BRG1抗体 [GT2712]

目录号 GTX633391
目录号  GTX633391
Anti-BRG1 antibody [GT2712] used in Western Blot (WB). GTX633391
GTX633391 WB Image

Wild-type (WT) and BRG1 knockout (KO) 293T cell extracts (30 μg) were separated by 5% SDS-PAGE, and the membrane was blotted with BRG1 antibody [GT2712] (GTX633391) diluted at 1:1000. The HRP-conjugated anti-mouse IgG antibody (GTX213111-01) was used to detect the primary antibody, and the signal was developed with Trident ECL plus-Enhanced.

1 / 8
Anti-BRG1 antibody [GT2712] used in Western Blot (WB). GTX633391
GTX633391 WB Image

Various whole cell extracts (30 μg) were separated by 5% SDS-PAGE, and the membrane was blotted with BRG1 antibody [GT2712] (GTX633391) diluted at 1:1000.

2 / 8
Anti-BRG1 antibody [GT2712] used in Immunocytochemistry/ Immunofluorescence (ICC/IF). GTX633391
GTX633391 ICC/IF Image

BRG1 antibody [GT2712] detects BRG1 protein at nucleus by immunofluorescent analysis.
Sample: HeLa cells were fixed in 4% paraformaldehyde at RT for 15 min.
Green: BRG1 protein stained by BRG1 antibody [GT2712] (GTX633391) diluted at 1:100.
Red: phalloidin, a cytoskeleton marker, diluted at 1:50.
Blue: Hoechst 33342 staining.

3 / 8
Anti-BRG1 antibody [GT2712] used in Western Blot (WB). GTX633391
GTX633391 WB Image

Whole cell extract (30 μg) was separated by 5% SDS-PAGE, and the membrane was blotted with BRG1 antibody [GT2712] (GTX633391) diluted at 1:1000.

4 / 8
Anti-BRG1 antibody [GT2712] used in Western Blot (WB). GTX633391
GTX633391 WB Image

Various whole cell extracts (30 μg) were separated by 5% SDS-PAGE, and the membrane was blotted with BRG1 antibody [GT2712] (GTX633391) diluted at 1:1000.

5 / 8
Anti-BRG1 antibody [GT2712] used in IHC (Frozen sections) (IHC-Fr). GTX633391
GTX633391 IHC-Fr Image

BRG1 antibody [GT2712] detects BRG1 protein by immunohistochemical analysis.
Sample: Frozen-sectioned rat E13.5 brain.
Green: BRG1 stained by BRG1 antibody [GT2712] (GTX633391) diluted at 1:250.
Red: SOX2, stained by SOX2 antibody [N1C3] (GTX101507) diluted at 1:500.
Blue: Fluoroshield with DAPI (GTX30920).

6 / 8
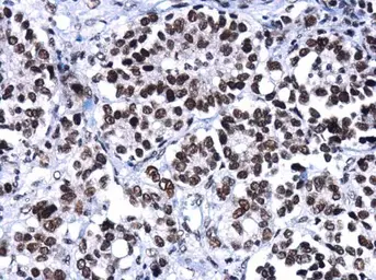
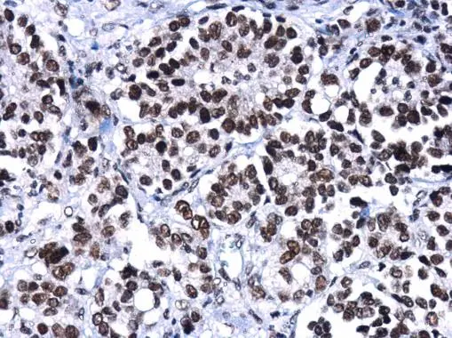
Anti-BRG1 antibody [GT2712] used in IHC (Paraffin sections) (IHC-P). GTX633391
GTX633391 IHC-P Image

BRG1 antibody [GT2712] detects BRG1 protein at nucleus in human oral carcinoma by immunohistochemical analysis.
Sample: Paraffin-embedded human oral carcinoma.
BRG1 antibody [GT2712] (GTX633391) diluted at 1:250.

Antigen Retrieval: Citrate buffer, pH 6.0, 15 min

7 / 8
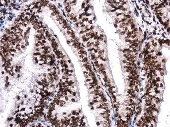
Anti-BRG1 antibody [GT2712] used in IHC (Paraffin sections) (IHC-P). GTX633391
GTX633391 IHC-P Image

BRG1 antibody [GT2712] detects BRG1 protein at nucleus in human endometrial carcinoma by immunohistochemical analysis.
Sample: Paraffin-embedded human endometrial carcinoma.
BRG1 antibody [GT2712] (GTX633391) diluted at 1:250.

Antigen Retrieval: Citrate buffer, pH 6.0, 15 min

8 / 8
Anti-BRG1 antibody [GT2712] used in Western Blot (WB). GTX633391
Anti-BRG1 antibody [GT2712] used in Western Blot (WB). GTX633391
Anti-BRG1 antibody [GT2712] used in Immunocytochemistry/ Immunofluorescence (ICC/IF). GTX633391
Anti-BRG1 antibody [GT2712] used in Western Blot (WB). GTX633391
Anti-BRG1 antibody [GT2712] used in Western Blot (WB). GTX633391
Anti-BRG1 antibody [GT2712] used in IHC (Frozen sections) (IHC-Fr). GTX633391
Anti-BRG1 antibody [GT2712] used in IHC (Paraffin sections) (IHC-P). GTX633391
Anti-BRG1 antibody [GT2712] used in IHC (Paraffin sections) (IHC-P). GTX633391
  • 宿主
    Mouse
  • 克隆
    Monoclonal
  • 克隆编号
    GT2712
  • 同种型
    IgG1
  • 实验应用
    WB ICC/IF IHC-P IHC-Fr
  • 种属反应
    Human, Mouse, Rat
查看所有 BRG1 的产品