CD90抗体

目录号 GTX130072
目录号  GTX130072
Anti-CD90 antibody used in Immunocytochemistry/ Immunofluorescence (ICC/IF). GTX130072
GTX130072 ICC/IF Image

CD90 antibody detects CD90 protein by immunofluorescent analysis.
Sample: DIV9 rat hippocampal neuron cells were fixed in 4% paraformaldehyde at RT for 15 min.
Green: CD90 stained by CD90 antibody (GTX130072) diluted at 1:500.
Blue: Fluoroshield with DAPI (GTX30920).

1 / 5
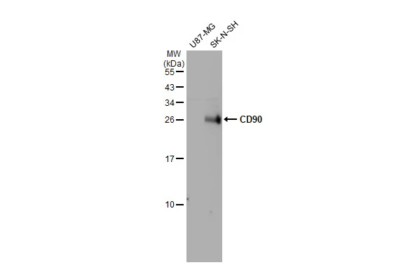
Anti-CD90 antibody used in Western Blot (WB). GTX130072
GTX130072 WB Image

Whole cell extract (30 μg) was separated by 15% SDS-PAGE, and the membrane was blotted with CD90 antibody (GTX130072) diluted at 1:1000.

2 / 5
Anti-CD90 antibody used in IHC (Paraffin sections) (IHC-P). GTX130072
GTX130072 IHC-P Image

CD90 antibody detects CD90 protein at cell membrane by immunohistochemical analysis.
Sample: Paraffin-embedded human tonsil.
Green: CD90 stained by CD90 antibody (GTX130072) diluted at 1:500.
Blue: Fluoroshield with DAPI (GTX30920).
Antigen Retrieval: Citrate buffer, pH 6.0, 15 min

3 / 5
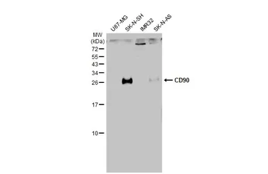
Anti-CD90 antibody used in Western Blot (WB). GTX130072
GTX130072 WB Image

Various whole cell extracts (30 μg) were separated by 15% SDS-PAGE, and the membrane was blotted with CD90 antibody (GTX130072) diluted at 1:500. The HRP-conjugated anti-rabbit IgG antibody (GTX213110-01) was used to detect the primary antibody.

4 / 5
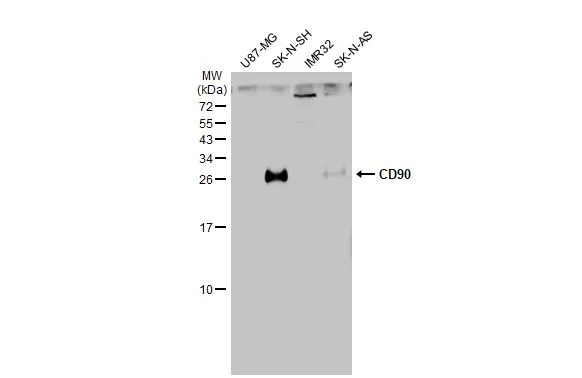
Anti-CD90 antibody used in Western Blot (WB). GTX130072
GTX130072 WB Image

Various whole cell extracts (30 μg) were separated by 15% SDS-PAGE, and the membrane was blotted with CD90 antibody (GTX130072) diluted at 1:1000. The HRP-conjugated anti-rabbit IgG antibody (GTX213110-01) was used to detect the primary antibody.

5 / 5
Anti-CD90 antibody used in Immunocytochemistry/ Immunofluorescence (ICC/IF). GTX130072
Anti-CD90 antibody used in Western Blot (WB). GTX130072
Anti-CD90 antibody used in IHC (Paraffin sections) (IHC-P). GTX130072
Anti-CD90 antibody used in Western Blot (WB). GTX130072
Anti-CD90 antibody used in Western Blot (WB). GTX130072
  • 宿主
    Rabbit
  • 克隆
    Polyclonal
  • 同种型
    IgG
  • 实验应用
    WB ICC/IF IHC-P
  • 种属反应
    Human, Mouse, Rat
查看所有 CD90 的产品