Calreticulin抗体

目录号 GTX111627
目录号  GTX111627
Anti-Calreticulin antibody used in Western Blot (WB). GTX111627
GTX111627 WB Image

Various whole cell extracts (30 μg) were separated by 10% SDS-PAGE, and the membrane was blotted with Calreticulin antibody (GTX111627) diluted at 1:1000. The HRP-conjugated anti-rabbit IgG antibody (GTX213110-01) was used to detect the primary antibody.

1 / 8
Anti-Calreticulin antibody used in Western Blot (WB). GTX111627
GTX111627 WB Image

Various whole cell extracts (30 μg) were separated by 10% SDS-PAGE, and the membrane was blotted with Calreticulin antibody (GTX111627) diluted at 1:1000. The HRP-conjugated anti-rabbit IgG antibody (GTX213110-01) was used to detect the primary antibody.

2 / 8
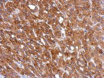
Anti-Calreticulin antibody used in IHC (Paraffin sections) (IHC-P). GTX111627
GTX111627 IHC-P Image

Immunohistochemical analysis of paraffin-embedded mouse muscle, using Calreticulin(GTX111627) antibody at 1:500 dilution.
Antigen Retrieval: Trilogy™ (EDTA based, pH 8.0) buffer, 15min

3 / 8
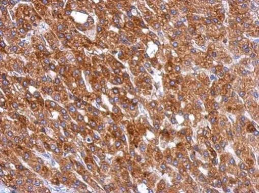
Anti-Calreticulin antibody used in IHC (Paraffin sections) (IHC-P). GTX111627
GTX111627 IHC-P Image

Immunohistochemical analysis of paraffin-embedded human hepatoma, using Calreticulin(GTX111627) antibody at 1:500 dilution.
Antigen Retrieval: Trilogy™ (EDTA based, pH 8.0) buffer, 15min

4 / 8
Anti-Calreticulin antibody used in Western Blot (WB). GTX111627
GTX111627 WB Image

Various whole cell extracts (30 μg) were separated by 10% SDS-PAGE, and the membrane was blotted with Calreticulin antibody (GTX111627) diluted at 1:1000. The HRP-conjugated anti-rabbit IgG antibody (GTX213110-01) was used to detect the primary antibody.

5 / 8
Anti-Calreticulin antibody used in Immunocytochemistry/ Immunofluorescence (ICC/IF). GTX111627
GTX111627 ICC/IF Image

Calreticulin antibody detects Calreticulin protein at endoplasmic reticulum by immunofluorescent analysis.
Sample: HeLa cells were fixed in ice-cold MeOH for 5 min.
Green: Calreticulin stained by Calreticulin antibody (GTX111627) diluted at 1:500.

6 / 8
Anti-Calreticulin antibody used in Western Blot (WB). GTX111627
GTX111627 WB Image

The data was published in the journal Sci Rep in 2017. PMID: 28216671

7 / 8
Anti-Calreticulin antibody used in Western Blot (WB). GTX111627
GTX111627 WB Image

The data was published in the journal Dis Model Mech in 2016. PMID: 27483354

8 / 8
Anti-Calreticulin antibody used in Western Blot (WB). GTX111627
Anti-Calreticulin antibody used in Western Blot (WB). GTX111627
Anti-Calreticulin antibody used in IHC (Paraffin sections) (IHC-P). GTX111627
Anti-Calreticulin antibody used in IHC (Paraffin sections) (IHC-P). GTX111627
Anti-Calreticulin antibody used in Western Blot (WB). GTX111627
Anti-Calreticulin antibody used in Immunocytochemistry/ Immunofluorescence (ICC/IF). GTX111627
Anti-Calreticulin antibody used in Western Blot (WB). GTX111627
Anti-Calreticulin antibody used in Western Blot (WB). GTX111627
  • 宿主
    Rabbit
  • 克隆
    Polyclonal
  • 同种型
    IgG
  • 实验应用
    WB ICC/IF IHC-P IP
  • 种属反应
    Human, Mouse, Rat, Bovine
查看所有 Calreticulin 的产品