 
                                                        
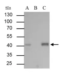
                                                    Bmi1 antibody immunoprecipitates Bmi1 protein in IP experiments. IP Sample: 293T whole cell lysate/extract A : 30 μg whole cell lysate/extract of Bmi1 protein expressing 293T cells B : Control with 2.5 μg of pre-immune rabbit IgG C : Immunoprecipitation of Bmi1 protein by 2.5 μg of Bmi1 antibody (GTX114008) 10% SDS-PAGE The immunoprecipitated Bmi1 protein was detected by Bmi1 antibody (GTX114008) diluted at 1 : 1000. EasyBlot anti-rabbit IgG (HRP) (GTX221666-01) was used as a secondary reagent.
 
                                                            
                                                        
                                                    
                                                                    Bmi1 antibody detects BMI1 protein by western blot analysis.
A. 30 μg C8D30 whole cell lysate/extract
B. 30 μg BCL-1 whole cell lysate/extract
C. 30 μg Raw264.7 whole cell lysate/extract
10% SDS-PAGE
Bmi1 antibody (GTX114008) dilution: 1:1000 
The HRP-conjugated anti-rabbit IgG antibody (GTX213110-01) was used to detect the primary antibody.
                                                                
 
                                                            
                                                        
                                                    
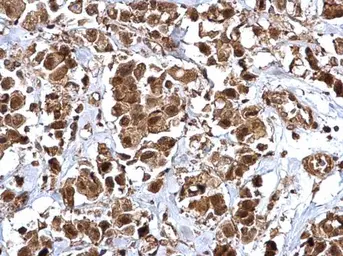
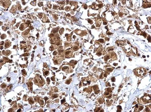
                                                                    Bmi1 antibody detects Bmi1 protein at cytosol and nucleus on human ovarian carcinoma by immunohistochemical analysis. 
Sample: Paraffin-embedded human ovarian carcinoma. 
Bmi1 antibody (GTX114008) dilution: 1:500.
Antigen Retrieval: Trilogy™ (EDTA based, pH 8.0) buffer, 15min
                                                                
 
                                                            
                                                        
                                                    
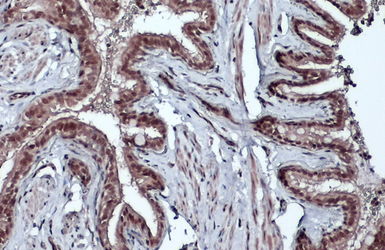
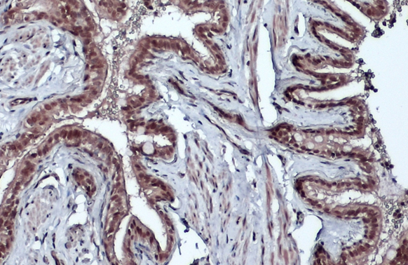
                                                                    Bmi1 antibody detects Bmi1 protein at cytosol and nucleus on human breast carcinoma by immunohistochemical analysis. 
Sample: Paraffin-embedded human breast carcinoma. 
Bmi1 antibody (GTX114008) dilution: 1:500.
Antigen Retrieval: Trilogy™ (EDTA based, pH 8.0) buffer, 15min
                                                                
 
                                                            
                                                        
                                                    
                                                                    Bmi1 antibody detects BMI1 protein by western blot analysis.
A. 30 μg THP-1 whole cell lysate/extract
B. 30 μg HL-60 whole cell lysate/extract
10% SDS-PAGE
Bmi1 antibody (GTX114008) dilution: 1:1000 
The HRP-conjugated anti-rabbit IgG antibody (GTX213110-01) was used to detect the primary antibody.
                                                                
 
                                                            
                                                        
                                                    
                                                                    Bmi1 antibody detects Bmi1 protein by western blot analysis.
 A. 30 μg K562 whole cell lysate/extract 
B. 30 μg THP-1 whole cell lysate/extract
10% SDS-PAGE
Bmi1 antibody (GTX114008) dilution: 1:1000 
The HRP-conjugated anti-rabbit IgG antibody (GTX213110-01) was used to detect the primary antibody.
                                                                
 
                                                            
                                                        
                                                    Non-transfected (–) and transfected (+) HeLa whole cell extracts (30 μg) were separated by 10% SDS-PAGE, and the membrane was blotted with Bmi1 antibody (GTX114008) diluted at 1:500. The HRP-conjugated anti-rabbit IgG antibody (GTX213110-01) was used to detect the primary antibody.
 
                                                            
                                                        
                                                    Whole cell extract (30 μg) was separated by 10% SDS-PAGE, and the membrane was blotted with Bmi1 antibody (GTX114008) diluted at 1:1000. The HRP-conjugated anti-rabbit IgG antibody (GTX213110-01) was used to detect the primary antibody, and the signal was developed with Trident ECL plus-Enhanced.
 
                                                            
                                                        
                                                    Bmi1 antibody detects Bmi1 protein at nucleus by immunofluorescent analysis.Sample: MDCK cells were fixed in 4% paraformaldehyde at RT for 15 min.Green: Bmi1 stained by Bmi1 antibody (GTX114008) diluted at 1:1000.Red: phalloidin, a cytoskeleton marker, diluted at 1:100.Scale bar= 10 μm.
 
                                             
                                             
                                             
                                             
                                             
                                             
                                             
                                             
                                             
                                             
                                                    
                                             
                                                    
                                             
                                                    
                                             
                                                    
                                             
                                                    
                                             
                                                    
                                             
                                                    
                                             
                                                    
                                             
                                                    
                                             
                                                    
                                            - 
                                            宿主Rabbit
- 
                                            克隆Polyclonal
- 
                                                同种型IgG
- 
                                            实验应用WB ICC/IF IHC-P IP
- 
                                            种属反应Human, Mouse, Cat, Dog
 
                                            