CNPase抗体

目录号 GTX103954
目录号  GTX103954
Anti-CNPase antibody used in IHC (Frozen sections) (IHC-Fr). GTX103954
GTX103954 IHC-Fr Image

CNPase antibody detects CNPase protein expression by immunohistochemical analysis.
Sample: Frozen-sectioned adult mouse cerebellum.
Green: CNPase protein stained by CNPase antibody (GTX103954) diluted at 1:250.
Red: beta Tubulin 3/ TUJ1, stained by beta Tubulin 3/ TUJ1 antibody [GT11710] (GTX631836) diluted at 1:500.
Blue: Fluoroshield with DAPI (GTX30920).

1 / 10
Anti-CNPase antibody used in Western Blot (WB). GTX103954
GTX103954 WB Image

Wild-type (WT) and CNPase knockout (KO) HeLa cell extracts (30 μg) were separated by 10% SDS-PAGE, and the membrane was blotted with CNPase antibody (GTX103954) diluted at 1:500. The HRP-conjugated anti-rabbit IgG antibody (GTX213110-01) was used to detect the primary antibody.

2 / 10
Anti-CNPase antibody used in Immunocytochemistry/ Immunofluorescence (ICC/IF). GTX103954
GTX103954 ICC/IF Image

CNPase antibody detects CNPase protein at cell membrane by immunofluorescent analysis.
Sample: MOLT-4 cells were fixed in 4% paraformaldehyde at RT for 15 min.
Green: CNPase stained by CNPase antibody (GTX103954) diluted at 1:500.
Blue: Fluoroshield with DAPI (GTX30920).

3 / 10
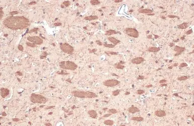
Anti-CNPase antibody used in IHC (Paraffin sections) (IHC-P). GTX103954
GTX103954 IHC-P Image

CNPase antibody detects CNPase protein at cell membrane by immunohistochemical analysis.
Sample: Paraffin-embedded mouse brain.
CNPase stained by CNPase antibody (GTX103954) diluted at 1:165.
Antigen Retrieval: Citrate buffer, pH 6.0, 15 min

4 / 10
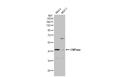
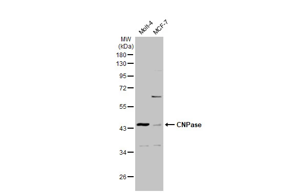
Anti-CNPase antibody used in Western Blot (WB). GTX103954
GTX103954 WB Image

Various tissue extracts (50 μg) were separated by 10% SDS-PAGE, and the membrane was blotted with CNP antibody (GTX103954) diluted at 1:5000.

5 / 10
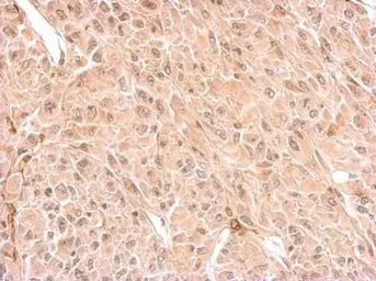
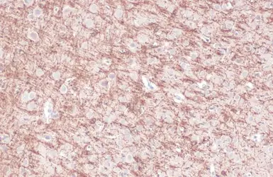
Anti-CNPase antibody used in IHC (Paraffin sections) (IHC-P). GTX103954
GTX103954 IHC-P Image

CNPase antibody detects CNPase protein at cell membrane by immunohistochemical analysis.
Sample: Paraffin-embedded rat brain.
CNPase stained by CNPase antibody (GTX103954) diluted at 1:165.
Antigen Retrieval: Citrate buffer, pH 6.0, 15 min

6 / 10
Anti-CNPase antibody used in IHC (Paraffin sections) (IHC-P). GTX103954
GTX103954 IHC-P Image

CNP antibody detects CNP protein at cytosol on U87 xenograft by immunohistochemical analysis.
Sample: Paraffin-embedded U87 xenograft.
CNP antibody (GTX103954) dilution: 1:500.

Antigen Retrieval: Trilogy™ (EDTA based, pH 8.0) buffer, 15min

7 / 10
Anti-CNPase antibody used in IHC (Frozen sections) (IHC-Fr). GTX103954
GTX103954 IHC-Fr Image

CNPase antibody detects CNPase protein expression by immunohistochemical analysis.
Sample: Frozen-sectioned adult mouse hippocampus.
Green: CNPase protein stained by CNPase antibody (GTX103954) diluted at 1:250.
Red: NeuN, stained by NeuN antibody [2Q158] (GTX30773) diluted at 1:500.

8 / 10
Anti-CNPase antibody used in Western Blot (WB). GTX103954
GTX103954 WB Image

Various whole cell extracts (30 μg) were separated by 10% SDS-PAGE, and the membrane was blotted with CNPase antibody (GTX103954) diluted at 1:1000. The HRP-conjugated anti-rabbit IgG antibody (GTX213110-01) was used to detect the primary antibody.

9 / 10
Anti-CNPase antibody used in Western Blot (WB). GTX103954
GTX103954 WB Image

The data was published in the journal Stem Cells Transl Med in 2020.PMID: 31943851

10 / 10
Anti-CNPase antibody used in IHC (Frozen sections) (IHC-Fr). GTX103954
Anti-CNPase antibody used in Western Blot (WB). GTX103954
Anti-CNPase antibody used in Immunocytochemistry/ Immunofluorescence (ICC/IF). GTX103954
Anti-CNPase antibody used in IHC (Paraffin sections) (IHC-P). GTX103954
Anti-CNPase antibody used in Western Blot (WB). GTX103954
Anti-CNPase antibody used in IHC (Paraffin sections) (IHC-P). GTX103954
Anti-CNPase antibody used in IHC (Paraffin sections) (IHC-P). GTX103954
Anti-CNPase antibody used in IHC (Frozen sections) (IHC-Fr). GTX103954
Anti-CNPase antibody used in Western Blot (WB). GTX103954
Anti-CNPase antibody used in Western Blot (WB). GTX103954
  • 宿主
    Rabbit
  • 克隆
    Polyclonal
  • 同种型
    IgG
  • 实验应用
    WB ICC/IF IHC-P IHC-Fr
  • 种属反应
    Human, Mouse, Rat
查看所有 CNPase 的产品