CD80抗体 [2B11]

目录号 GTX84701
目录号  GTX84701
Anti-CD80 antibody [2B11] used in IHC (Paraffin sections) (IHC-P). GTX84701
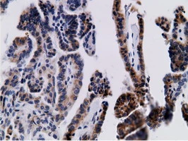
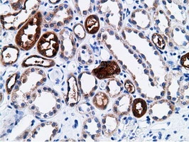
GTX84701 IHC-P Image

IHC-P analysis of human kidney carcinoma tissue using GTX84701 CD80 antibody [2B11].
Antigen retrieval : Heat-induced epitope retrieval by 10mM citrate buffer, pH6.0, 100ºC for 10min.

1 / 14
Anti-CD80 antibody [2B11] used in Western Blot (WB). GTX84701
GTX84701 WB Image

WB analysis of HepG2 cell lysate using GTX84701 CD80 antibody [2B11].
Loading : 10 ug per lane
Dilution : 1:200

2 / 14
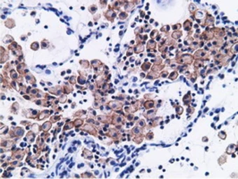
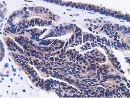
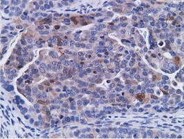
Anti-CD80 antibody [2B11] used in IHC (Paraffin sections) (IHC-P). GTX84701
GTX84701 IHC-P Image

IHC-P analysis of human breast adenocarcinoma tissue using GTX84701 CD80 antibody [2B11].
Antigen retrieval : Heat-induced epitope retrieval by 10mM citrate buffer, pH6.0, 100ºC for 10min.

3 / 14
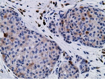
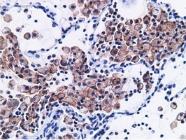
Anti-CD80 antibody [2B11] used in IHC (Paraffin sections) (IHC-P). GTX84701
GTX84701 IHC-P Image

IHC-P analysis of human ovary adenocarcinoma tissue using GTX84701 CD80 antibody [2B11].
Antigen retrieval : Heat-induced epitope retrieval by 10mM citrate buffer, pH6.0, 100ºC for 10min.

4 / 14
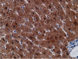
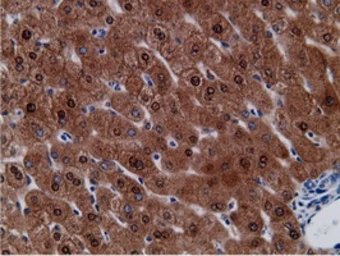
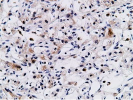
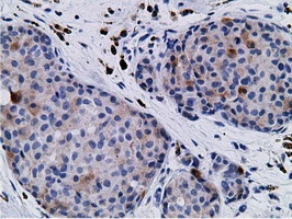
Anti-CD80 antibody [2B11] used in IHC (Paraffin sections) (IHC-P). GTX84701
GTX84701 IHC-P Image

IHC-P analysis of human liver tissue using GTX84701 CD80 antibody [2B11].
Antigen retrieval : Heat-induced epitope retrieval by 10mM citrate buffer, pH6.0, 100ºC for 10min.

5 / 14
Anti-CD80 antibody [2B11] used in Western Blot (WB). GTX84701
GTX84701 WB Image

WB analysis of HEK293T cells transfected with CD80 plasmid (Right) or empty vector (Left) for 48 hrs using GTX84701 CD80 antibody [2B11].
Loading : 5 ug per lane

6 / 14
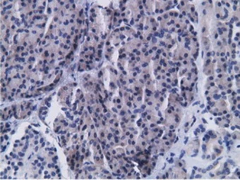
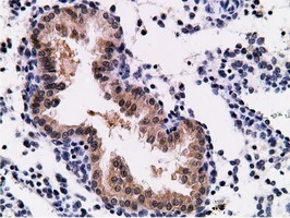
Anti-CD80 antibody [2B11] used in IHC (Paraffin sections) (IHC-P). GTX84701
GTX84701 IHC-P Image

IHC-P analysis of human prostate carcinoma tissue using GTX84701 CD80 antibody [2B11].
Antigen retrieval : Heat-induced epitope retrieval by 10mM citrate buffer, pH6.0, 100ºC for 10min.

7 / 14
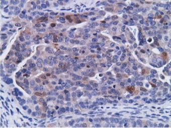
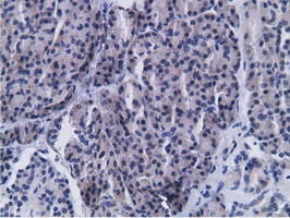
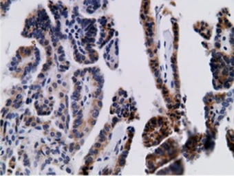
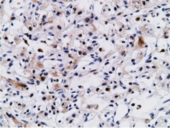
Anti-CD80 antibody [2B11] used in IHC (Paraffin sections) (IHC-P). GTX84701
GTX84701 IHC-P Image

IHC-P analysis of human pancreas tissue using GTX84701 CD80 antibody [2B11].
Antigen retrieval : Heat-induced epitope retrieval by 10mM citrate buffer, pH6.0, 100ºC for 10min.

