CD44抗体 [GT462]

目录号 GTX628895
目录号  GTX628895
Anti-CD44 antibody [GT462] used in Western Blot (WB). GTX628895
GTX628895 WB Image

Wild-type (WT) and CD44 knockout (KO) HeLa cell extracts (30 μg) were separated by 7.5% SDS-PAGE, and the membrane was blotted with CD44 antibody [GT462] (GTX628895) diluted at 1:500.

1 / 7
Anti-CD44 antibody [GT462] used in Western Blot (WB). GTX628895
GTX628895 WB Image

Various whole cell extracts (30 μg) were separated by 7.5% SDS-PAGE, and the membrane was blotted with CD44 antibody [GT462] (GTX628895) diluted at 1:1000.

2 / 7
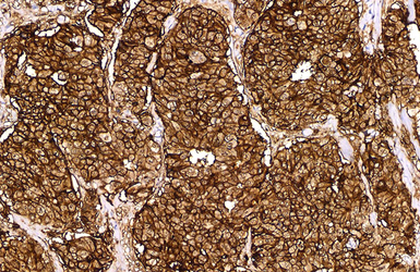
Anti-CD44 antibody [GT462] used in IHC (Paraffin sections) (IHC-P). GTX628895
GTX628895 IHC-P Image

CD44 antibody [GT462] detects CD44 protein at membrane on Cal27 xenograft by immunohistochemical analysis.
Sample: Paraffin-embedded Cal27 xenograft.
CD44 antibody [GT462] (GTX628895) dilution: 1:200.

Antigen Retrieval: Trilogy™ (EDTA based, pH 8.0) buffer, 15min

3 / 7
Anti-CD44 antibody [GT462] used in Flow cytometry (FCM). GTX628895
GTX628895 FCM Image

CD44 antibody detects CD44 protein by flow cytometry analysis.
Sample: HL-60 cell fixed in 4% paraformaldehyde at 4oC for 5 min.
Black: Isotype control dilution: 1:100.
Green: CD44 antibody (GTX628895) dilution: 1:100.

4 / 7
Anti-CD44 antibody [GT462] used in Western Blot (WB). GTX628895
GTX628895 WB Image

Untreated (–) and treated (+) MDA-MB-231 whole cell extracts (30 μg) were separated by 7.5% SDS-PAGE, and the membrane was blotted with CD44 antibody [GT462] (GTX628895) diluted at 1:1000. The HRP-conjugated anti-rabbit IgG antibody (GTX213110-01) was used to detect the primary antibody.

5 / 7
Anti-CD44 antibody [GT462] used in Western Blot (WB). GTX628895
GTX628895 WB Image

Untreated (–) and treated (+) HeLa whole cell extracts (30 μg) were separated by 7.5% SDS-PAGE, and the membrane was blotted with CD44 antibody [GT462] (GTX628895) diluted at 1:1000. The HRP-conjugated anti-mouse IgG antibody (GTX213111-01) was used to detect the primary antibody.

6 / 7
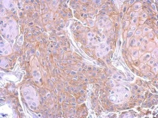
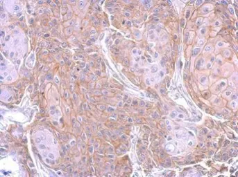
Anti-CD44 antibody [GT462] used in IHC (Paraffin sections) (IHC-P). GTX628895
GTX628895 IHC-P Image

CD44 antibody [GT462] detects CD44 protein at cell membrane by immunohistochemical analysis (Autostainer Formulated).
Sample: Paraffin-embedded human breast cancer.
CD44 stained by CD44 antibody [GT462] (GTX628895) diluted at 1:200.
Antigen Retrieval: EDTA buffer, 20 min

7 / 7
Anti-CD44 antibody [GT462] used in Western Blot (WB). GTX628895
Anti-CD44 antibody [GT462] used in Western Blot (WB). GTX628895
Anti-CD44 antibody [GT462] used in IHC (Paraffin sections) (IHC-P). GTX628895
Anti-CD44 antibody [GT462] used in Flow cytometry (FCM). GTX628895
Anti-CD44 antibody [GT462] used in Western Blot (WB). GTX628895
Anti-CD44 antibody [GT462] used in Western Blot (WB). GTX628895
Anti-CD44 antibody [GT462] used in IHC (Paraffin sections) (IHC-P). GTX628895
  • 宿主
    Mouse
  • 克隆
    Monoclonal
  • 克隆编号
    GT462
  • 同种型
    IgG2b
  • 实验应用
    WB ICC/IF IHC-P FCM
  • 种属反应
    Human
查看所有 CD44 的产品