![Anti-Calnexin antibody [C3], C-term used in Immunoprecipitation (IP). GTX109669](/upload/website/prouct_img/middle/GTX109669/GTX109669_41094_IP_w_23060500_694.webp) 
                                                        
                                                    Calnexin antibody immunoprecipitates Calnexin protein in IP experiments. IP Sample: 1000 μg HeLa whole cell lysate/extract A. 30 μg HeLa whole cell lysate/extract B. Control with 2 μg of preimmune rabbit IgG C. Immunoprecipitation of Calnexin protein by 2 μg of Calnexin antibody (GTX109669) 7.5% SDS-PAGE The immunoprecipitated Calnexin protein was detected by Calnexin antibody (GTX109669) diluted at 1:1000. EasyBlot anti-rabbit IgG (GTX221666-01) was used as a secondary reagent.
![Anti-Calnexin antibody [C3], C-term used in Western Blot (WB). GTX109669](/upload/website/prouct_img/middle/GTX109669/GTX109669_40450_20160707_WB_shRNA_watermark_w_23060500_509.webp) 
                                                            
                                                        
                                                    Non-transfected (–) and transfected (+) 293T whole cell extracts (15 μg) were separated by 7.5% SDS-PAGE, and the membrane was blotted with Calnexin antibody [C3], C-term (GTX109669) diluted at 1:20000. The HRP-conjugated anti-rabbit IgG antibody (GTX213110-01) was used to detect the primary antibody.
![Anti-Calnexin antibody [C3], C-term used in Western Blot (WB). GTX109669](/upload/website/prouct_img/middle/GTX109669/GTX109669_43768_20200214_WB_competitor_watermark_w_23060500_471.webp) 
                                                            
                                                        
                                                    
                                                                    Various whole cell extracts (30 μg) were separated by 7.5% SDS-PAGE, and the membranes were blotted with Calnexin antibody [C3], C-term (GTX109669) diluted at 1:5000 and competitor's antibody diluted at 1:5000. The HRP-conjugated anti-rabbit IgG antibody (GTX213110-01) was used to detect the primary antibody.
*The competitor is not affiliated with GeneTex and does not endorse this product.
                                                                
![Anti-Calnexin antibody [C3], C-term used in IHC (Paraffin sections) (IHC-P). GTX109669](/upload/website/prouct_img/middle/GTX109669/GTX109669_41605_IHC_M_w_23060500_583.webp) 
                                                            
                                                        
                                                    
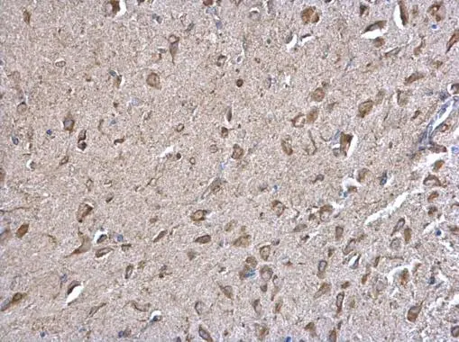
                                                                    Calnexin antibody [C3], C-term detects Calnexin protein at cytosol on mouse middle brain by immunohistochemical analysis. 
Sample: Paraffin-embedded mouse middle brain. 
Calnexin antibody [C3], C-term (GTX109669) dilution: 1:500.
Antigen Retrieval: Trilogy™ (EDTA based, pH 8.0) buffer, 15min
                                                                
![Anti-Calnexin antibody [C3], C-term used in IHC (Paraffin sections) (IHC-P). GTX109669](/upload/website/prouct_img/middle/GTX109669/GTX109669_41605_IHC_M_2_w_23060500_634.webp) 
                                                            
                                                        
                                                    
                                                                    Calnexin antibody [C3], C-term detects Calnexin protein at cytosol on mouse testis by immunohistochemical analysis. 
Sample: Paraffin-embedded mouse testis. 
Calnexin antibody [C3], C-term (GTX109669) dilution: 1:500.
Antigen Retrieval: Trilogy™ (EDTA based, pH 8.0) buffer, 15min
                                                                
![Anti-Calnexin antibody [C3], C-term used in Immunocytochemistry/ Immunofluorescence (ICC/IF). GTX109669](/upload/website/prouct_img/middle/GTX109669/GTX109669_41094_20171115_ICC_IF_R_w_23060500_782.webp) 
                                                            
