C9orf72抗体 [GT1553]

目录号 GTX634482
目录号  GTX634482
Anti-C9orf72 antibody [GT1553] used in Western Blot (WB). GTX634482
GTX634482 WB Image

Non-transfected (–) and transfected (+) 293T whole cell extracts (60 μg) were separated by 10% SDS-PAGE, and the membrane was blotted with C9orf72 antibody [GT1553] (GTX634482) diluted at 1:500. The HRP-conjugated anti-mouse IgG antibody (GTX213111-01) was used to detect the primary antibody, and the signal was developed with Trident ECL plus-Enhanced.

1 / 13
Anti-C9orf72 antibody [GT1553] used in Western Blot (WB). GTX634482
GTX634482 WB Image

Various whole cell extracts (30 μg) were separated by 10% SDS-PAGE, and the membrane was blotted with C9orf72 antibody [GT1553] (GTX634482) diluted at 1:500. The HRP-conjugated anti-mouse IgG antibody (GTX213111-01) was used to detect the primary antibody.

2 / 13
Anti-C9orf72 antibody [GT1553] used in Western Blot (WB). GTX634482
GTX634482 WB Image

Various whole cell extracts (30 μg) were separated by 10% SDS-PAGE, and the membrane was blotted with C9orf72 antibody [GT1553] (GTX634482) diluted at 1:1000. The HRP-conjugated anti-mouse IgG antibody (GTX213111-01) was used to detect the primary antibody.

3 / 13
Anti-C9orf72 antibody [GT1553] used in Western Blot (WB). GTX634482
GTX634482 WB Image

Non-transfected (–) and transfected (+) 293T whole cell extracts (30 μg) were separated by 10% SDS-PAGE, and the membrane was blotted with C9orf72 antibody [GT1553] (GTX634482) diluted at 1:5000. The HRP-conjugated anti-mouse IgG antibody (GTX213111-01) was used to detect the primary antibody.

4 / 13
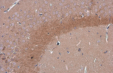
Anti-C9orf72 antibody [GT1553] used in IHC (Paraffin sections) (IHC-P). GTX634482
GTX634482 IHC-P Image

C9orf72 antibody [GT1553] detects C9orf72 protein at cytoplasm by immunohistochemical analysis.
Sample: Paraffin-embedded mouse hippocampus.
C9orf72 stained by C9orf72 antibody [GT1553] (GTX634482) diluted at 1:100.
Antigen Retrieval: Citrate buffer, pH 6.0, 15 min

5 / 13
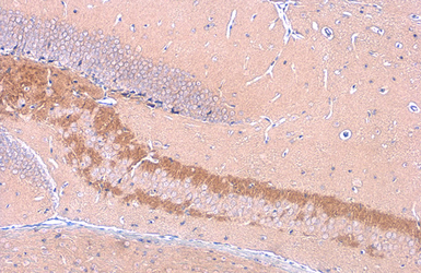
Anti-C9orf72 antibody [GT1553] used in IHC (Paraffin sections) (IHC-P). GTX634482
GTX634482 IHC-P Image

C9orf72 antibody [GT1553] detects C9orf72 protein at cytoplasm by immunohistochemical analysis.
Sample: Paraffin-embedded mouse hippocampus.
C9orf72 stained by C9orf72 antibody [GT1553] (GTX634482) diluted at 1:100.
Antigen Retrieval: Citrate buffer, pH 6.0, 15 min

6 / 13
Anti-C9orf72 antibody [GT1553] used in IHC (Paraffin sections) (IHC-P). GTX634482
GTX634482 IHC-P Image

C9orf72 antibody [GT1553] detects C9orf72 protein at cytoplasm by immunohistochemical analysis.
Sample: Paraffin-embedded mouse hippocampus.
C9orf72 stained by C9orf72 antibody [GT1553] (GTX634482) diluted at 1:100.
Antigen Retrieval: Citrate buffer, pH 6.0, 15 min