8 / 14
Anti-CD80 antibody [2B11] used in IHC (Paraffin sections) (IHC-P). GTX84701
GTX84701 IHC-P Image

IHC-P analysis of human lung carcinoma tissue using GTX84701 CD80 antibody [2B11].
Antigen retrieval : Heat-induced epitope retrieval by 10mM citrate buffer, pH6.0, 100ºC for 10min.

9 / 14
Anti-CD80 antibody [2B11] used in Immunocytochemistry/ Immunofluorescence (ICC/IF). GTX84701
GTX84701 ICC/IF Image

ICC/IF analysis of COS7 cells transiently transfected with CD80 plasmid using GTX84701 CD80 antibody [2B11].

10 / 14
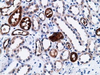
Anti-CD80 antibody [2B11] used in IHC (Paraffin sections) (IHC-P). GTX84701
GTX84701 IHC-P Image

IHC-P analysis of human kidney tissue using GTX84701 CD80 antibody [2B11].
Antigen retrieval : Heat-induced epitope retrieval by 10mM citrate buffer, pH6.0, 100ºC for 10min.

11 / 14
Anti-CD80 antibody [2B11] used in IHC (Paraffin sections) (IHC-P). GTX84701
GTX84701 IHC-P Image

IHC-P analysis of human thyroid carcinoma tissue using GTX84701 CD80 antibody [2B11].
Antigen retrieval : Heat-induced epitope retrieval by 10mM citrate buffer, pH6.0, 100ºC for 10min.

12 / 14
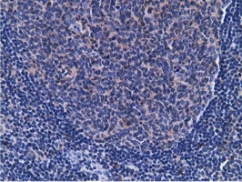
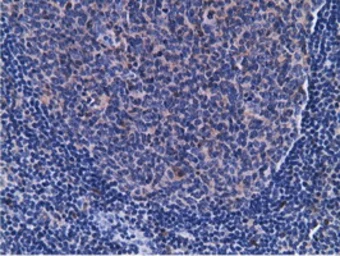
Anti-CD80 antibody [2B11] used in IHC (Paraffin sections) (IHC-P). GTX84701
GTX84701 IHC-P Image

IHC-P analysis of human lymph node tissue using GTX84701 CD80 antibody [2B11].
Antigen retrieval : Heat-induced epitope retrieval by 10mM citrate buffer, pH6.0, 100ºC for 10min.

13 / 14
Anti-CD80 antibody [2B11] used in IHC (Paraffin sections) (IHC-P). GTX84701
GTX84701 IHC-P Image

IHC-P analysis of human endometrium adenocarcinoma tissue using GTX84701 CD80 antibody [2B11].
Antigen retrieval : Heat-induced epitope retrieval by 10mM citrate buffer, pH6.0, 100ºC for 10min.

14 / 14
Anti-CD80 antibody [2B11] used in IHC (Paraffin sections) (IHC-P). GTX84701
Anti-CD80 antibody [2B11] used in Western Blot (WB). GTX84701
Anti-CD80 antibody [2B11] used in IHC (Paraffin sections) (IHC-P). GTX84701
Anti-CD80 antibody [2B11] used in IHC (Paraffin sections) (IHC-P). GTX84701
Anti-CD80 antibody [2B11] used in IHC (Paraffin sections) (IHC-P). GTX84701
Anti-CD80 antibody [2B11] used in Western Blot (WB). GTX84701
Anti-CD80 antibody [2B11] used in IHC (Paraffin sections) (IHC-P). GTX84701
Anti-CD80 antibody [2B11] used in IHC (Paraffin sections) (IHC-P). GTX84701
Anti-CD80 antibody [2B11] used in IHC (Paraffin sections) (IHC-P). GTX84701
Anti-CD80 antibody [2B11] used in Immunocytochemistry/ Immunofluorescence (ICC/IF). GTX84701
Anti-CD80 antibody [2B11] used in IHC (Paraffin sections) (IHC-P). GTX84701
Anti-CD80 antibody [2B11] used in IHC (Paraffin sections) (IHC-P). GTX84701
Anti-CD80 antibody [2B11] used in IHC (Paraffin sections) (IHC-P). GTX84701
Anti-CD80 antibody [2B11] used in IHC (Paraffin sections) (IHC-P). GTX84701
  • 宿主
    Mouse
  • 克隆
    Monoclonal
  • 克隆编号
    2B11
  • 同种型
    IgG2a
  • 实验应用
    WB ICC/IF IHC-P
  • 种属反应
    Human
查看所有 CD80 的产品