                                                        
                                                    Calnexin antibody [C3], C-term detects Calnexin protein by immunofluorescent analysis.Sample: DIV9 rat E18 primary cortical neuron cells were fixed in 4% paraformaldehyde at RT for 15 min.Green: Calnexin stained by Calnexin antibody [C3], C-term (GTX109669) diluted at 1:500.Red: beta Tubulin 3/ Tuj1, stained by beta Tubulin 3/ Tuj1 antibody [GT1338] (GTX631831) diluted at 1:500.Blue: Fluoroshield with DAPI (GTX30920).
![Anti-Calnexin antibody [C3], C-term used in Western Blot (WB). GTX109669](/upload/website/prouct_img/middle/GTX109669/GTX109669_43768_20201030_WB_B_w_23060500_521.webp) 
                                                            
                                                        
                                                    Non-transfected (–) and transfected (+) 293T whole cell extracts (30 μg) were separated by 7.5% SDS-PAGE, and the membrane was blotted with Calnexin antibody [C3], C-term (GTX109669) diluted at 1:5000. The HRP-conjugated anti-rabbit IgG antibody (GTX213110-01) was used to detect the primary antibody.
![Anti-Calnexin antibody [C3], C-term used in Western Blot (WB). GTX109669](/upload/website/prouct_img/middle/GTX109669/GTX109669_41094_WB_M_w_23060500_559.webp) 
                                                            
                                                        
                                                    
                                                                    Calnexin antibody [C3], C-term detects Calnexin protein by Western blot analysis.
A. 30 μg Neuro2A whole cell lysate/extract
B. 30 μg GL261 whole cell lysate/extract
C. 30 μg C8D30 whole cell lysate/extract
D. 30 μg NIH-3T3 whole cell lysate/extract
E. 30 μg BCL-1 whole cell lysate/extract
F. 30 μg Raw264.7 whole cell lysate/extract
G. 30 μg C2C12 whole cell lysate/extract
7.5 % SDS-PAGE
Calnexin antibody [C3], C-term (GTX109669) dilution: 1:10000
                                                                
![Anti-Calnexin antibody [C3], C-term used in Immunocytochemistry/ Immunofluorescence (ICC/IF). GTX109669](/upload/website/prouct_img/middle/GTX109669/GTX109669_44699_20220916_ICC_IF_22102723_612.webp) 
                                                            
                                                        
                                                    Calnexin antibody [C3], C-term detects Calnexin protein at endoplasmic reticulum by immunofluorescent analysis.Sample: HeLa cells were fixed in 4% paraformaldehyde at RT for 15 min.Green: Calnexin stained by Calnexin antibody [C3], C-term (GTX109669) diluted at 1:500.Red: alpha Tubulin, a cytoskeleton marker, stained by alpha Tubulin antibody [GT114] (GTX628802) diluted at 1:1000.Blue: Fluoroshield with DAPI (GTX30920).
![Anti-Calnexin antibody [C3], C-term used in IHC (Paraffin sections) (IHC-P). GTX109669](/upload/website/prouct_img/middle/GTX109669/GTX109669_43768_20220722_IHC-P_M_22080119_426.webp) 
                                                            
                                                        
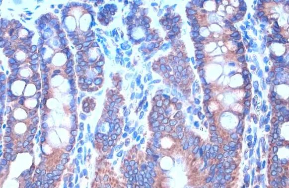
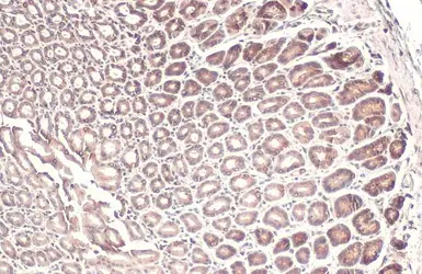
                                                    Calnexin antibody [C3], C-term detects Calnexin protein at endoplasmic reticulum by immunohistochemical analysis.Sample: Paraffin-embedded mouse duodenum.Calnexin stained by Calnexin antibody [C3], C-term (GTX109669) diluted at 1:500.Antigen Retrieval: Citrate buffer, pH 6.0, 15 min
![Anti-Calnexin antibody [C3], C-term used in IHC (Paraffin sections) (IHC-P). GTX109669](/upload/website/prouct_img/middle/GTX109669/GTX109669_43768_20220722_IHC-P_R_22080119_976.webp) 
                                                            
