CD105抗体 [N1N3-2]

目录号 GTX112685
目录号  GTX112685
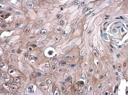
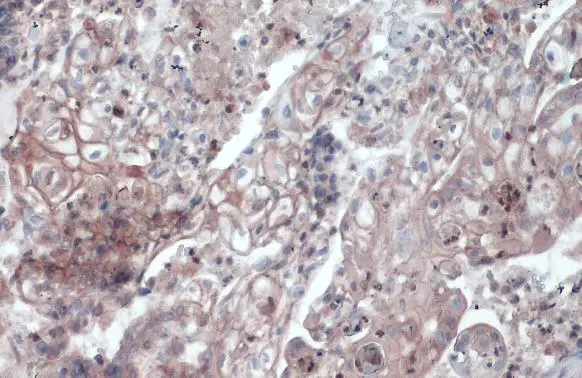
Anti-CD105 antibody [N1N3-2] used in IHC (Paraffin sections) (IHC-P). GTX112685
GTX112685 IHC-P Image

CD105 antibody [N1N3-2] detects CD105 protein at cell membrane by immunohistochemical analysis.
Sample: Paraffin-embedded human ovarian cancer.
CD105 stained by CD105 antibody [N1N3-2] (GTX112685) diluted at 1:1000.
Antigen Retrieval: Citrate buffer, pH 6.0, 15 min

1 / 4
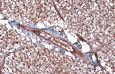
Anti-CD105 antibody [N1N3-2] used in IHC (Paraffin sections) (IHC-P). GTX112685
GTX112685 IHC-P Image

CD105 antibody [N1N3-2] detects CD105 protein at cell membrane and cytoplasm by immunohistochemical analysis.
Sample: Paraffin-embedded mouse brown adipocyte.
CD105 stained by CD105 antibody [N1N3-2] (GTX112685) diluted at 1:500.
Antigen Retrieval: Citrate buffer, pH 6.0, 15 min

2 / 4
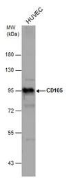
Anti-CD105 antibody [N1N3-2] used in Western Blot (WB). GTX112685
GTX112685 WB Image

Whole cell extract (30 μg) was separated by 7.5% SDS-PAGE, and the membrane was blotted with CD105 antibody [N1N3-2] (GTX112685) diluted at 1:1000.

3 / 4
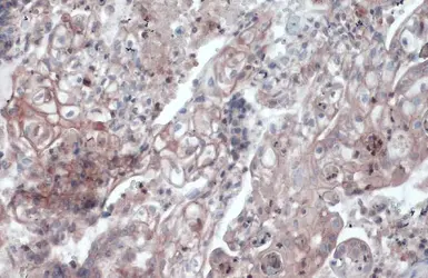
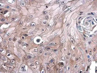
Anti-CD105 antibody [N1N3-2] used in IHC (Paraffin sections) (IHC-P). GTX112685
GTX112685 IHC-P Image

CD105 antibody [N1N3-2] detects CD105 protein at cell membrane and cytoplasm by immunohistochemical analysis.
Sample: Paraffin-embedded human esophageal carcinoma.
CD105 stained by CD105 antibody [N1N3-2] (GTX112685) diluted at 1:500.
Antigen Retrieval: Citrate buffer, pH 6.0, 15 min

4 / 4
Anti-CD105 antibody [N1N3-2] used in IHC (Paraffin sections) (IHC-P). GTX112685
Anti-CD105 antibody [N1N3-2] used in IHC (Paraffin sections) (IHC-P). GTX112685
Anti-CD105 antibody [N1N3-2] used in Western Blot (WB). GTX112685
Anti-CD105 antibody [N1N3-2] used in IHC (Paraffin sections) (IHC-P). GTX112685
  • 宿主
    Rabbit
  • 克隆
    Polyclonal
  • 同种型
    IgG
  • 实验应用
    WB IHC-P
  • 种属反应
    Human, Mouse
查看所有 CD105 的产品