Bax抗体 [N1N2], N-term

目录号 GTX109683
目录号  GTX109683
Anti-Bax antibody [N1N2], N-term used in Western Blot (WB). GTX109683
GTX109683 WB Image

Wild-type (WT) and Bax knockout (KO) 239T cell extracts (30 μg) were separated by 12% SDS-PAGE, and the membrane was blotted with Bax antibody [N1N2], N-term (GTX109683) diluted at 1:1000. The HRP-conjugated anti-rabbit IgG antibody (GTX213110-01) was used to detect the primary antibody.

1 / 18
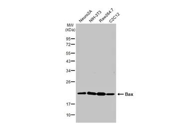
Anti-Bax antibody [N1N2], N-term used in Western Blot (WB). GTX109683
GTX109683 WB Image

Various whole cell extracts (30 μg) were separated by 12% SDS-PAGE, and the membrane was blotted with Bax antibody [N1N2], N-term (GTX109683) diluted at 1:1000. The HRP-conjugated anti-rabbit IgG antibody (GTX213110-01) was used to detect the primary antibody.

2 / 18
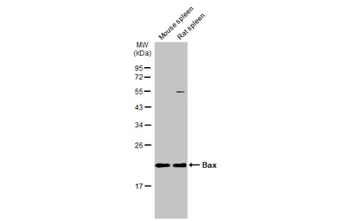
Anti-Bax antibody [N1N2], N-term used in Western Blot (WB). GTX109683
GTX109683 WB Image

Various tissue extracts (50 μg) were separated by 12% SDS-PAGE, and the membrane was blotted with Bax antibody [N1N2], N-term (GTX109683) diluted at 1:1000. The HRP-conjugated anti-rabbit IgG antibody (GTX213110-01) was used to detect the primary antibody.

3 / 18
Anti-Bax antibody [N1N2], N-term used in Immunoprecipitation (IP). GTX109683
GTX109683 IP Image

Bax antibody [N1N2], N-term immunoprecipitates BCL2-associated X protein in IP experiments.
IP samples: MCF-7 whole cell extract
A. Control with 4 μg of preimmune Rabbit IgG
B. Immunoprecipitation of BCL2-associated X protein by 4 μg Bax antibody [N1N2], N-term (GTX109683)
15 % SDS-PAGE
The immunoprecipitated BCL2-associated X protein was detected by Bax antibody [N1N2], N-term (GTX109683) diluted at 1:500.
[EasyBlot anti-rabbit IgG (GTX221666-01) was used as a secondary reagent]

4 / 18
Anti-Bax antibody [N1N2], N-term used in Western Blot (WB). GTX109683
GTX109683 WB Image

Various whole cell extracts (30 μg) were separated by 12% SDS-PAGE, and the membrane was blotted with Bax antibody [N1N2], N-term (GTX109683) diluted at 1:1000. The HRP-conjugated anti-rabbit IgG antibody (GTX213110-01) was used to detect the primary antibody. Corresponding RNA expression data for the same cell lines are based on Human Protein Atlas program.

5 / 18
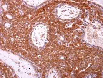
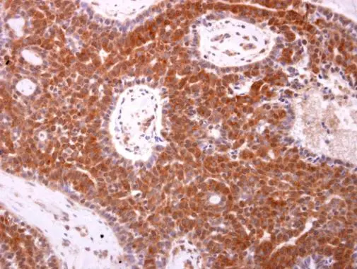
Anti-Bax antibody [N1N2], N-term used in IHC (Paraffin sections) (IHC-P). GTX109683
GTX109683 IHC-P Image

Bax antibody [N1N2], N-term detects Bax protein at cytoplasm on human lung carcinoma by immunohistochemical analysis.
Sample: Paraffin-embedded human lung carcinoma.
Bax antibody [N1N2], N-term (GTX109683) diluted at 1:500.

Antigen Retrieval: Trilogy™ (EDTA based, pH 8.0) buffer, 15min

6 / 18
Anti-Bax antibody [N1N2], N-term used in Immunocytochemistry/ Immunofluorescence (ICC/IF). GTX109683
GTX109683 ICC/IF Image

Bax antibody [N1N2], N-term detects Bax protein at cytoplasm, nucleus and mitochondria by immunofluorescent analysis.
Sample: HeLa cells were fixed in 4% paraformaldehyde at RT for 15 min.
Green: Bax protein stained by Bax antibody [N1N2], N-term (GTX109683) diluted at 1:400.
Blue: Hoechst 33342 staining.

