CD133抗体 [C1C2], Internal

目录号 GTX100567
目录号  GTX100567
Anti-CD133 antibody [C1C2], Internal used in IHC (Paraffin sections) (IHC-P). GTX100567
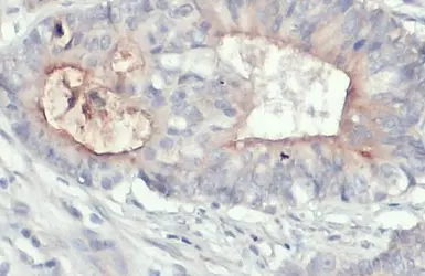
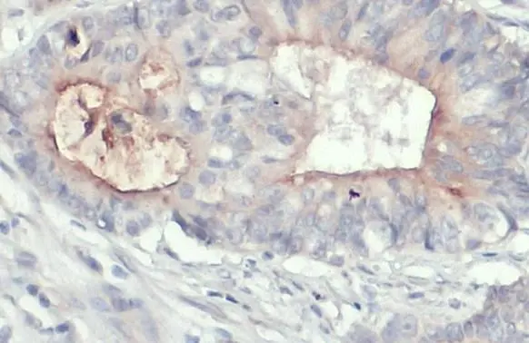
GTX100567 IHC-P Image

CD133 antibody [C1C2], Internal detects CD133 protein at cell membrane by immunohistochemical analysis.
Sample: Paraffin-embedded human colon cancer.
CD133 stained by CD133 antibody [C1C2], Internal (GTX100567) diluted at 1:500.
Antigen Retrieval: Citrate buffer, pH 6.0, 15 min

1 / 5
Anti-CD133 antibody [C1C2], Internal used in IHC (Paraffin sections) (IHC-P). GTX100567
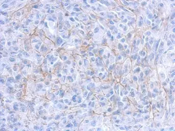
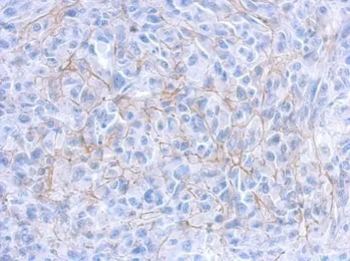
GTX100567 IHC-P Image

Immunohistochemical analysis of paraffin-embedded SkHep1 xenograft, using CD133(GTX100567) antibody at 1:500 dilution.
Antigen Retrieval: Trilogy™ (EDTA based, pH 8.0) buffer, 15min

2 / 5
Anti-CD133 antibody [C1C2], Internal used in Western Blot (WB). GTX100567
GTX100567 WB Image

CD133 antibody [C1C2], Internal detects CD133 protein by western blot analysis.
A. 30 μg 293T whole cell extract
B. 30 μg whole cell extract of 3xFlag-human CD133-transfected 293T cells
7.5 % SDS-PAGE
CD133 antibody [C1C2], Internal (GTX100567) dilution: 1:5000

3 / 5
Anti-CD133 antibody [C1C2], Internal used in Western Blot (WB). GTX100567
GTX100567 WB Image

Various whole cell extracts (30 μg) were separated by 5% SDS-PAGE, and the membrane was blotted with CD133 antibody [C1C2], Internal (GTX100567) diluted at 1:500. The HRP-conjugated anti-rabbit IgG antibody (GTX213110-01) was used to detect the primary antibody.

4 / 5
Anti-CD133 antibody [C1C2], Internal used in Western Blot (WB). GTX100567
GTX100567 WB Image

The data was published in the 2021 in Cancer Drug Resist. PMID: 35582384

5 / 5
Anti-CD133 antibody [C1C2], Internal used in IHC (Paraffin sections) (IHC-P). GTX100567
Anti-CD133 antibody [C1C2], Internal used in IHC (Paraffin sections) (IHC-P). GTX100567
Anti-CD133 antibody [C1C2], Internal used in Western Blot (WB). GTX100567
Anti-CD133 antibody [C1C2], Internal used in Western Blot (WB). GTX100567
Anti-CD133 antibody [C1C2], Internal used in Western Blot (WB). GTX100567
  • 宿主
    Rabbit
  • 克隆
    Polyclonal
  • 同种型
    IgG
  • 实验应用
    WB ICC/IF IHC-P FCM
  • 种属反应
    Human
查看所有 CD133 的产品