C Reactive Protein抗体 [N1C3]

目录号 GTX101262
目录号  GTX101262
Anti-C Reactive Protein antibody [N1C3] used in ELISA (ELISA). GTX101262
GTX101262 ELISA Image

Sandwich ELISA detection of recombinant Human C Reactive Protein, His tag (GTX138453-pro) using antibodies as below.

Capture: C Reactive Protein antibody [GT54] (GTX641406) (5 μg/mL)
Detection: C Reactive Protein antibody [N1C3] (GTX101262) (1 μg/mL)

1 / 7
Anti-C Reactive Protein antibody [N1C3] used in ELISA (ELISA). GTX101262
GTX101262 ELISA Image

Sandwich ELISA detection of recombinant Human C Reactive Protein, His tag (GTX138453-pro) using antibodies as below.

Capture: C Reactive Protein antibody [GT55] (GTX641407) (5 μg/mL)
Detection: C Reactive Protein antibody [N1C3] (GTX101262) (1 μg/mL)

2 / 7
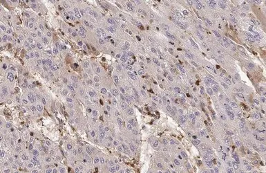
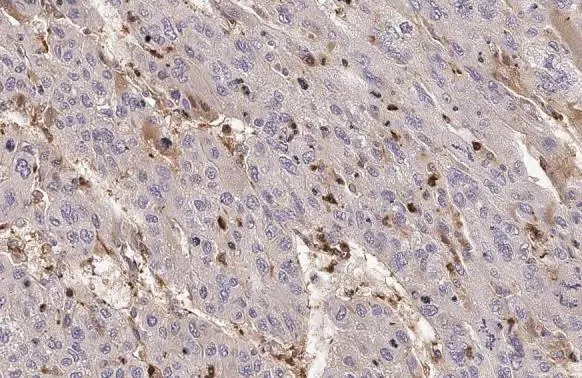
Anti-C Reactive Protein antibody [N1C3] used in IHC (Paraffin sections) (IHC-P). GTX101262
GTX101262 IHC-P Image

C Reactive Protein antibody [N1C3] detects secreted C Reactive Protein protein by immunohistochemical analysis.
Sample: Paraffin-embedded human hepatocellular carcinoma.
C Reactive Protein stained by C Reactive Protein antibody [N1C3] (GTX101262) diluted at 1:500.
Antigen Retrieval: Citrate buffer, pH 6.0, 15 min

3 / 7
Anti-C Reactive Protein antibody [N1C3] used in Western Blot (WB). GTX101262
GTX101262 WB Image

Human plasma (30 μg) was separated by 12% SDS-PAGE, and the membrane was blotted with C Reactive Protein antibody [N1C3] (GTX101262) diluted at 1:5000. The HRP-conjugated anti-rabbit IgG antibody (GTX213110-01) was used to detect the primary antibody, and the signal was developed with Trident ECL plus-Enhanced.

4 / 7
Anti-C Reactive Protein antibody [N1C3] used in Western Blot (WB). GTX101262
GTX101262 WB Image

Mouse plasma (50 μg) was separated by 12% SDS-PAGE, and the membrane was blotted with C Reactive Protein antibody [N1C3] (GTX101262) diluted at 1:5000. The HRP-conjugated anti-rabbit IgG antibody (GTX213110-01) was used to detect the primary antibody.

5 / 7
Anti-C Reactive Protein antibody [N1C3] used in Western Blot (WB). GTX101262
GTX101262 WB Image

Rat plasma (50 μg) was separated by 12% SDS-PAGE, and the membrane was blotted with C Reactive Protein antibody [N1C3] (GTX101262) diluted at 1:100000. The HRP-conjugated anti-rabbit IgG antibody (GTX213110-01) was used to detect the primary antibody.

6 / 7
Anti-C Reactive Protein antibody [N1C3] used in ELISA (ELISA). GTX101262
GTX101262 ELISA Image

Indirect ELISA analysis was performed by coating the plate with recombinant Human C Reactive Protein, His tag (GTX138453-pro) (144.14-2.25 nM). Coated protein was probed with C Reactive Protein antibody [N1C3] (GTX101262) (1 μg/mL). Goat anti-rabbit IgG antibody (HRP) (GTX213110-01) (1:10000) was used to detect the bound primary antibody.

7 / 7
Anti-C Reactive Protein antibody [N1C3] used in ELISA (ELISA). GTX101262
Anti-C Reactive Protein antibody [N1C3] used in ELISA (ELISA). GTX101262
Anti-C Reactive Protein antibody [N1C3] used in IHC (Paraffin sections) (IHC-P). GTX101262
Anti-C Reactive Protein antibody [N1C3] used in Western Blot (WB). GTX101262
Anti-C Reactive Protein antibody [N1C3] used in Western Blot (WB). GTX101262
Anti-C Reactive Protein antibody [N1C3] used in Western Blot (WB). GTX101262
Anti-C Reactive Protein antibody [N1C3] used in ELISA (ELISA). GTX101262
  • 宿主
    Rabbit
  • 克隆
    Polyclonal
  • 同种型
    IgG
  • 实验应用
    WB IHC-P ELISA Sandwich ELISA
  • 种属反应
    Human, Mouse, Rat
查看所有 C Reactive Protein 的产品