CBP抗体 [C3], C-term

目录号 GTX101249
目录号  GTX101249
Anti-CBP antibody [C3], C-term used in Immunoprecipitation (IP). GTX101249
GTX101249 IP Image

CBP antibody immunoprecipitates CBP protein in IP experiments. IP Sample: 1000 μg HeLa whole cell lysate/extract A. 40 μg HeLa whole cell lysate/extract B. Control with 2.5 μg of preimmune rabbit IgG C. Immunoprecipitation of CBP protein by 2.5 μg of CBP antibody (GTX101249) 12% SDS-PAGE The immunoprecipitated CBP protein was detected by CBP antibody (GTX101249) diluted at 1:1000. EasyBlot anti-rabbit IgG (GTX221666-01) was used as a secondary reagent.

1 / 13
Anti-CBP antibody [C3], C-term used in Western Blot (WB). GTX101249
GTX101249 WB Image

Wild-type (WT) and CBP knockout (KO) HeLa cell extracts (30 μg) were separated by 5% SDS-PAGE, and the membrane was blotted with CBP antibody [C3], C-term (GTX101249) diluted at 1:500. The HRP-conjugated anti-rabbit IgG antibody (GTX213110-01) was used to detect the primary antibody.

2 / 13
Anti-CBP antibody [C3], C-term used in Western Blot (WB). GTX101249
GTX101249 WB Image

Whole cell extract (30 μg) was separated by 5% SDS-PAGE, and the membrane was blotted with CBP antibody [C3], C-term (GTX101249) diluted at 1:1000. The HRP-conjugated anti-rabbit IgG antibody (GTX213110-01) was used to detect the primary antibody.

3 / 13
Anti-CBP antibody [C3], C-term used in Western Blot (WB). GTX101249
GTX101249 WB Image

Various whole cell extracts (30 μg) were separated by 5% SDS-PAGE, and the membrane was blotted with CBP antibody [C3], C-term (GTX101249) diluted at 1:1000. The HRP-conjugated anti-rabbit IgG antibody (GTX213110-01) was used to detect the primary antibody.

4 / 13
Anti-CBP antibody [C3], C-term used in Western Blot (WB). GTX101249
GTX101249 WB Image

Various whole cell extracts (30 μg) were separated by 5% SDS-PAGE, and the membrane was blotted with CBP antibody [C3], C-term (GTX101249) diluted at 1:1000. The HRP-conjugated anti-rabbit IgG antibody (GTX213110-01) was used to detect the primary antibody.

5 / 13
Anti-CBP antibody [C3], C-term used in ChIP assay (ChIP assay). GTX101249
GTX101249 ChIP assay Image

CREBBP antibody immunoprecipitates CREBBP protein-DNA complex in ChIP experiments. ChIP Sample: HeLa whole cell lysate/extract A. 5 μg preimmune rabbit IgG B. 5 μg of CREBBP antibody (GTX101249) The precipitated DNA was detected by PCR with primer set targeting to snail promoter.

6 / 13
Anti-CBP antibody [C3], C-term used in IHC (Paraffin sections) (IHC-P). GTX101249
GTX101249 IHC-P Image

CBP antibody [C3], C-term detects CBP protein at nucleus on mouse skin by immunohistochemical analysis.
Sample: Paraffin-embedded mouse skin.
CBP antibody [C3], C-term (GTX101249) dilution: 1:750.

Antigen Retrieval: Trilogy™ (EDTA based, pH 8.0) buffer, 15min

7 / 13
Anti-CBP antibody [C3], C-term used in Immunocytochemistry/ Immunofluorescence (ICC/IF). GTX101249
GTX101249 ICC/IF Image

CBP antibody [C3], C-term detects CBP protein at cytoplasm and nucleus by immunofluorescent analysis.
Sample: HeLa cells were fixed in 4% paraformaldehyde at RT for 15 min.
Green: CBP protein stained by CBP antibody [C3], C-term (GTX101249) diluted at 1:1000.
Red: Phalloidin, a cytoskeleton marker, diluted at 1:100.
Scale bar = 10 μm.

8 / 13
Anti-CBP antibody [C3], C-term used in IHC (Paraffin sections) (IHC-P). GTX101249
GTX101249 IHC-P Image

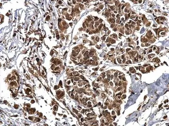
CBP antibody [C3], C-term detects CBP protein at nucleus on human cervical carcinoma by immunohistochemical analysis.
Sample: Paraffin-embedded human cervical carcinoma.
CBP antibody [C3], C-term (GTX101249) dilution: 1:750.

