Apolipoprotein E抗体 [C2C3], C-term

目录号 GTX100053
目录号  GTX100053
Anti-Apolipoprotein E antibody [C2C3], C-term used in Western Blot (WB). GTX100053
GTX100053 WB Image

Sample (2.5 μg of whole cell lysate)
A: Conditional medium from human primary preadipocyte
B: Conditional medium from differentiated human primary preadipocyte
12% SDS PAGE
GTX100053 diluted at 1:2000
The HRP-conjugated anti-rabbit IgG antibody (GTX213110-01) was used to detect the primary antibody.

1 / 10
Anti-Apolipoprotein E antibody [C2C3], C-term used in Western Blot (WB). GTX100053
GTX100053 WB Image

Apolipoprotein E antibody [C2C3], C-term detects APOE protein by western blot analysis.
A. 30 μg HepG2 whole cell lysate/extract
12% SDS-PAGE
Apolipoprotein E antibody [C2C3], C-term (GTX100053) dilution: 1:1000
The HRP-conjugated anti-rabbit IgG antibody (GTX213110-01) was used to detect the primary antibody.

2 / 10
Anti-Apolipoprotein E antibody [C2C3], C-term used in ELISA (ELISA). GTX100053
GTX100053 ELISA Image

Sandwich ELISA detection of recombinant full-length human apolipoprotein E using Apolipoprotein E antibody [GT27711] (GTX635889) as capture antibody at concentration of 5 μg/mL and Apolipoprotein E antibody [C2C3], C-term (GTX100053) as detection antibody at concentration of 1 μg/mL. Rabbit IgG antibody (HRP) (GTX213110-01) was diluted at 1:10000 and used to detect the primary antibody.

3 / 10
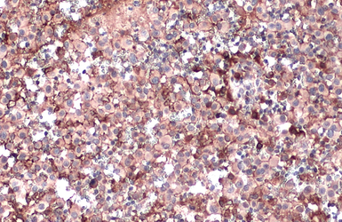
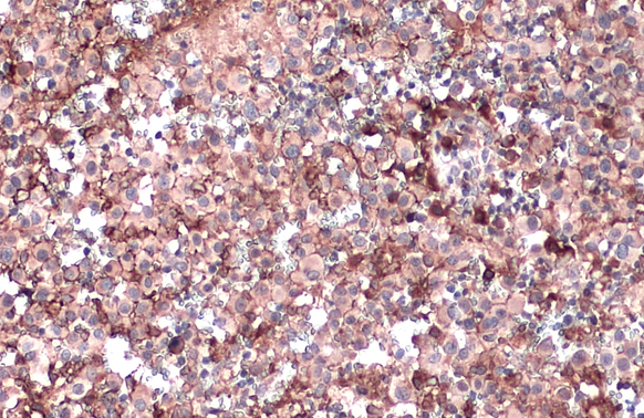
Anti-Apolipoprotein E antibody [C2C3], C-term used in IHC (Paraffin sections) (IHC-P). GTX100053
GTX100053 IHC-P Image

Apolipoprotein E antibody [C2C3], C-term detects secreted Apolipoprotein E protein by immunohistochemical analysis.
Sample: Paraffin-embedded human ovarian cancer.
Apolipoprotein E stained by Apolipoprotein E antibody [C2C3], C-term (GTX100053) diluted at 1:500.
Antigen Retrieval: Citrate buffer, pH 6.0, 15 min

4 / 10
Anti-Apolipoprotein E antibody [C2C3], C-term used in ELISA (ELISA). GTX100053
GTX100053 ELISA Image

Sandwich ELISA detection of recombinant full-length Apolipoprotein E protein using GTX100053 as capture antibody at concentration of 5 μg/mL and a mouse monoclonal anti-Apolipoprotein E antibody as detection antibody at concentration of 1 μg/mL. Mouse IgG antibody (HRP) (GTX213111-01) was diluted at 1:10000 and used to detect the primary antibody.

