Calretinin抗体

目录号 GTX103261
目录号  GTX103261
Anti-Calretinin antibody used in Western Blot (WB). GTX103261
GTX103261 WB Image

Various whole cell extracts (30 μg) were separated by 12% SDS-PAGE, and the membrane was blotted with Calretinin antibody (GTX103261) diluted at 1:1000. The HRP-conjugated anti-rabbit IgG antibody (GTX213110-01) was used to detect the primary antibody. Corresponding RNA expression data for the same cell lines are based on Human Protein Atlas program.

1 / 10
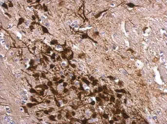
Anti-Calretinin antibody used in IHC (Paraffin sections) (IHC-P). GTX103261
GTX103261 IHC-P Image

Calretinin antibody detects Calretinin protein at cytoplasm and nucleus by immunohistochemical analysis.
Sample: Paraffin-embedded mouse brain.
Calretinin stained by Calretinin antibody (GTX103261) diluted at 1:500.
Antigen Retrieval: Citrate buffer, pH 6.0, 15 min

2 / 10
Anti-Calretinin antibody used in IHC (Frozen sections) (IHC-Fr). GTX103261
GTX103261 IHC-Fr Image

Calretinin antibody detects Calretinin protein in the amacrine cells by immunohistochemical analysis.
Sample: Frozen sectioned adult mouse retina.
Green: Calretinin protein stained by Calretinin antibody (GTX103261) diluted at 1:250.
Red: Protein kinase C alpha staining.
Blue: Fluoroshield with DAPI (GTX30920).

3 / 10
Anti-Calretinin antibody used in Western Blot (WB). GTX103261
GTX103261 WB Image

Sample (50 μg of whole cell lysate)
A: mouse brain
12% SDS PAGE
GTX103261 diluted at 1:1000
The HRP-conjugated anti-rabbit IgG antibody (GTX213110-01) was used to detect the primary antibody.

4 / 10
Anti-Calretinin antibody used in Western Blot (WB). GTX103261
GTX103261 WB Image

Rat tissue extract (50 μg) was separated by 12% SDS-PAGE, and the membrane was blotted with Calretinin antibody (GTX103261) diluted at 1:1000. The HRP-conjugated anti-rabbit IgG antibody (GTX213110-01) was used to detect the primary antibody.

5 / 10
Anti-Calretinin antibody used in Immunocytochemistry/ Immunofluorescence (ICC/IF). GTX103261
GTX103261 ICC/IF Image

Calretinin antibody detects Calretinin protein at cytoplasm by immunofluorescent analysis.
Sample: U87-MG cells were fixed in 4% paraformaldehyde at RT for 15 min.
Green: Calretinin protein stained by Calretinin antibody (GTX103261) diluted at 1:200.
Blue: Hoechst 33342 staining.

6 / 10
Anti-Calretinin antibody used in IHC (Frozen sections) (IHC-Fr). GTX103261
GTX103261 IHC-Fr Image

Calretinin antibody detects Calretinin protein by immunohistochemical analysis.
Samples: Frozen Section adult mouse hippocampus.
Green: Calretinin protein stained by Calretinin antibody (GTX103261) diluted at 1:250.
Red: NF-H, stained by NF-H antibody [GT114] (GTX634289) diluted at 1:500.
Blue: Fluoroshield with DAPI (GTX30920).

7 / 10
Anti-Calretinin antibody used in Western Blot (WB). GTX103261
GTX103261 WB Image

Calretinin antibody detects CALB2 protein by western blot analysis.
A. 30 μg 293T whole cell lysate/extract
B. 30 μg whole cell lysate/extract of human CALB2-transfected 293T cells
12% SDS-PAGE
Calretinin antibody (GTX103261) dilution: 1:5000
The HRP-conjugated anti-rabbit IgG antibody (GTX213110-01) was used to detect the primary antibody.

8 / 10
Anti-Calretinin antibody used in IHC (Paraffin sections) (IHC-P). GTX103261
GTX103261 IHC-P Image

Immunohistochemical analysis of paraffin-embedded Mouse retina, using Calretinin(GTX103261) antibody at 1:250 dilution.
Antigen Retrieval: Trilogy™ (EDTA based, pH 8.0) buffer, 15min

9 / 10
Anti-Calretinin antibody used in IHC (Paraffin sections) (IHC-P). GTX103261
GTX103261 IHC-P Image

Calretinin antibody detects Calretinin protein at cytosol on mouse fore brain by immunohistochemical analysis.
Sample: Paraffin-embedded mouse fore brain.
Calretinin antibody (GTX103261) dilution: 1:500.

Antigen Retrieval: Trilogy™ (EDTA based, pH 8.0) buffer, 15min

10 / 10
Anti-Calretinin antibody used in Western Blot (WB). GTX103261
Anti-Calretinin antibody used in IHC (Paraffin sections) (IHC-P). GTX103261
Anti-Calretinin antibody used in IHC (Frozen sections) (IHC-Fr). GTX103261
Anti-Calretinin antibody used in Western Blot (WB). GTX103261
Anti-Calretinin antibody used in Western Blot (WB). GTX103261
Anti-Calretinin antibody used in Immunocytochemistry/ Immunofluorescence (ICC/IF). GTX103261
Anti-Calretinin antibody used in IHC (Frozen sections) (IHC-Fr). GTX103261
Anti-Calretinin antibody used in Western Blot (WB). GTX103261
Anti-Calretinin antibody used in IHC (Paraffin sections) (IHC-P). GTX103261
Anti-Calretinin antibody used in IHC (Paraffin sections) (IHC-P). GTX103261
  • 宿主
    Rabbit
  • 克隆
    Polyclonal
  • 同种型
    IgG
  • 实验应用
    WB ICC/IF IHC-P IHC-Fr
  • 种属反应
    Human, Mouse, Rat
查看所有 Calretinin 的产品