CA19-9抗体 [GT933]

目录号 GTX635389
目录号  GTX635389
Anti-CA19-9 antibody [GT933] used in Glycan Array (Glycan Array). GTX635389
GTX635389 Glycan Array Image

CA19-9 antibody [GT933] specifically detects sialyl-LewisA (Neu5Ac-; CA19-9) on a glycan array.
Green: sialyl-LewisA (Neu5Ac-; CA19-9).
Red: Modified sialyl-LewisA (Neu5Gc-).
Yellow: Positive control.
Blue: Negative control.

*The competitor is not affiliated with GeneTex and does not endorse this product.

1 / 11
Anti-CA19-9 antibody [GT933] used in ELISA (ELISA). GTX635389
GTX635389 ELISA Image

Competition analysis of CA 19-9 antibody [GT933] (GTX635389) (330 ng/mL) binding to immobilized recombinant HSA-CA 19-9 (coated at 3 μg/mL) in the presence of soluble LewisA or LewisX tetrasaccharides (1.0-0.01 mM). Bound antibody was detected by Goat Anti-Mouse IgG antibody (HRP) (GTX213111-01) (1:10000).

2 / 11
Anti-CA19-9 antibody [GT933] used in Western Blot (WB). GTX635389
GTX635389 WB Image

Various whole cell extracts (30 μg) were separated by 7.5% SDS-PAGE, and the membranes were blotted with CA19-9 antibody [GTX933] (GTX635389) diluted at 1:1000 and competitor's antibody (MA5-12421) diluted at 1:250. The HRP-conjugated anti-mouse IgG antibody (GTX213111-01) was used to detect the primary antibody.

*The competitor is not affiliated with GeneTex and does not endorse this product.

3 / 11
Anti-CA19-9 antibody [GT933] used in Western Blot (WB). GTX635389
GTX635389 WB Image

Various whole cell extracts (30 μg) were separated by 7.5% SDS-PAGE, and the membrane was blotted with CA19-9 antibody [GTX933] (GTX635389) diluted at 1:1000. The HRP-conjugated anti-mouse IgG antibody (GTX213111-01) was used to detect the primary antibody.

4 / 11
Anti-CA19-9 antibody [GT933] used in ELISA (ELISA). GTX635389
GTX635389 ELISA Image

Sandwich ELISA detection of Colo 205 and Jurkat whole cell extracts using CA19-9 antibody [GTX933] (GTX635389) as capture antibody at concentration of 5 μg/mL and HRP-conjugated Ca19-9 antibody [GT8510] (GTX635391) as detection antibody at concentration of 1 μg/mL.
Please notice that GTX635391 needs to be conjugated to HRP to function as the detection antibody when paired with GTX635389. Please contact us for custom HRP-conjugated antibody.

5 / 11
Anti-CA19-9 antibody [GT933] used in ELISA (ELISA). GTX635389
GTX635389 ELISA Image

Sandwich ELISA detection of Colo 205 and Jurkat whole cell extracts using CA19-9 antibody [GT8510] (GTX635391) as capture antibody at concentration of 5 μg/mL and HRP-conjugated CA19-9 antibody [GT933] (GTX635389) as detection antibody at concentration of 1 μg/mL.
Please notice that GTX635389 needs to be conjugated to HRP to function as the detection antibody when paired with GTX635391. Please contact us for custom HRP-conjugated antibody.

6 / 11
Anti-CA19-9 antibody [GT933] used in Immunocytochemistry/ Immunofluorescence (ICC/IF). GTX635389
GTX635389 ICC/IF Image

CA19-9 antibody [GT933] detects CA19-9 protein at cell membrane by immunofluorescent analysis.
Sample: SW1116 (high expression) and HT29 (low expression) cells were fixed in 4% paraformaldehyde at RT for 15 min.
Green: CA19-9 stained by CA19-9 antibody [GT933] (GTX635389) diluted at 1:1000 and competitor's antibody (MA5-12421 and M66107M) diluted at 1:1000.
Blue: Fluoroshield with DAPI (GTX30920).

*Competitor's antibody is not affiliated with GeneTex and does not endorse this product.

7 / 11
Anti-CA19-9 antibody [GT933] used in Flow cytometry (FCM). GTX635389
GTX635389 FCM Image

CA19-9 antibody [GT933] (GTX635389) detects CA19-9 by flow cytometry analysis.
Sample: COLO 205 cell.
Black: Unlabelled sample was used as a control.
Red: CA19-9 antibody [GT933] (GTX635389) dilution: 1:50.
Blue: Highly cited antibody [116-NS-19-9] dilution: 1:50.
Acquisition of 20,000 events were collected for FACS analysis.

