BRCA1抗体 [17F8] - ChIP grade
目录号 GTX70111
                        目录号  GTX70111
                                
                    
                            - 
                                            宿主Mouse
- 
                                            克隆Monoclonal
- 
                                            克隆编号17F8
- 
                                                同种型IgG1
- 
                                            实验应用WB ICC/IF IHC-P IP ELISA ChIP assay IHC
- 
                                            种属反应Human, Mouse
 
                                             
                                            ![Anti-BRCA1 antibody [17F8] - ChIP grade used in Western Blot (WB). GTX70111](/upload/website/prouct_img/middle/GTX70111/GTX70111_43402_20200110_WB_KO_watermark_w_23061221_765.webp) 
                                                        ![Anti-BRCA1 antibody [17F8] - ChIP grade used in Western Blot (WB). GTX70111](/upload/website/prouct_img/middle/GTX70111/GTX70111_41729_20161117_WB_shRNA_watermark_w_23061221_249.webp) 
                                                            
                                                        ![Anti-BRCA1 antibody [17F8] - ChIP grade used in Immunoprecipitation (IP). GTX70111](/upload/website/prouct_img/middle/GTX70111/GTX70111_IP_w_23061221_588.webp) 
                                                            
                                                        ![Anti-BRCA1 antibody [17F8] - ChIP grade used in ChIP assay (ChIP assay). GTX70111](/upload/website/prouct_img/middle/GTX70111/GTX70111_ChIP_w_23061221_928.webp) 
                                                            
                                                        ![Anti-BRCA1 antibody [17F8] - ChIP grade used in Western Blot (WB). GTX70111](/upload/website/prouct_img/middle/GTX70111/GTX70111_41729_WB_w_23061221_730.webp) 
                                                            
                                                        ![Anti-BRCA1 antibody [17F8] - ChIP grade used in Western Blot (WB). GTX70111](/upload/website/prouct_img/middle/GTX70111/GTX70111_20240411_citeab_WB_3332_24041502_562.webp) 
                                                            
                                                        ![Anti-BRCA1 antibody [17F8] - ChIP grade used in Western Blot (WB). GTX70111](/upload/website/prouct_img/middle/GTX70111/GTX70111_20240411_citeab_WB_3310_24041502_719.webp) 
                                                            
                                                        ![Anti-BRCA1 antibody [17F8] - ChIP grade used in Western Blot (WB). GTX70111](/upload/website/prouct_img/middle/GTX70111/GTX70111_20240411_citeab_WB_3207_24041502_259.webp) 
                                                            
                                                        ![Anti-BRCA1 antibody [17F8] - ChIP grade used in Western Blot (WB). GTX70111](/upload/website/prouct_img/middle/GTX70111/GTX70111_20240411_citeab_WB_3053_24041502_449.webp) 
                                                            
                                                        ![Anti-BRCA1 antibody [17F8] - ChIP grade used in Western Blot (WB). GTX70111](/upload/website/prouct_img/middle/GTX70111/GTX70111_20240411_citeab_WB_2362_24041502_651.webp) 
                                                            
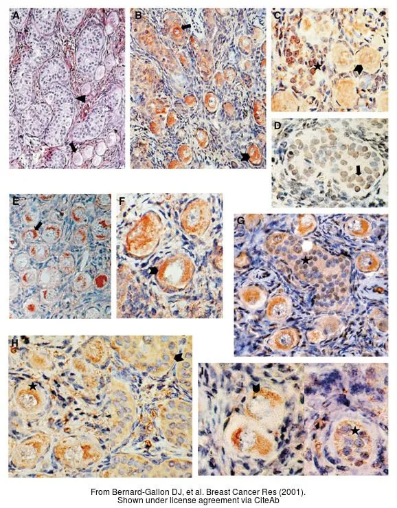
                                                        ![Anti-BRCA1 antibody [17F8] - ChIP grade used in IHC (Paraffin sections) (IHC-P). GTX70111](/upload/website/prouct_img/middle/GTX70111/GTX70111_20240411_citeab_IHC-P_1933_24041502_201.webp)