CD30抗体 [JCM182]

目录号 GTX01872
目录号  GTX01872
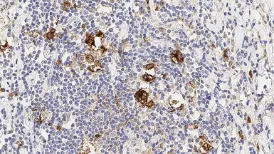
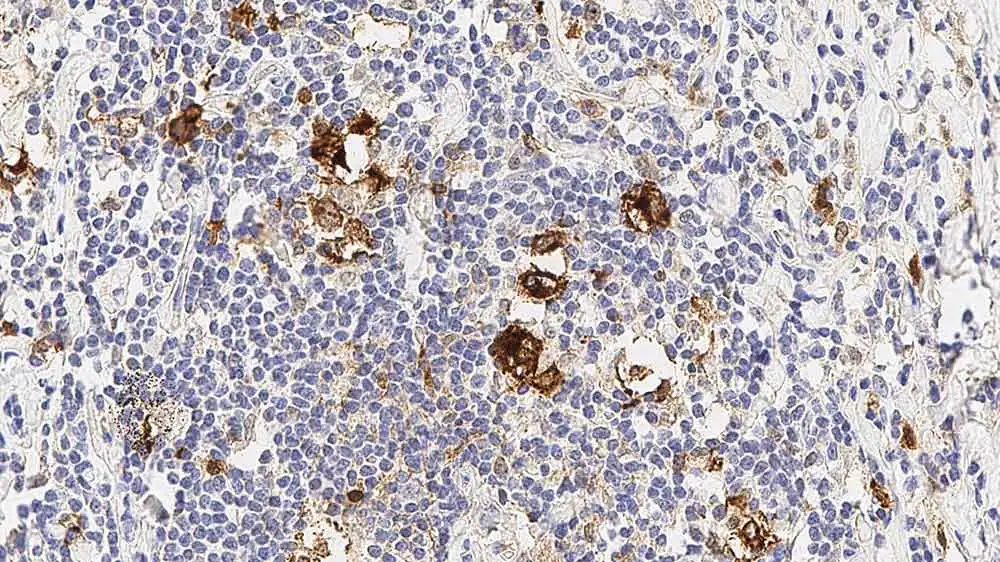
Anti-CD30 antibody [JCM182] used in IHC (Paraffin sections) (IHC-P). GTX01872
GTX01872 IHC-P Image

IHC-P analysis of human lymph node, nodular sclerosing hodgkin's disease tissue using GTX01872 CD30 antibody [JCM182]. Note membrane and cytoplasmic staining of the neoplastic cells, CD30: clone JCM182

1 / 1
Anti-CD30 antibody [JCM182] used in IHC (Paraffin sections) (IHC-P). GTX01872
  • 宿主
    Mouse
  • 克隆
    Monoclonal
  • 克隆编号
    JCM182
  • 同种型
    IgG1
  • 实验应用
    IHC-P
  • 种属反应
    Human
查看所有 CD30 的产品