Brn2抗体

目录号 GTX114650
目录号  GTX114650
Anti-Brn2 antibody used in Immunoprecipitation (IP). GTX114650
GTX114650 IP Image

Brn2 antibody immunoprecipitates Brn2 protein in IP experiments. IP Sample: 1000 μg 293T whole cell lysate/extract A. 50 μg 293T whole cell lysate/extract B. Control with 2 μg of preimmune rabbit IgG C. Immunoprecipitation of Brn2 protein by 2 μg of Brn2 antibody (GTX114650) 10% SDS-PAGE The immunoprecipitated Brn2 protein was detected by Brn2 antibody (GTX114650) diluted at 1:1000. EasyBlot anti-rabbit IgG (GTX221666-01) was used as a secondary reagent.

1 / 8
Anti-Brn2 antibody used in ChIP assay (ChIP assay). GTX114650
GTX114650 ChIP assay Image

Brn2 antibody immunoprecipitates Brn2 protein-DNA in ChIP experiments. ChIP Sample: 293T whole cell lysate/extract A. 5 μg preimmune rabbit IgG B. 5 μg of Brn2 antibody (GTX114650) The precipitated DNA was detected by PCR with primer set targeting to MITF promoter.

2 / 8
Anti-Brn2 antibody used in IHC (Frozen sections) (IHC-Fr). GTX114650
GTX114650 IHC-Fr Image

Brn2 antibody detects Brn2 protein expression at nucleus by immunohistochemical analysis.
Sample: Frozen sectioned E13.5 Rat brain.
Green: Brn2 protein stained by Brn2 antibody (GTX114650) diluted at 1:250.
Red: beta Tubulin 3/ TUJ1, a mature neuron marker, stained by beta Tubulin 3/ TUJ1 antibody [GT11710] (GTX631836) diluted at 1:500.
Blue: Fluoroshield with DAPI (GTX30920).

3 / 8
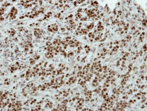
Anti-Brn2 antibody used in IHC (Paraffin sections) (IHC-P). GTX114650
GTX114650 IHC-P Image

Brn2 antibody detects Brn2 protein at nucleus in rat brain by immunohistochemical analysis.
Sample: Paraffin-embedded rat brain.
Brn2 antibody (GTX114650) diluted at 1:500.

Antigen Retrieval: Citrate buffer, pH 6.0, 15 min

4 / 8
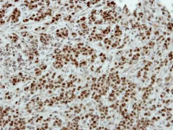
Anti-Brn2 antibody used in IHC (Paraffin sections) (IHC-P). GTX114650
GTX114650 IHC-P Image

Immunohistochemical analysis of paraffin-embedded TOV-21G xenograft, using Brn2(GTX114650) antibody at 1:500 dilution.
Antigen Retrieval: Trilogy™ (EDTA based, pH 8.0) buffer, 15min

5 / 8
Anti-Brn2 antibody used in Western Blot (WB). GTX114650
GTX114650 WB Image

Whole cell extract (30 μg) was separated by 7.5% SDS-PAGE, and the membrane was blotted with Brn2 antibody (GTX114650) diluted at 1:1000.

6 / 8
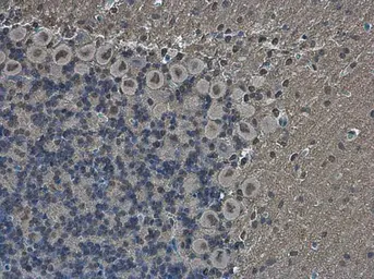
Anti-Brn2 antibody used in IHC (Paraffin sections) (IHC-P). GTX114650
GTX114650 IHC-P Image

Brn2 antibody detects Brn2 protein at nucleus in mouse brain by immunohistochemical analysis.
Sample: Paraffin-embedded mouse brain.
Brn2 antibody (GTX114650) diluted at 1:500.

Antigen Retrieval: Citrate buffer, pH 6.0, 15 min

7 / 8
Anti-Brn2 antibody used in Immunocytochemistry/ Immunofluorescence (ICC/IF). GTX114650
GTX114650 ICC/IF Image

Brn2 antibody detects Brn2 protein at nucleus by immunofluorescent analysis.
Sample: SK-N-AS cells were fixed in 4% paraformaldehyde at RT for 15 min.
Green: Brn2 protein stained by Brn2 antibody (GTX114650) diluted at 1:1000.
Red: beta Tubulin 3/ Tuj1 stained by beta Tubulin 3/ Tuj1 antibody [GT11710] (GTX631836) diluted at 1:500.
Scale bar = 10 μm.

8 / 8
Anti-Brn2 antibody used in Immunoprecipitation (IP). GTX114650
Anti-Brn2 antibody used in ChIP assay (ChIP assay). GTX114650
Anti-Brn2 antibody used in IHC (Frozen sections) (IHC-Fr). GTX114650
Anti-Brn2 antibody used in IHC (Paraffin sections) (IHC-P). GTX114650
Anti-Brn2 antibody used in IHC (Paraffin sections) (IHC-P). GTX114650
Anti-Brn2 antibody used in Western Blot (WB). GTX114650
Anti-Brn2 antibody used in IHC (Paraffin sections) (IHC-P). GTX114650
Anti-Brn2 antibody used in Immunocytochemistry/ Immunofluorescence (ICC/IF). GTX114650
  • 宿主
    Rabbit
  • 克隆
    Polyclonal
  • 同种型
    IgG
  • 实验应用
    WB ICC/IF IHC-P IHC-Fr IP ChIP assay
  • 种属反应
    Human, Mouse, Rat, Chimpanzee
查看所有 Brn2 的产品