Beclin 1抗体

目录号 GTX133555
目录号  GTX133555
Anti-Beclin 1 antibody used in Western Blot (WB). GTX133555
GTX133555 WB Image

Wild-type (WT) and Beclin 1 knockout (KO) HeLa cell extracts (30 μg) were separated by 10% SDS-PAGE, and the membrane was blotted with Beclin 1 antibody (GTX133555) diluted at 1:1000. The HRP-conjugated anti-rabbit IgG antibody (GTX213110-01) was used to detect the primary antibody, and the signal was developed with Trident ECL plus-Enhanced.

1 / 5
Anti-Beclin 1 antibody used in Western Blot (WB). GTX133555
GTX133555 WB Image

Various whole cell extracts (30 μg) were separated by 10% SDS-PAGE, and the membrane was blotted with Beclin 1 antibody (GTX133555) diluted at 1:1000. The HRP-conjugated anti-rabbit IgG antibody (GTX213110-01) was used to detect the primary antibody.

*The competitor is not affiliated with GeneTex and does not endorse this product.

2 / 5
Anti-Beclin 1 antibody used in Western Blot (WB). GTX133555
GTX133555 WB Image

Various whole cell extracts (30 μg) were separated by 10% SDS-PAGE, and the membrane was blotted with Beclin 1 antibody (GTX133555) diluted at 1:1000. The HRP-conjugated anti-rabbit IgG antibody (GTX213110-01) was used to detect the primary antibody.

3 / 5
Anti-Beclin 1 antibody used in Western Blot (WB). GTX133555
GTX133555 WB Image

Non-transfected (–) and transfected (+) 293T whole cell extracts (30 μg) were separated by 10% SDS-PAGE, and the membrane was blotted with Beclin 1 antibody (GTX133555) diluted at 1:5000. The HRP-conjugated anti-rabbit IgG antibody (GTX213110-01) was used to detect the primary antibody.

4 / 5
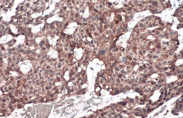
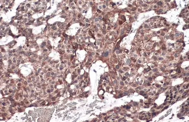
Anti-Beclin 1 antibody used in IHC (Paraffin sections) (IHC-P). GTX133555
GTX133555 IHC-P Image

Beclin 1 antibody detects Beclin 1 protein at cell membrane and cytoplasm by immunohistochemical analysis.
Sample: Paraffin-embedded human breast carcinoma.
Beclin 1 stained by Beclin 1 antibody (GTX133555) diluted at 1:2000.
Antigen Retrieval: Citrate buffer, pH 6.0, 15 min

5 / 5
Anti-Beclin 1 antibody used in Western Blot (WB). GTX133555
Anti-Beclin 1 antibody used in Western Blot (WB). GTX133555
Anti-Beclin 1 antibody used in Western Blot (WB). GTX133555
Anti-Beclin 1 antibody used in Western Blot (WB). GTX133555
Anti-Beclin 1 antibody used in IHC (Paraffin sections) (IHC-P). GTX133555
  • 宿主
    Rabbit
  • 克隆
    Polyclonal
  • 同种型
    IgG
  • 实验应用
    WB IHC-P IP
  • 种属反应
    Human, Mouse
查看所有 Beclin 1 的产品