8 / 11
Anti-CA19-9 antibody [GT933] used in IHC (Paraffin sections) (IHC-P). GTX635389
GTX635389 IHC-P Image

CA19-9 antibody [GT933] detects CA19-9 by immunohistochemical analysis.
Sample: Paraffin-embedded human pancreatic ductal adenocarcinoma.
CA19-9 stained by CA19-9 antibody [GT933] (GTX635389) diluted at 1:500 and competitor's antibody diluted at 1:250 (Company A) and 1:500 (Company B).
Antigen Retrieval: Citrate buffer, pH 6.0, 15 min

*Competitor's antibody is not affiliated with GeneTex and does not endorse this product.

*The competitor is not affiliated with GeneTex and does not endorse this product.

9 / 11
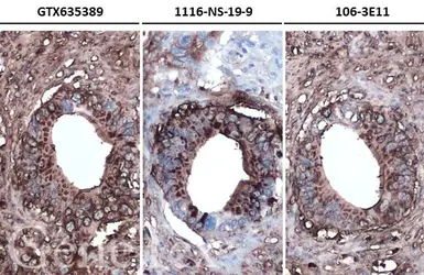
Anti-CA19-9 antibody [GT933] used in IHC (Paraffin sections) (IHC-P). GTX635389
GTX635389 IHC-P Image

CA19-9 antibody [GT933] detects CA19-9 by immunohistochemical analysis.
Sample: Paraffin-embedded human pancreatic ductal adenocarcinoma.
CA19-9 stained by CA19-9 antibody [GT933] (GTX635389) diluted at 1:500 and competitor's antibody diluted at 1:250 (Company A) and 1:500 (Company B).
Antigen Retrieval: Citrate buffer, pH 6.0, 15 min

*Competitor's antibody is not affiliated with GeneTex and does not endorse this product.

*The competitor is not affiliated with GeneTex and does not endorse this product.

10 / 11
Anti-CA19-9 antibody [GT933] used in IHC (Paraffin sections) (IHC-P). GTX635389
GTX635389 IHC-P Image

CA19-9 antibody [GT933] detects CA19-9 by immunohistochemical analysis.
Sample: Paraffin-embedded human pancreatic ductal adenocarcinoma.
CA19-9 stained by CA19-9 antibody [GT933] (GTX635389) diluted at 1:500 and competitor's antibody (Company A) diluted at 1:250.
Antigen Retrieval: Citrate buffer, pH 6.0, 15 min

*Competitor's antibody is not affiliated with GeneTex and does not endorse this product.

*The competitor is not affiliated with GeneTex and does not endorse this product.

11 / 11
Anti-CA19-9 antibody [GT933] used in Glycan Array (Glycan Array). GTX635389
Anti-CA19-9 antibody [GT933] used in ELISA (ELISA). GTX635389
Anti-CA19-9 antibody [GT933] used in Western Blot (WB). GTX635389
Anti-CA19-9 antibody [GT933] used in Western Blot (WB). GTX635389
Anti-CA19-9 antibody [GT933] used in ELISA (ELISA). GTX635389
Anti-CA19-9 antibody [GT933] used in ELISA (ELISA). GTX635389
Anti-CA19-9 antibody [GT933] used in Immunocytochemistry/ Immunofluorescence (ICC/IF). GTX635389
Anti-CA19-9 antibody [GT933] used in Flow cytometry (FCM). GTX635389
Anti-CA19-9 antibody [GT933] used in IHC (Paraffin sections) (IHC-P). GTX635389
Anti-CA19-9 antibody [GT933] used in IHC (Paraffin sections) (IHC-P). GTX635389
Anti-CA19-9 antibody [GT933] used in IHC (Paraffin sections) (IHC-P). GTX635389
  • 宿主
    Mouse
  • 克隆
    Monoclonal
  • 克隆编号
    GT933
  • 同种型
    IgG1
  • 实验应用
    WB ICC/IF IHC-P FCM ELISA Sandwich ELISA Glycan Array
  • 种属反应
    Species independent
摘要
Carbohydrate antigen 19-9 (CA 19-9), also known as sialyl-LewisA, is a tetrasaccharide with the sequence Neu5Acα2-3Galβ1-3[Fucα1-4]GlcNAcβ. It is used clinically to assist in the diagnosis of pancreatic cancer, but is more widely utilized to monitor therapy and detect recurrences in diagnosed cases. CA 19-9 is also elevated in many other diseases, including cholangiocarcinoma, colorectal cancer, hepatocellular carcinoma, and cirrhosis. GeneTex’s CA 19-9 mouse monoclonal antibody [GT933] demonstrates superior sensitivity for western blot, immunohistochemistry, and immunocytochemistry in comparative testing against other well-known CA 19-9 antibodies. Most significantly, glycan array interrogation using this antibody establishes that it is specific for sialyl-LewisA.
查看所有 CA19-9 的产品