Image

The data was published in the journal Nat Commun in 2018.PMID: 29410405

30 / 32
Anti-ATM antibody [2C1] used in Western Blot (WB). GTX70103
GTX70103 WB Image

The data was published in the journal Molecules in 2019.PMID: 31269698

31 / 32
Anti-ATM antibody [2C1] used in Western Blot (WB). GTX70103
GTX70103 WB Image

The data was published in the 2022 in Int J Mol Sci. PMID: 35163553

32 / 32
Anti-ATM antibody [2C1] used in Western Blot (WB). GTX70103
Anti-ATM antibody [2C1] used in Western Blot (WB). GTX70103
Anti-ATM antibody [2C1] used in Western Blot (WB). GTX70103
Anti-ATM antibody [2C1] used in Western Blot (WB). GTX70103
Anti-ATM antibody [2C1] used in Western Blot (WB). GTX70103
Anti-ATM antibody [2C1] used in IHC (Paraffin sections) (IHC-P). GTX70103
Anti-ATM antibody [2C1] used in IHC (Paraffin sections) (IHC-P). GTX70103
Anti-ATM antibody [2C1] used in IHC (Paraffin sections) (IHC-P). GTX70103
Anti-ATM antibody [2C1] used in Western Blot and Immunoprecipitation (WB IP). GTX70103
Anti-ATM antibody [2C1] used in Western Blot (WB). GTX70103
Anti-ATM antibody [2C1] used in Western Blot (WB). GTX70103
Anti-ATM antibody [2C1] used in Western Blot (WB). GTX70103
Anti-ATM antibody [2C1] used in Immunocytochemistry/ Immunofluorescence (ICC/IF). GTX70103
Anti-ATM antibody [2C1] used in Western Blot (WB). GTX70103
Anti-ATM antibody [2C1] used in Western Blot (WB). GTX70103
Anti-ATM antibody [2C1] used in Western Blot (WB). GTX70103
Anti-ATM antibody [2C1] used in Western Blot (WB). GTX70103
Anti-ATM antibody [2C1] used in Western Blot (WB). GTX70103
Anti-ATM antibody [2C1] used in Western Blot (WB). GTX70103
Anti-ATM antibody [2C1] used in Western Blot (WB). GTX70103
Anti-ATM antibody [2C1] used in Western Blot (WB). GTX70103
Anti-ATM antibody [2C1] used in Western Blot (WB). GTX70103
Anti-ATM antibody [2C1] used in Western Blot (WB). GTX70103
Anti-ATM antibody [2C1] used in Western Blot (WB). GTX70103
Anti-ATM antibody [2C1] used in Immunocytochemistry/ Immunofluorescence (ICC/IF). GTX70103
Anti-ATM antibody [2C1] used in Western Blot and Immunoprecipitation (WB IP). GTX70103
Anti-ATM antibody [2C1] used in Western Blot (WB). GTX70103
Anti-ATM antibody [2C1] used in Western Blot (WB). GTX70103
Anti-ATM antibody [2C1] used in Western Blot (WB). GTX70103
Anti-ATM antibody [2C1] used in Western Blot (WB). GTX70103
Anti-ATM antibody [2C1] used in Western Blot (WB). GTX70103
Anti-ATM antibody [2C1] used in Western Blot (WB). GTX70103
  • 宿主
    Mouse
  • 克隆
    Monoclonal
  • 克隆编号
    2C1
  • 同种型
    IgG1
  • 实验应用
    WB ICC/IF IHC-P FCM IP ELISA ChIP assay IHC
  • 种属反应
    Human, Mouse, Rat, Monkey
摘要
ATM antibody [2C1] is a mouse monoclonal antibody developed by Dr. Eva Lee’s lab at the University of Texas Health Science Center at San Antonio (PMID: 8969240). It is a well-validated and highly cited reagent to detect ATM protein, which is a nuclear serine/threonine kinase that plays a pivotal role in DNA damage sensing and repair.
查看所有 ATM 的产品