CD73抗体 [N1N3]

目录号 GTX113509
目录号  GTX113509
Anti-CD73 antibody [N1N3] used in IHC (Paraffin sections) (IHC-P). GTX113509
GTX113509 IHC-P Image

CD73 antibody [N1N3] detects CD73 protein at cell membrane by immunohistochemical analysis.
Sample: Paraffin-embedded human lung cancer.
Green: CD73 stained by CD73 antibody [N1N3] (GTX113509) diluted at 1:250.
Red: alpha Tubulin, a cytoskeleton marker, stained by alpha Tubulin antibody [GT114] (GTX628802) diluted at 1:1000.
Blue: Fluoroshield with DAPI (GTX30920).
Antigen Retrieval: Citrate buffer, pH 6.0, 15 min

1 / 6
Anti-CD73 antibody [N1N3] used in Western Blot (WB). GTX113509
GTX113509 WB Image

Sample (30 μg of whole cell lysate)
A: HepG2
B: HCT116
12% SDS PAGE
GTX113509 diluted at 1:1000
The HRP-conjugated anti-rabbit IgG antibody (GTX213110-01) was used to detect the primary antibody.

2 / 6
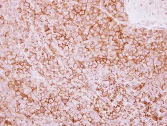
Anti-CD73 antibody [N1N3] used in IHC (Paraffin sections) (IHC-P). GTX113509
GTX113509 IHC-P Image

Immunohistochemical analysis of paraffin-embedded J5 xenograft, using CD73(GTX113509) antibody at 1:250 dilution.
Antigen Retrieval: Trilogy™ (EDTA based, pH 8.0) buffer, 15min

3 / 6
Anti-CD73 antibody [N1N3] used in Western Blot (WB). GTX113509
GTX113509 WB Image

CD73 antibody [N1N3] detects CD73 protein by western blot analysis. Mouse tissue extracts (50 μg) was separated by 12% SDS-PAGE, and the membrane was blotted with CD73 antibody [N1N3] (GTX113509) diluted at 1:1000. The HRP-conjugated anti-rabbit IgG antibody (GTX213110-01) was used to detect the primary antibody.

4 / 6
Anti-CD73 antibody [N1N3] used in Western Blot (WB). GTX113509
GTX113509 WB Image

Various whole cell extracts (30 μg) were separated by 7.5% SDS-PAGE, and the membrane was blotted with CD73 antibody [N1N3] (GTX113509) diluted at 1:1000. The HRP-conjugated anti-rabbit IgG antibody (GTX213110-01) was used to detect the primary antibody.

5 / 6
Anti-CD73 antibody [N1N3] used in Western Blot (WB). GTX113509
GTX113509 WB Image

Various whole cell extracts (30 μg) were separated by 7.5% SDS-PAGE, and the membrane was blotted with CD73 antibody [N1N3] (GTX113509) diluted at 1:1000. The HRP-conjated anti-rabbit IgG antibody (GTX213110-01) was used to detect the primary antibody. Corresponding RNA expression data for the same cell lines are based on Human Protein Atlas program.

6 / 6
Anti-CD73 antibody [N1N3] used in IHC (Paraffin sections) (IHC-P). GTX113509
Anti-CD73 antibody [N1N3] used in Western Blot (WB). GTX113509
Anti-CD73 antibody [N1N3] used in IHC (Paraffin sections) (IHC-P). GTX113509
Anti-CD73 antibody [N1N3] used in Western Blot (WB). GTX113509
Anti-CD73 antibody [N1N3] used in Western Blot (WB). GTX113509
Anti-CD73 antibody [N1N3] used in Western Blot (WB). GTX113509
  • 宿主
    Rabbit
  • 克隆
    Polyclonal
  • 同种型
    IgG
  • 实验应用
    WB ICC/IF IHC-P Neutralizing /Inhibition PLA
  • 种属反应
    Human, Mouse
查看所有 CD73 的产品