5 / 10
Anti-Apolipoprotein E antibody [C2C3], C-term used in Immunoprecipitation (IP). GTX100053
GTX100053 IP Image

Apolipoprotein E antibody [C2C3], C-term immunoprecipitates Apolipoprotein E protein in IP experiments.
IP Sample: HepG2 whole cell lysate/extract
A : 30 μg whole cell lysate/extract of Apolipoprotein E protein expressing HepG2 cells
B : Control with 3 μg of pre-immune rabbit IgG
C : Immunoprecipitation of Apolipoprotein E by 3 μg of Apolipoprotein E antibody [C2C3], C-term (GTX100053)
10% SDS-PAGE
The immunoprecipitated Apolipoprotein E protein was detected by Apolipoprotein E antibody [C2C3], C-term (GTX100053) diluted at 1:1000.
EasyBlot anti-rabbit IgG (HRP) (GTX221666-01) was used as a secondary reagent.

6 / 10
Anti-Apolipoprotein E antibody [C2C3], C-term used in Immunocytochemistry/ Immunofluorescence (ICC/IF). GTX100053
GTX100053 ICC/IF Image

Apolipoprotein E antibody [C2C3], C-term detects Apolipoprotein E protein at cytoplasm by immunofluorescent analysis.
Sample: THP-1 cells were fixed in ice-cold MeOH for 5 min.
Green: Apolipoprotein E protein stained by Apolipoprotein E antibody [C2C3], C-term (GTX100053) diluted at 1:500.
Blue: Hoechst 33342 staining.

7 / 10
Anti-Apolipoprotein E antibody [C2C3], C-term used in Western Blot (WB). GTX100053
GTX100053 WB Image

Human plasma (30 μg) was separated by 10% SDS-PAGE, and the membrane was blotted with Apolipoprotein E antibody [C2C3], C-term (GTX100053) diluted at 1:10000. The HRP-conjugated anti-rabbit IgG antibody (GTX213110-01) was used to detect the primary antibody.

8 / 10
Anti-Apolipoprotein E antibody [C2C3], C-term used in ELISA (ELISA). GTX100053
GTX100053 ELISA Image

Sandwich ELISA detection of recombinant full-length human apolipoprotein E using Apolipoprotein E antibody [GT1627] (GTX635891) as capture antibody at concentration of 5 μg/mL and Apolipoprotein E antibody [C2C3], C-term (GTX100053) as detection antibody at concentration of 1 μg/mL. Rabbit IgG antibody (HRP) (GTX213110-01) was diluted at 1:10000 and used to detect the primary antibody.

9 / 10
Anti-Apolipoprotein E antibody [C2C3], C-term used in Immunocytochemistry/ Immunofluorescence (ICC/IF). GTX100053
GTX100053 ICC/IF Image

Apolipoprotein E antibody [C2C3], C-term detects Apolipoprotein E protein at cytoplasm by immunofluorescent analysis.
Sample: HepG2 cells were fixed in 4% paraformaldehyde at RT for 15 min.
Green: Apolipoprotein E stained by Apolipoprotein E antibody [C2C3], C-term (GTX100053) diluted at 1:500.
Blue: Hoechst 33342 staining.

10 / 10
Anti-Apolipoprotein E antibody [C2C3], C-term used in Western Blot (WB). GTX100053
Anti-Apolipoprotein E antibody [C2C3], C-term used in Western Blot (WB). GTX100053
Anti-Apolipoprotein E antibody [C2C3], C-term used in ELISA (ELISA). GTX100053
Anti-Apolipoprotein E antibody [C2C3], C-term used in IHC (Paraffin sections) (IHC-P). GTX100053
Anti-Apolipoprotein E antibody [C2C3], C-term used in ELISA (ELISA). GTX100053
Anti-Apolipoprotein E antibody [C2C3], C-term used in Immunoprecipitation (IP). GTX100053
Anti-Apolipoprotein E antibody [C2C3], C-term used in Immunocytochemistry/ Immunofluorescence (ICC/IF). GTX100053
Anti-Apolipoprotein E antibody [C2C3], C-term used in Western Blot (WB). GTX100053
Anti-Apolipoprotein E antibody [C2C3], C-term used in ELISA (ELISA). GTX100053
Anti-Apolipoprotein E antibody [C2C3], C-term used in Immunocytochemistry/ Immunofluorescence (ICC/IF). GTX100053
  • 宿主
    Rabbit
  • 克隆
    Polyclonal
  • 同种型
    IgG
  • 实验应用
    WB ICC/IF IHC-P IHC-Fr IP ELISA Sandwich ELISA
  • 种属反应
    Human
查看所有 Apolipoprotein E 的产品