CXCR2抗体 [HL2604]
目录号 GTX639056
                        目录号  GTX639056
                                
                    
                            - 
                                            宿主Rabbit
- 
                                            克隆Monoclonal
- 
                                            克隆编号HL2604
- 
                                                同种型IgG
- 
                                            实验应用WB ICC/IF IHC-P Functional Assay
- 
                                            种属反应Human
 
                                             
                                             
                                             
                                            ![Anti-CXCR2 antibody [HL2604] used in Immunocytochemistry/ Immunofluorescence (ICC/IF). GTX639056](/upload/website/prouct_img/middle/GTX639056/GTX639056_45229_20240301_ICC_IF_competitor_24030600_742.webp) 
                                                        ![Anti-CXCR2 antibody [HL2604] used in Western Blot (WB). GTX639056](/upload/website/prouct_img/middle/GTX639056/GTX639056_45229_20240301_WB_B_competitor_watermark_24030600_317.webp) 
                                                            
                                                        ![Anti-CXCR2 antibody [HL2604] used in Western Blot (WB). GTX639056](/upload/website/prouct_img/middle/GTX639056/GTX639056_45229_20240223_WB_Fraction_competitor_watermark_24022619_839.webp) 
                                                            
                                                        ![Anti-CXCR2 antibody [HL2604] used in Western Blot (WB). GTX639056](/upload/website/prouct_img/middle/GTX639056/GTX639056_45229_20250515_WB_multiple_B_25052202_219.webp) 
                                                            
                                                        ![Anti-CXCR2 antibody [HL2604] used in Immunocytochemistry/ Immunofluorescence (ICC/IF). GTX639056](/upload/website/prouct_img/middle/GTX639056/GTX639056_45229_20250414_ICC_IF_25042920_895.webp) 
                                                            
                                                        ![Anti-CXCR2 antibody [HL2604] used in Western Blot (WB). GTX639056](/upload/website/prouct_img/middle/GTX639056/GTX639056_45229_20250207_WB_treatment_PNGaseF_25021320_613.webp) 
                                                            
                                                        ![Anti-CXCR2 antibody [HL2604] used in Functional Assay (Functional Assay). GTX639056](/upload/website/prouct_img/middle/GTX639056/GTX639056_T-45166_20231110_GPCRarray_23111422_610.webp) 
                                                            
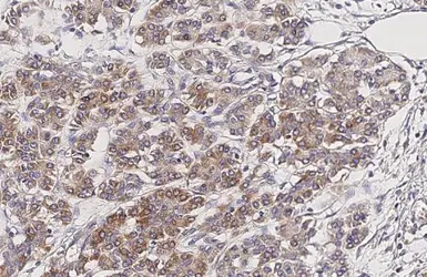
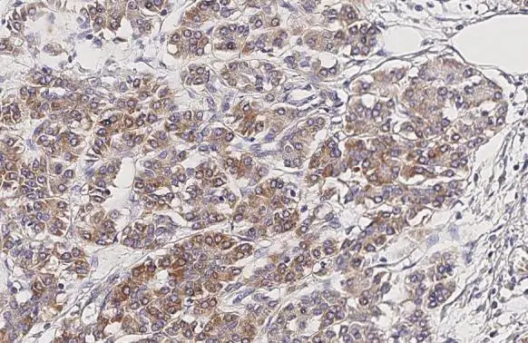
                                                        ![Anti-CXCR2 antibody [HL2604] used in IHC (Paraffin sections) (IHC-P). GTX639056](/upload/website/prouct_img/middle/GTX639056/GTX639056_T-45166_20230928_IHC-P_23102401_289.webp) 
                                                            
                                                        ![Anti-CXCR2 antibody [HL2604] used in Western Blot (WB). GTX639056](/upload/website/prouct_img/middle/GTX639056/GTX639056_T-45166_20230915_WB_B_23091901_933.webp)