CD11b抗体

目录号 GTX134493
目录号  GTX134493
Anti-CD11b antibody used in Western Blot (WB). GTX134493
GTX134493 WB Image

Various tissue extracts (50 μg) were separated by 5% SDS-PAGE, and the membrane was blotted with CD11b antibody (GTX134493) diluted at 1:1000. The HRP-conjugated anti-rabbit IgG antibody (GTX213110-01) was used to detect the primary antibody.

1 / 6
Anti-CD11b antibody used in IHC (Paraffin sections) (IHC-P). GTX134493
GTX134493 IHC-P Image

CD11b antibody detects CD11b protein at cytoplasm by immunohistochemical analysis.
Sample: Paraffin-embedded rat brain.
CD11b stained by CD11b antibody (GTX134493) diluted at 1:200.
Antigen Retrieval: Citrate buffer, pH 6.0, 15 min

2 / 6
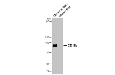
Anti-CD11b antibody used in Western Blot (WB). GTX134493
GTX134493 WB Image

Mouse tissue extract (50 μg) was separated by 5% SDS-PAGE, and the membrane was blotted with CD11b antibody (GTX134493) diluted at 1:500. The HRP-conjugated anti-rabbit IgG antibody (GTX213110-01) was used to detect the primary antibody.

3 / 6
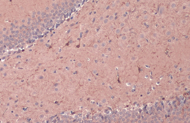
Anti-CD11b antibody used in IHC (Paraffin sections) (IHC-P). GTX134493
GTX134493 IHC-P Image

CD11b antibody detects CD11b protein at cytoplasm by immunohistochemical analysis.
Sample: Paraffin-embedded mouse brain.
CD11b stained by CD11b antibody (GTX134493) diluted at 1:200.
Antigen Retrieval: Citrate buffer, pH 6.0, 15 min

4 / 6
Anti-CD11b antibody used in IHC (Paraffin sections) (IHC-P). GTX134493
GTX134493 IHC-P Image

CD11b antibody detects CD11b protein at cytoplasm by immunohistochemical analysis.
Sample: Paraffin-embedded mouse brain.
CD11b stained by CD11b antibody (GTX134493) diluted at 1:200.
Antigen Retrieval: Citrate buffer, pH 6.0, 15 min

5 / 6
Anti-CD11b antibody used in IHC (Paraffin sections) (IHC-P). GTX134493
GTX134493 IHC-P Image

CD11b antibody detects CD11b protein at cytoplasm by immunohistochemical analysis.
Sample: Paraffin-embedded rat brain.
CD11b stained by CD11b antibody (GTX134493) diluted at 1:200.
Antigen Retrieval: Citrate buffer, pH 6.0, 15 min

6 / 6
Anti-CD11b antibody used in Western Blot (WB). GTX134493
Anti-CD11b antibody used in IHC (Paraffin sections) (IHC-P). GTX134493
Anti-CD11b antibody used in Western Blot (WB). GTX134493
Anti-CD11b antibody used in IHC (Paraffin sections) (IHC-P). GTX134493
Anti-CD11b antibody used in IHC (Paraffin sections) (IHC-P). GTX134493
Anti-CD11b antibody used in IHC (Paraffin sections) (IHC-P). GTX134493
  • 宿主
    Rabbit
  • 克隆
    Polyclonal
  • 同种型
    IgG
  • 实验应用
    WB IHC-P
  • 种属反应
    Mouse, Rat
查看所有 CD11b 的产品