Antigen Retrieval: Trilogy™ (EDTA based, pH 8.0) buffer, 15min

9 / 13
Anti-CBP antibody [C3], C-term used in IHC (Paraffin sections) (IHC-P). GTX101249
GTX101249 IHC-P Image

CBP antibody [C3], C-term detects CBP protein at nucleus on mouse muscle by immunohistochemical analysis.
Sample: Paraffin-embedded mouse muscle.
CBP antibody [C3], C-term (GTX101249) dilution: 1:750.

Antigen Retrieval: Trilogy™ (EDTA based, pH 8.0) buffer, 15min

10 / 13
Anti-CBP antibody [C3], C-term used in IHC (Paraffin sections) (IHC-P). GTX101249
GTX101249 IHC-P Image

CBP antibody [C3], C-term detects CBP protein at nucleus by immunohistochemical analysis.
Sample: Paraffin-embedded mouse intestine.
CBP stained by CBP antibody [C3], C-term (GTX101249) diluted at 1:500.
Antigen Retrieval: Citrate buffer, pH 6

11 / 13
Anti-CBP antibody [C3], C-term used in IHC (Paraffin sections) (IHC-P). GTX101249
GTX101249 IHC-P Image

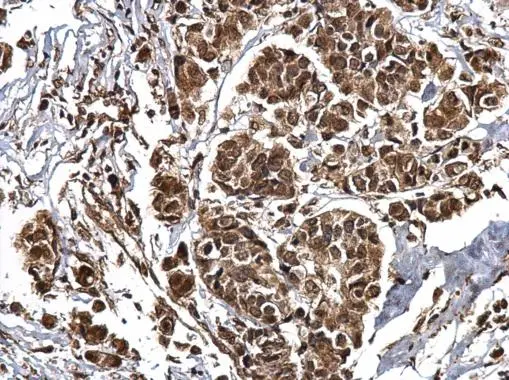
CBP antibody [C3], C-term detects CBP protein at nucleus on human breast carcinoma by immunohistochemical analysis.
Sample: Paraffin-embedded human breast carcinoma.
CBP antibody [C3], C-term (GTX101249) dilution: 1:750.

Antigen Retrieval: Trilogy™ (EDTA based, pH 8.0) buffer, 15min

12 / 13
Anti-CBP antibody [C3], C-term used in IHC (Paraffin sections) (IHC-P). GTX101249
GTX101249 IHC-P Image

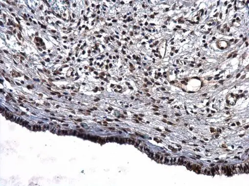
CBP antibody [C3], C-term detects CBP protein at nucleus on mouse fore brain by immunohistochemical analysis.
Sample: Paraffin-embedded mouse fore brain.
CBP antibody [C3], C-term (GTX101249) dilution: 1:750.

Antigen Retrieval: Trilogy™ (EDTA based, pH 8.0) buffer, 15min

13 / 13
Anti-CBP antibody [C3], C-term used in Immunoprecipitation (IP). GTX101249
Anti-CBP antibody [C3], C-term used in Western Blot (WB). GTX101249
Anti-CBP antibody [C3], C-term used in Western Blot (WB). GTX101249
Anti-CBP antibody [C3], C-term used in Western Blot (WB). GTX101249
Anti-CBP antibody [C3], C-term used in Western Blot (WB). GTX101249
Anti-CBP antibody [C3], C-term used in ChIP assay (ChIP assay). GTX101249
Anti-CBP antibody [C3], C-term used in IHC (Paraffin sections) (IHC-P). GTX101249
Anti-CBP antibody [C3], C-term used in Immunocytochemistry/ Immunofluorescence (ICC/IF). GTX101249
Anti-CBP antibody [C3], C-term used in IHC (Paraffin sections) (IHC-P). GTX101249
Anti-CBP antibody [C3], C-term used in IHC (Paraffin sections) (IHC-P). GTX101249
Anti-CBP antibody [C3], C-term used in IHC (Paraffin sections) (IHC-P). GTX101249
Anti-CBP antibody [C3], C-term used in IHC (Paraffin sections) (IHC-P). GTX101249
Anti-CBP antibody [C3], C-term used in IHC (Paraffin sections) (IHC-P). GTX101249
  • 宿主
    Rabbit
  • 克隆
    Polyclonal
  • 同种型
    IgG
  • 实验应用
    WB ICC/IF IHC-P IP ChIP assay
  • 种属反应
    Human, Mouse, Monkey
查看所有 CBP 的产品