BrdU抗体 [HL1111]
目录号 GTX636326
                        目录号  GTX636326
                                
                    
                            - 
                                            宿主Rabbit
- 
                                            克隆Monoclonal
- 
                                            克隆编号HL1111
- 
                                                同种型IgG
- 
                                            实验应用ICC/IF IHC-P
- 
                                            种属反应Species independent
 
                                             
                                             
                                            ![Anti-BrdU antibody [HL1111] used in Immunocytochemistry/ Immunofluorescence (ICC/IF). GTX636326](/upload/website/prouct_img/middle/GTX636326/GTX636326_T-44375_20211008_ICC_IF_treatmemt_BrdU_competitor_w_23061202_873.webp) 
                                                        ![Anti-BrdU antibody [HL1111] used in Immunocytochemistry/ Immunofluorescence (ICC/IF). GTX636326](/upload/website/prouct_img/middle/GTX636326/GTX636326_45131_20231110_ICC_IF_treatment_BrdU_24042400_314.webp) 
                                                            
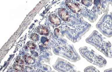
                                                        ![Anti-BrdU antibody [HL1111] used in IHC (Paraffin sections) (IHC-P). GTX636326](/upload/website/prouct_img/middle/GTX636326/GTX636326_44438_20220311_IHC-P_M_w_23061202_133.webp)