Arginase 1抗体

目录号 GTX109242
目录号  GTX109242
Anti-Arginase 1 antibody used in Western Blot (WB). GTX109242
GTX109242 WB Image

Non-transfected (–) and transfected (+) HepG2 whole cell extracts (30 μg) were separated by 12% SDS-PAGE, and the membrane was blotted with Arginase 1 antibody (GTX109242) diluted at 1:500. The HRP-conjugated anti-rabbit IgG antibody (GTX213110-01) was used to detect the primary antibody.

1 / 17
Anti-Arginase 1 antibody used in Western Blot (WB). GTX109242
GTX109242 WB Image

Various whole cell extracts (30 μg) were separated by 12% SDS-PAGE, and the membrane was blotted with Arginase 1 antibody (GTX109242) diluted at 1:1000. The HRP-conjugated anti-rabbit IgG antibody (GTX213110-01) was used to detect the primary antibody. Corresponding RNA expression data for the same cell lines are based on Human Protein Atlas program.

2 / 17
Anti-Arginase 1 antibody used in Western Blot (WB). GTX109242
GTX109242 WB Image

Various tissue extracts (50 μg) were separated by 12% SDS-PAGE, and the membrane was blotted with Arginase 1 antibody (GTX109242) diluted at 1:10000. The HRP-conjugated anti-rabbit IgG antibody (GTX213110-01) was used to detect the primary antibody. Corresponding RNA expression data for the same cell lines are based on NCBI mouse tissue.

3 / 17
Anti-Arginase 1 antibody used in Immunocytochemistry/ Immunofluorescence (ICC/IF). GTX109242
GTX109242 ICC/IF Image

Arginase 1 antibody detects Arginase 1 protein at cytoplasm by immunofluorescent analysis.
Sample: HepG2 cells were fixed in 4% paraformaldehyde at RT for 15 min.
Green: Arginase 1 stained by Arginase 1 antibody (GTX109242) diluted at 1:500.
Blue: Fluoroshield with DAPI (GTX30920).
Scale bar= 10 μm.

4 / 17
Anti-Arginase 1 antibody used in ELISA (ELISA). GTX109242
GTX109242 ELISA Image

Sandwich ELISA detection of recombinant full-length Arginase 1 protein using GTX109242 as capture antibody at concentration of 5 μg/mL and GTX634218 as detection antibody at concentration of 1 μg/mL. Mouse IgG antibody (HRP) (GTX213111-01) was diluted at 1:10000 and used to detect the primary antibody.

5 / 17
Anti-Arginase 1 antibody used in Flow cytometry (FCM). GTX109242
GTX109242 FCM Image

Arginase 1 antibody (GTX109242) detects ARG1 protein by flow cytometry analysis.
Sample: HepG2 cell.
Black: Unlabelled sample was used as a control.
Red: Arginase 1 antibody (GTX109242) dilution: 1:50.
Acquisition of 20,000 events were collected for FACS analysis.

6 / 17
Anti-Arginase 1 antibody used in Immunoprecipitation (IP). GTX109242
GTX109242 IP Image

Immunoprecipitation of Arginase 1 protein from HepG2 whole cell extracts using 5 μg of Arginase 1 antibody (GTX109242).
Western blot analysis was performed using Arginase 1 antibody (GTX109242) diluted at 1:600.
EasyBlot anti-Rabbit IgG (GTX221666-01) was used as a secondary reagent.

7 / 17
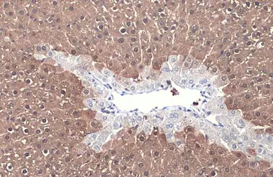
Anti-Arginase 1 antibody used in IHC (Paraffin sections) (IHC-P). GTX109242
GTX109242 IHC-P Image

Arginase 1 antibody detects Arginase 1 protein at cytoplasm by immunohistochemical analysis.
Sample: Paraffin-embedded mouse liver.
Arginase 1 stained by Arginase 1 antibody (GTX109242) diluted at 1:500.
Antigen Retrieval: Citrate buffer, pH 6.0, 15 min

8 / 17
Anti-Arginase 1 antibody used in ELISA (ELISA). GTX109242
GTX109242 ELISA Image

Sandwich ELISA detection of non-transfected and transfected 293T whole cell extracts using GTX634218 as capture antibody at concentration of 5 μg/mL and GTX109242 as detection antibody at concentration of 1 μg/mL. Rabbit IgG antibody (HRP) (GTX213110-01) was diluted at 1:10000 and used to detect the primary antibody.