7 / 18
Anti-Bax antibody [N1N2], N-term used in Western Blot (WB). GTX109683
GTX109683 WB Image

Various whole cell extracts (30 μg) were separated by 12% SDS-PAGE, and the membrane was blotted with Bax antibody [N1N2], N-term (GTX109683) diluted at 1:1000. The HRP-conjugated anti-rabbit IgG antibody (GTX213110-01) was used to detect the primary antibody.

8 / 18
Anti-Bax antibody [N1N2], N-term used in Western Blot (WB). GTX109683
GTX109683 WB Image

Various whole cell extracts (30 μg) were separated by 12% SDS-PAGE, and the membrane was blotted with Bax antibody [N1N2], N-term (GTX109683) diluted at 1:1000. The HRP-conjugated anti-rabbit IgG antibody (GTX213110-01) was used to detect the primary antibody.

9 / 18
Anti-Bax antibody [N1N2], N-term used in Western Blot (WB). GTX109683
GTX109683 WB Image

The data was published in the journal Oncotarget in 2016. PMID: 26716417

10 / 18
Anti-Bax antibody [N1N2], N-term used in Western Blot (WB). GTX109683
GTX109683 WB Image

The data was published in the journal Oncotarget in 2016. PMID: 26716417

11 / 18
Anti-Bax antibody [N1N2], N-term used in Western Blot (WB). GTX109683
GTX109683 WB Image

The data was published in the journal Oncotarget in 2016. PMID: 26716417

12 / 18
Anti-Bax antibody [N1N2], N-term used in Western Blot (WB). GTX109683
GTX109683 WB Image

The data was published in the journal Oncotarget in 2017. PMID: 28467781

13 / 18
Anti-Bax antibody [N1N2], N-term used in Western Blot (WB). GTX109683
GTX109683 WB Image

The data was published in the journal Evid Based Complement Alternat Med in 2012. PMID: 23091557

14 / 18
Anti-Bax antibody [N1N2], N-term used in Western Blot (WB). GTX109683
GTX109683 WB Image

The data was published in the journal Evid Based Complement Alternat Med in 2013.PMID: 23573126

15 / 18
Anti-Bax antibody [N1N2], N-term used in Western Blot (WB). GTX109683
GTX109683 WB Image

The data was published in the journal Stem Cell Res Ther in 2017.PMID: 28482861

16 / 18
Anti-Bax antibody [N1N2], N-term used in Western Blot (WB). GTX109683
GTX109683 WB Image

The data was published in the journal Molecules in 2017. PMID: 28531143

17 / 18
Anti-Bax antibody [N1N2], N-term used in Western Blot (WB). GTX109683
GTX109683 WB Image

The data was published in the journal PLoS One in 2016. PMID: 26859149

18 / 18
Anti-Bax antibody [N1N2], N-term used in Western Blot (WB). GTX109683
Anti-Bax antibody [N1N2], N-term used in Western Blot (WB). GTX109683
Anti-Bax antibody [N1N2], N-term used in Western Blot (WB). GTX109683
Anti-Bax antibody [N1N2], N-term used in Immunoprecipitation (IP). GTX109683
Anti-Bax antibody [N1N2], N-term used in Western Blot (WB). GTX109683
Anti-Bax antibody [N1N2], N-term used in IHC (Paraffin sections) (IHC-P). GTX109683
Anti-Bax antibody [N1N2], N-term used in Immunocytochemistry/ Immunofluorescence (ICC/IF). GTX109683
Anti-Bax antibody [N1N2], N-term used in Western Blot (WB). GTX109683
Anti-Bax antibody [N1N2], N-term used in Western Blot (WB). GTX109683
Anti-Bax antibody [N1N2], N-term used in Western Blot (WB). GTX109683
Anti-Bax antibody [N1N2], N-term used in Western Blot (WB). GTX109683
Anti-Bax antibody [N1N2], N-term used in Western Blot (WB). GTX109683
Anti-Bax antibody [N1N2], N-term used in Western Blot (WB). GTX109683
Anti-Bax antibody [N1N2], N-term used in Western Blot (WB). GTX109683
Anti-Bax antibody [N1N2], N-term used in Western Blot (WB). GTX109683
Anti-Bax antibody [N1N2], N-term used in Western Blot (WB). GTX109683
Anti-Bax antibody [N1N2], N-term used in Western Blot (WB). GTX109683
Anti-Bax antibody [N1N2], N-term used in Western Blot (WB). GTX109683
  • 宿主
    Rabbit
  • 克隆
    Polyclonal
  • 同种型
    IgG
  • 实验应用
    WB ICC/IF IHC-P IHC-Fr IP
  • 种属反应
    Human, Mouse, Rat
查看所有 Bax 的产品