                                                        
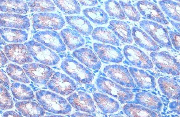
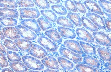
                                                    Calnexin antibody [C3], C-term detects Calnexin protein at endoplasmic reticulum by immunohistochemical analysis.Sample: Paraffin-embedded rat duodenum.Calnexin stained by Calnexin antibody [C3], C-term (GTX109669) diluted at 1:500.Antigen Retrieval: Citrate buffer, pH 6.0, 15 min
![Anti-Calnexin antibody [C3], C-term used in IHC (Paraffin sections) (IHC-P). GTX109669](/upload/website/prouct_img/middle/GTX109669/GTX109669_44699_20220701_IHC-P_M_22071401_383.webp) 
                                                            
                                                        
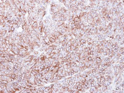
                                                    Calnexin antibody [C3], C-term detects Calnexin protein at cell membrane and cytoplasm by immunohistochemical analysis.Sample: Paraffin-embedded mouse stomach.Calnexin stained by Calnexin antibody [C3], C-term (GTX109669) diluted at 1:165.Antigen Retrieval: Citrate buffer, pH 6.0, 15 min
![Anti-Calnexin antibody [C3], C-term used in IHC (Paraffin sections) (IHC-P). GTX109669](/upload/website/prouct_img/middle/GTX109669/GTX109669_44699_20220701_IHC-P_R_22071401_447.webp) 
                                                            
                                                        
                                                    Calnexin antibody [C3], C-term detects Calnexin protein at cell membrane and cytoplasm by immunohistochemical analysis.Sample: Paraffin-embedded rat brain.Calnexin stained by Calnexin antibody [C3], C-term (GTX109669) diluted at 1:165.Antigen Retrieval: Citrate buffer, pH 6.0, 15 min
![Anti-Calnexin antibody [C3], C-term used in Immunocytochemistry/ Immunofluorescence (ICC/IF). GTX109669](/upload/website/prouct_img/middle/GTX109669/GTX109669_20240411_citeab_ICCIF_2301_24041502_939.webp) 
                                                            
                                                        
                                                    The data was published in the journal Sci Rep in 2017. PMID: 28615694
![Anti-Calnexin antibody [C3], C-term used in Western Blot (WB). GTX109669](/upload/website/prouct_img/middle/GTX109669/GTX109669_20240411_citeab_WB_1871_24041502_625.webp) 
                                                            
                                                        
                                                    The data was published in the journal Skelet Muscle in 2014. PMID: 25530838
![Anti-Calnexin antibody [C3], C-term used in Western Blot (WB). GTX109669](/upload/website/prouct_img/middle/GTX109669/GTX109669_20240411_citeab_WB_1230_24041501_214.webp) 
                                                            
                                                        
                                                    The data was published in the journal J Clin Med in 2019.PMID: 31167519
![Anti-Calnexin antibody [C3], C-term used in Western Blot (WB). GTX109669](/upload/website/prouct_img/middle/GTX109669/GTX109669_20240411_citeab_WB_1229_24041501_600.webp) 
                                                            
                                                        
                                                    The data was published in the journal Nat Commun in 2015.PMID: 25898173
![Anti-Calnexin antibody [C3], C-term used in Immunoprecipitation (IP). GTX109669](/upload/website/prouct_img/middle/GTX109669/GTX109669_41094_IP_w_23060500_694.webp) 
                                            ![Anti-Calnexin antibody [C3], C-term used in Western Blot (WB). GTX109669](/upload/website/prouct_img/middle/GTX109669/GTX109669_40450_20160707_WB_shRNA_watermark_w_23060500_509.webp) 
                                            ![Anti-Calnexin antibody [C3], C-term used in Western Blot (WB). GTX109669](/upload/website/prouct_img/middle/GTX109669/GTX109669_43768_20200214_WB_competitor_watermark_w_23060500_471.webp) 
                                            ![Anti-Calnexin antibody [C3], C-term used in Western Blot (WB). GTX109669](/upload/website/prouct_img/middle/GTX109669/GTX109669_44811_20220923_WB_25031900_498.webp) 
                                            ![Anti-Calnexin antibody [C3], C-term used in Western Blot (WB). GTX109669](/upload/website/prouct_img/middle/GTX109669/GTX109669_44811_20220923_WB_M_R_25031900_216.webp) 
                                            ![Anti-Calnexin antibody [C3], C-term used in Western Blot (WB). GTX109669](/upload/website/prouct_img/middle/GTX109669/GTX109669_41094_20171218_WB_R_w_23060500_415.webp) 
                                            ![Anti-Calnexin antibody [C3], C-term used in IHC (Paraffin sections) (IHC-P). GTX109669](/upload/website/prouct_img/middle/GTX109669/GTX109669_IHC_w_23060500_550.webp) 
                                            ![Anti-Calnexin antibody [C3], C-term used in IHC (Paraffin sections) (IHC-P). GTX109669](/upload/website/prouct_img/middle/GTX109669/GTX109669_41605_IHC_M_w_23060500_583.webp) 
                                            ![Anti-Calnexin antibody [C3], C-term used in IHC (Paraffin sections) (IHC-P). GTX109669](/upload/website/prouct_img/middle/GTX109669/GTX109669_41605_IHC_M_2_w_23060500_634.webp) 
                                            ![Anti-Calnexin antibody [C3], C-term used in Immunocytochemistry/ Immunofluorescence (ICC/IF). GTX109669](/upload/website/prouct_img/middle/GTX109669/GTX109669_41094_20171115_ICC_IF_R_w_23060500_782.webp) 
                                            ![Anti-Calnexin antibody [C3], C-term used in Western Blot (WB). GTX109669](/upload/website/prouct_img/middle/GTX109669/GTX109669_43768_20201030_WB_B_w_23060500_521.webp) 
                                                    