7 / 13
Anti-C9orf72 antibody [GT1553] used in Immunocytochemistry/ Immunofluorescence (ICC/IF). GTX634482
GTX634482 ICC/IF Image

C9orf72 antibody [GT1553] detects C9orf72 protein at cytoplasmic granule by immunofluorescent analysis.
Sample: DIV9 rat E18 primary hippocampal neuron cells were fixed in 4% paraformaldehyde at RT for 15 min.
Green: C9orf72 stained by C9orf72 antibody [GT1553] (GTX634482) diluted at 1:250.
Red: Tau, an Axon marker, stained by Tau antibody (GTX130462) diluted at 1:500.
Blue: Fluoroshield with DAPI (GTX30920).

8 / 13
Anti-C9orf72 antibody [GT1553] used in Western Blot (WB). GTX634482
GTX634482 WB Image

The data was published in the journal Acta Neuropathol Commun in 2019. PMID: 31651360

9 / 13
Anti-C9orf72 antibody [GT1553] used in Western Blot (WB). GTX634482
GTX634482 WB Image

The data was published in the journal Acta Neuropathol Commun in 2019. PMID: 31651360

10 / 13
Anti-C9orf72 antibody [GT1553] used in Western Blot (WB). GTX634482
GTX634482 WB Image

The data was published in the journal Acta Neuropathol Commun in 2019. PMID: 31651360

11 / 13
Anti-C9orf72 antibody [GT1553] used in Western Blot (WB). GTX634482
GTX634482 WB Image

The data was published in the journal Acta Neuropathol Commun in 2019. PMID: 31651360

12 / 13
Anti-C9orf72 antibody [GT1553] used in IHC (Paraffin sections) (IHC-P). GTX634482
GTX634482 IHC-P Image

The data was published in the journal Acta Neuropathol Commun in 2019. PMID: 31651360

13 / 13
Anti-C9orf72 antibody [GT1553] used in Western Blot (WB). GTX634482
Anti-C9orf72 antibody [GT1553] used in Western Blot (WB). GTX634482
Anti-C9orf72 antibody [GT1553] used in Western Blot (WB). GTX634482
Anti-C9orf72 antibody [GT1553] used in Western Blot (WB). GTX634482
Anti-C9orf72 antibody [GT1553] used in IHC (Paraffin sections) (IHC-P). GTX634482
Anti-C9orf72 antibody [GT1553] used in IHC (Paraffin sections) (IHC-P). GTX634482
Anti-C9orf72 antibody [GT1553] used in IHC (Paraffin sections) (IHC-P). GTX634482
Anti-C9orf72 antibody [GT1553] used in Immunocytochemistry/ Immunofluorescence (ICC/IF). GTX634482
Anti-C9orf72 antibody [GT1553] used in Western Blot (WB). GTX634482
Anti-C9orf72 antibody [GT1553] used in Western Blot (WB). GTX634482
Anti-C9orf72 antibody [GT1553] used in Western Blot (WB). GTX634482
Anti-C9orf72 antibody [GT1553] used in Western Blot (WB). GTX634482
Anti-C9orf72 antibody [GT1553] used in IHC (Paraffin sections) (IHC-P). GTX634482
  • 宿主
    Mouse
  • 克隆
    Monoclonal
  • 克隆编号
    GT1553
  • 同种型
    IgG2a
  • 实验应用
    WB ICC/IF IHC-P
  • 种属反应
    Human, Mouse, Rat
摘要
C9orf72 antibody detects the C9orf72 protein, which is 481 amino acids in length and has a predicted molecular weight of 54 kDa. The accumulation of abnormal nucleotide repeats in the C9orf72 gene is the most common genetic cause of amyotrophic lateral sclerosis (ALS) and frontotemporal dementia (FTD), accounting for approximately 34.2% and 25.9% of cases according to van Blitterswijk et al. (PMID: 23160421).
查看所有 C9orf72 的产品