9 / 17
Anti-Arginase 1 antibody used in Western Blot (WB). GTX109242
GTX109242 WB Image

Various tissue extracts (50 μg) were separated by 12% SDS-PAGE, and the membrane was blotted with Arginase 1 antibody (GTX109242) diluted at 1:1000. The HRP-conjugated anti-rabbit IgG antibody (GTX213110-01) was used to detect the primary antibody.

10 / 17
Anti-Arginase 1 antibody used in IHC (Paraffin sections) (IHC-P). GTX109242
GTX109242 IHC-P Image

The data was published in the journal Oncotarget in 2016. PMID: 27637084

11 / 17
Anti-Arginase 1 antibody used in Western Blot (WB). GTX109242
GTX109242 WB Image

The data was published in the journal PLoS One in 2014.PMID: 24658465

12 / 17
Anti-Arginase 1 antibody used in Western Blot (WB). GTX109242
GTX109242 WB Image

The data was published in the journal J Neuroinflammation in 2017.PMID: 28196545

13 / 17
Anti-Arginase 1 antibody used in Western Blot (WB). GTX109242
GTX109242 WB Image

The data was published in the journal Oncotarget in 2016. PMID: 27637084

14 / 17
Anti-Arginase 1 antibody used in Western Blot (WB). GTX109242
GTX109242 WB Image

The data was published in the journal BMC Microbiol in 2017. PMID: 28835201

15 / 17
Anti-Arginase 1 antibody used in Western Blot (WB). GTX109242
GTX109242 WB Image

The data was published in the journal Physiol Rep in 2013. PMID: 24303100

16 / 17
Anti-Arginase 1 antibody used in Western Blot (WB). GTX109242
GTX109242 WB Image

The data was published in the journal Sci Rep in 2017.PMID: 28211494

17 / 17
Anti-Arginase 1 antibody used in Western Blot (WB). GTX109242
Anti-Arginase 1 antibody used in Western Blot (WB). GTX109242
Anti-Arginase 1 antibody used in Western Blot (WB). GTX109242
Anti-Arginase 1 antibody used in Immunocytochemistry/ Immunofluorescence (ICC/IF). GTX109242
Anti-Arginase 1 antibody used in ELISA (ELISA). GTX109242
Anti-Arginase 1 antibody used in Flow cytometry (FCM). GTX109242
Anti-Arginase 1 antibody used in Immunoprecipitation (IP). GTX109242
Anti-Arginase 1 antibody used in IHC (Paraffin sections) (IHC-P). GTX109242
Anti-Arginase 1 antibody used in ELISA (ELISA). GTX109242
Anti-Arginase 1 antibody used in Western Blot (WB). GTX109242
Anti-Arginase 1 antibody used in IHC (Paraffin sections) (IHC-P). GTX109242
Anti-Arginase 1 antibody used in Western Blot (WB). GTX109242
Anti-Arginase 1 antibody used in Western Blot (WB). GTX109242
Anti-Arginase 1 antibody used in Western Blot (WB). GTX109242
Anti-Arginase 1 antibody used in Western Blot (WB). GTX109242
Anti-Arginase 1 antibody used in Western Blot (WB). GTX109242
Anti-Arginase 1 antibody used in Western Blot (WB). GTX109242
  • 宿主
    Rabbit
  • 克隆
    Polyclonal
  • 同种型
    IgG
  • 实验应用
    WB ICC/IF IHC-P IHC-Fr FCM IP ELISA Sandwich ELISA
  • 种属反应
    Human, Mouse, Rat
查看所有 Arginase 1 的产品