Annexin A1抗体

目录号 GTX101070
目录号  GTX101070
Anti-Annexin A1 antibody used in Western Blot (WB). GTX101070
GTX101070 WB Image

Wild-type (WT) and Annexin A1 knockout (KO) HeLa cell extracts (30 μg) were separated by 10% SDS-PAGE, and the membrane was blotted with Annexin A1 antibody (GTX101070) diluted at 1:1000. The HRP-conjugated anti-rabbit IgG antibody (GTX213110-01) was used to detect the primary antibody.

1 / 10
Anti-Annexin A1 antibody used in Western Blot (WB). GTX101070
GTX101070 WB Image

Various whole cell extracts (30 μg) were separated by 10% SDS-PAGE, and the membranes were blotted with Annexin A1 antibody (GTX101070) diluted at 1:5000 and competitor's antibody diluted at 1:5000. The HRP-conjugated anti-rabbit IgG antibody (GTX213110-01) was used to detect the primary antibody.

*The competitor is not affiliated with GeneTex and does not endorse this product.

2 / 10
Anti-Annexin A1 antibody used in Western Blot (WB). GTX101070
GTX101070 WB Image

Various whole cell extracts (30 μg) were separated by 10% SDS-PAGE, and the membrane was blotted with Annexin A1 antibody (GTX101070) diluted at 1:10000. The HRP-conjugated anti-rabbit IgG antibody (GTX213110-01) was used to detect the primary antibody. Corresponding RNA expression data for the same cell lines are based on Human Protein Atlas program.

3 / 10
Anti-Annexin A1 antibody used in Immunoprecipitation (IP). GTX101070
GTX101070 IP Image

Immunoprecipitation of Annexin A1 protein from HeLa whole cell extracts using 5 μg of Annexin A1 antibody (GTX101070).
Western blot analysis was performed using Annexin A1 antibody (GTX101070).
EasyBlot anti-Rabbit IgG (GTX221666-01) was used as a secondary reagent.

4 / 10
Anti-Annexin A1 antibody used in Immunocytochemistry/ Immunofluorescence (ICC/IF). GTX101070
GTX101070 ICC/IF Image

Annexin A1 antibody detects Annexin A1 protein by immunofluorescent analysis.
Sample: HeLa cells were fixed in 4% paraformaldehyde at RT for 15 min.
Green: Annexin A1 stained by Annexin A1 antibody (GTX101070) diluted at 1:500.
Blue: Fluoroshield with DAPI (GTX30920).
Scale bar= 10 μm.

5 / 10
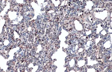
Anti-Annexin A1 antibody used in IHC (Paraffin sections) (IHC-P). GTX101070
GTX101070 IHC-P Image

Annexin A1 antibody detects Annexin A1 protein at nucleus by immunohistochemical analysis.
Sample: Paraffin-embedded mouse lung.
Annexin A1 stained by Annexin A1 antibody (GTX101070) diluted at 1:500.
Antigen Retrieval: Citrate buffer, pH 6.0, 15 min

6 / 10
Anti-Annexin A1 antibody used in Western Blot (WB). GTX101070
GTX101070 WB Image

Non-transfected (–) and transfected (+) 293T whole cell extracts (30 μg) were separated by 10% SDS-PAGE, and the membrane was blotted with Annexin A1 antibody (GTX101070) diluted at 1:10000. The HRP-conjugated anti-rabbit IgG antibody (GTX213110-01) was used to detect the primary antibody.

7 / 10
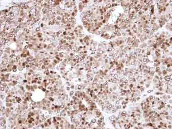
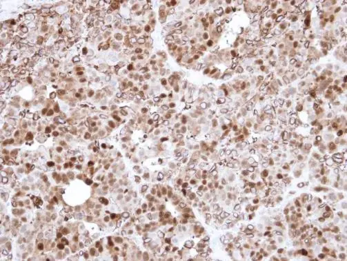
Anti-Annexin A1 antibody used in IHC (Paraffin sections) (IHC-P). GTX101070
GTX101070 IHC-P Image

Immunohistochemical analysis of paraffin-embedded N87 Xenograft , using Annexin I(GTX101070) antibody at 1:500 dilution.
Antigen Retrieval: Trilogy™ (EDTA based, pH 8.0) buffer, 15min

8 / 10
Anti-Annexin A1 antibody used in Western Blot (WB). GTX101070
GTX101070 WB Image

Various whole cell extracts (30 μg) were separated by 10% SDS-PAGE, and the membrane was blotted with Annexin A1 antibody (GTX101070) diluted at 1:10000. The HRP-conjugated anti-rabbit IgG antibody (GTX213110-01) was used to detect the primary antibody. Corresponding RNA expression data for the same cell lines are based on Human Protein Atlas program.

9 / 10
Anti-Annexin A1 antibody used in Western Blot (WB). GTX101070
GTX101070 WB Image

Various whole cell extracts (30 μg) were separated by 10% SDS-PAGE, and the membrane was blotted with Annexin A1 antibody (GTX101070) diluted at 1:10000. The HRP-conjugated anti-rabbit IgG antibody (GTX213110-01) was used to detect the primary antibody.

10 / 10
Anti-Annexin A1 antibody used in Western Blot (WB). GTX101070
Anti-Annexin A1 antibody used in Western Blot (WB). GTX101070
Anti-Annexin A1 antibody used in Western Blot (WB). GTX101070
Anti-Annexin A1 antibody used in Immunoprecipitation (IP). GTX101070
Anti-Annexin A1 antibody used in Immunocytochemistry/ Immunofluorescence (ICC/IF). GTX101070
Anti-Annexin A1 antibody used in IHC (Paraffin sections) (IHC-P). GTX101070
Anti-Annexin A1 antibody used in Western Blot (WB). GTX101070
Anti-Annexin A1 antibody used in IHC (Paraffin sections) (IHC-P). GTX101070
Anti-Annexin A1 antibody used in Western Blot (WB). GTX101070
Anti-Annexin A1 antibody used in Western Blot (WB). GTX101070
  • 宿主
    Rabbit
  • 克隆
    Polyclonal
  • 同种型
    IgG
  • 实验应用
    WB ICC/IF IHC-P IP
  • 种属反应
    Human, Mouse, Rat
查看所有 Annexin A1 的产品