Bad抗体

目录号 GTX130108
目录号  GTX130108
Anti-Bad antibody used in Western Blot (WB). GTX130108
GTX130108 WB Image

Wild-type (WT) and Bad knockout (KO) HeLa cell extracts (30 μg) were separated by 15% SDS-PAGE, and the membrane was blotted with Bad antibody (GTX130108) diluted at 1:1000. The HRP-conjugated anti-rabbit IgG antibody (GTX213110-01) was used to detect the primary antibody, and the signal was developed with Trident ECL plus-Enhanced.

1 / 5
Anti-Bad antibody used in Western Blot (WB). GTX130108
GTX130108 WB Image

Non-transfected (–) and transfected (+) 293T whole cell extracts (30 μg) were separated by 15% SDS-PAGE, and the membrane was blotted with Bad antibody (GTX130108) diluted at 1:1000. The HRP-conjugated anti-rabbit IgG antibody (GTX213110-01) was used to detect the primary antibody.

2 / 5
Anti-Bad antibody used in Western Blot (WB). GTX130108
GTX130108 WB Image

Whole cell extract (30 μg) was separated by 15% SDS-PAGE, and the membrane was blotted with Bad antibody (GTX130108) diluted at 1:1000. The HRP-conjugated anti-rabbit IgG antibody (GTX213110-01) was used to detect the primary antibody.

3 / 5
Anti-Bad antibody used in Western Blot (WB). GTX130108
GTX130108 WB Image

Bad antibody detects Bad protein by western blot analysis. Various whole cell extracts (30 μg) were separated by 15% SDS-PAGE, and the membrane was blotted with Bad antibody (GTX130108) diluted at a dilution of 1:1000.

4 / 5
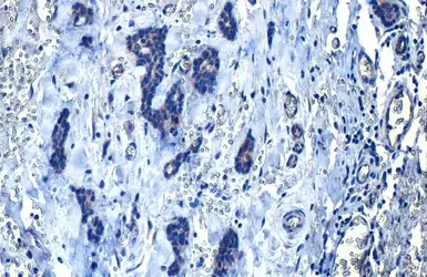
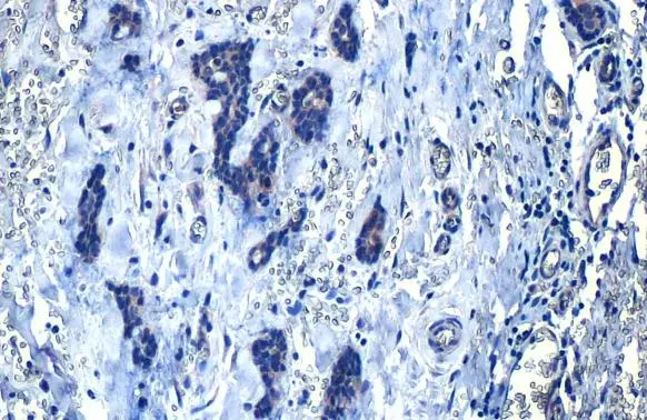
Anti-Bad antibody used in IHC (Paraffin sections) (IHC-P). GTX130108
GTX130108 IHC-P Image

Bad antibody detects Bad protein at cytoplasm by immunohistochemical analysis.
Sample: Paraffin-embedded human breast carcinoma.
Bad stained by Bad antibody (GTX130108) diluted at 1:500.
Antigen Retrieval: Citrate buffer, pH 6.0, 15 min

5 / 5
Anti-Bad antibody used in Western Blot (WB). GTX130108
Anti-Bad antibody used in Western Blot (WB). GTX130108
Anti-Bad antibody used in Western Blot (WB). GTX130108
Anti-Bad antibody used in Western Blot (WB). GTX130108
Anti-Bad antibody used in IHC (Paraffin sections) (IHC-P). GTX130108
  • 宿主
    Rabbit
  • 克隆
    Polyclonal
  • 同种型
    IgG
  • 实验应用
    WB IHC-P
  • 种属反应
    Human
查看所有 Bad 的产品