                                            ![Anti-Calnexin antibody [C3], C-term used in Western Blot (WB). GTX109669](/upload/website/prouct_img/middle/GTX109669/GTX109669_43768_20200306_WB_M_R_w_23060500_914.webp) 
                                                    
                                            ![Anti-Calnexin antibody [C3], C-term used in Western Blot (WB). GTX109669](/upload/website/prouct_img/middle/GTX109669/GTX109669_41094_WB_M_w_23060500_559.webp) 
                                                    
                                            ![Anti-Calnexin antibody [C3], C-term used in Immunocytochemistry/ Immunofluorescence (ICC/IF). GTX109669](/upload/website/prouct_img/middle/GTX109669/GTX109669_44699_20220916_ICC_IF_22102723_612.webp) 
                                                    
                                            ![Anti-Calnexin antibody [C3], C-term used in IHC (Paraffin sections) (IHC-P). GTX109669](/upload/website/prouct_img/middle/GTX109669/GTX109669_43768_20220722_IHC-P_M_22080119_426.webp) 
                                                    
                                            ![Anti-Calnexin antibody [C3], C-term used in IHC (Paraffin sections) (IHC-P). GTX109669](/upload/website/prouct_img/middle/GTX109669/GTX109669_43768_20220722_IHC-P_R_22080119_976.webp) 
                                                    
                                            ![Anti-Calnexin antibody [C3], C-term used in IHC (Paraffin sections) (IHC-P). GTX109669](/upload/website/prouct_img/middle/GTX109669/GTX109669_44699_20220701_IHC-P_M_22071401_383.webp) 
                                                    
                                            ![Anti-Calnexin antibody [C3], C-term used in IHC (Paraffin sections) (IHC-P). GTX109669](/upload/website/prouct_img/middle/GTX109669/GTX109669_44699_20220701_IHC-P_R_22071401_447.webp) 
                                                    
                                            ![Anti-Calnexin antibody [C3], C-term used in Immunocytochemistry/ Immunofluorescence (ICC/IF). GTX109669](/upload/website/prouct_img/middle/GTX109669/GTX109669_20240411_citeab_ICCIF_2301_24041502_939.webp) 
                                                    
                                            ![Anti-Calnexin antibody [C3], C-term used in Western Blot (WB). GTX109669](/upload/website/prouct_img/middle/GTX109669/GTX109669_20240411_citeab_WB_1871_24041502_625.webp) 
                                                    
                                            ![Anti-Calnexin antibody [C3], C-term used in Western Blot (WB). GTX109669](/upload/website/prouct_img/middle/GTX109669/GTX109669_20240411_citeab_WB_1230_24041501_214.webp) 
                                                    
                                            ![Anti-Calnexin antibody [C3], C-term used in Western Blot (WB). GTX109669](/upload/website/prouct_img/middle/GTX109669/GTX109669_20240411_citeab_WB_1229_24041501_600.webp) 
                                                    
                                            - 
                                            宿主Rabbit
- 
                                            克隆Polyclonal
- 
                                                同种型IgG
- 
                                            实验应用WB ICC/IF IHC-P IP
- 
                                            种属反应Human, Mouse, Rat, Sheep
 
                                             
                                             
                                             
                                            