CDK5抗体 [C2C3], C-term

目录号 GTX108328
目录号  GTX108328
Anti-CDK5 antibody [C2C3], C-term used in Immunocytochemistry/ Immunofluorescence (ICC/IF). GTX108328
GTX108328 ICC/IF Image

Immunofluorescence analysis of paraformaldehyde-fixed A549, using CDK5(GTX108328) antibody at 1:200 dilution.

1 / 6
Anti-CDK5 antibody [C2C3], C-term used in Western Blot (WB). GTX108328
GTX108328 WB Image

Sample (50 ug of whole cell lysate)
A: mouse brain
12% SDS PAGE
GTX108328 diluted at 1:1000

2 / 6
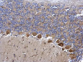
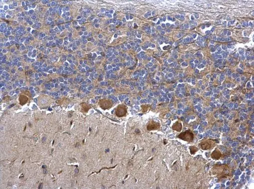
Anti-CDK5 antibody [C2C3], C-term used in IHC (Paraffin sections) (IHC-P). GTX108328
GTX108328 IHC-P Image

CDK5 antibody [C2C3], C-term detects CDK5 protein at cytosol on rat hind brain by immunohistochemical analysis.
Sample: Paraffin-embedded rat hind brain.
CDK5 antibody [C2C3], C-term (GTX108328) dilution: 1:500.

Antigen Retrieval: Trilogy™ (EDTA based, pH 8.0) buffer, 15min

3 / 6
Anti-CDK5 antibody [C2C3], C-term used in Western Blot (WB). GTX108328
GTX108328 WB Image

Wild-type (WT) and CDK5 knockout (KO) 293T cell extracts (30 μg) were separated by 12% SDS-PAGE, and the membrane was blotted with CDK5 antibody [C2C3], C-term (GTX108328) diluted at 1:500. The HRP-conjugated anti-rabbit IgG antibody (GTX213110-01) was used to detect the primary antibody, and the signal was developed with Trident ECL plus-Enhanced.

4 / 6
Anti-CDK5 antibody [C2C3], C-term used in Western Blot (WB). GTX108328
GTX108328 WB Image

Whole cell extract (30 μg) was separated by 12% SDS-PAGE, and the membrane was blotted with CDK5 antibody (GTX108328) diluted at 1:500.

5 / 6
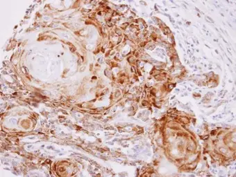
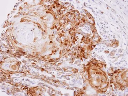
Anti-CDK5 antibody [C2C3], C-term used in IHC (Paraffin sections) (IHC-P). GTX108328
GTX108328 IHC-P Image

Immunohistochemical analysis of paraffin-embedded ES2 xenograft, using CDK5(GTX108328) antibody at 1:100 dilution.
Antigen Retrieval: Trilogy™ (EDTA based, pH 8.0) buffer, 15min

6 / 6
Anti-CDK5 antibody [C2C3], C-term used in Immunocytochemistry/ Immunofluorescence (ICC/IF). GTX108328
Anti-CDK5 antibody [C2C3], C-term used in Western Blot (WB). GTX108328
Anti-CDK5 antibody [C2C3], C-term used in IHC (Paraffin sections) (IHC-P). GTX108328
Anti-CDK5 antibody [C2C3], C-term used in Western Blot (WB). GTX108328
Anti-CDK5 antibody [C2C3], C-term used in Western Blot (WB). GTX108328
Anti-CDK5 antibody [C2C3], C-term used in IHC (Paraffin sections) (IHC-P). GTX108328
  • 宿主
    Rabbit
  • 克隆
    Polyclonal
  • 同种型
    IgG
  • 实验应用
    WB ICC/IF IHC-P IHC
  • 种属反应
    Human, Mouse, Rat
查看所有 CDK5 的产品