Carbonic Anhydrase IX抗体 [GT12]

目录号 GTX70020
目录号  GTX70020
Anti-Carbonic Anhydrase IX antibody [GT12] used in Western Blot (WB). GTX70020
GTX70020 WB Image

Untreated (–) and treated (+) HeLa whole cell extracts (30 μg) were separated by 10% SDS-PAGE, and the membrane was blotted with Carbonic Anhydrase IX antibody [GT12] (GTX70020) diluted at 1:2500. The HRP-conjugated anti-mouse IgG antibody (GTX213111-01) was used to detect the primary antibody.

1 / 12
Anti-Carbonic Anhydrase IX antibody [GT12] used in IHC (Paraffin sections) (IHC-P). GTX70020
GTX70020 IHC-P Image

Carbonic Anhydrase IX antibody [GT12] detects Carbonic Anhydrase IX protein at cell membrane by immunohistochemical analysis.
Sample: Paraffin-embedded human cervical carcinoma.
Carbonic Anhydrase IX stained by Carbonic Anhydrase IX antibody [GT12] (GTX70020) diluted at 1:500.
Antigen Retrieval: Citrate buffer, pH 6.0, 15 min

2 / 12
Anti-Carbonic Anhydrase IX antibody [GT12] used in IHC (Paraffin sections) (IHC-P). GTX70020
GTX70020 IHC-P Image

Immunohistochemical analysis of paraffin-embedded renal cell carcinoma (clear cell type) using anti-CAIX antibody [GT12] (GTX70020) at a dilution of 1:1000.

3 / 12
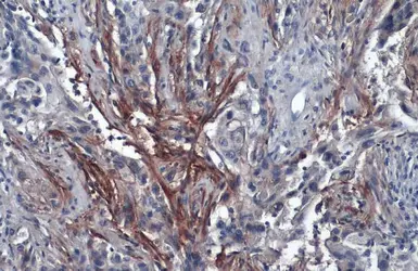
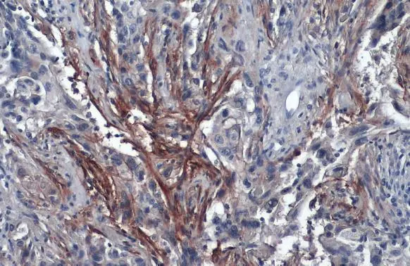
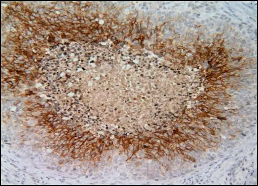
Anti-Carbonic Anhydrase IX antibody [GT12] used in IHC (Paraffin sections) (IHC-P). GTX70020
GTX70020 IHC-P Image

Immunohistochemical analysis of paraffin-embedded cervical CA tissue sections using anti-CAIX antibody [GT12] (GTX70020) at a dilution of 1:1000. The hypoxic regions of the tumor show positive CAIX staining.

4 / 12
Anti-Carbonic Anhydrase IX antibody [GT12] used in Western Blot (WB). GTX70020
GTX70020 WB Image

Sample (30 μg HeLa whole cell lysate)

A: 24 hr Untreated

B: 24 hr treatment with 100μM CoCl2

C: 24 hr treatment with 200μM CoCl2

D: 48 hr Untreated

E: 48 hr treatment with 100μM CoCl2

F: 48 hr treatment with 200μM CoCl2



Anti-CAIX antibody [GT12] (GTX70020) was used at a dilution of 1:1000
The HRP-conjugated anti-mouse IgG antibody (GTX213111-01) was used to detect the primary antibody.

5 / 12
Anti-Carbonic Anhydrase IX antibody [GT12] used in Immunocytochemistry/ Immunofluorescence (ICC/IF). GTX70020
GTX70020 ICC/IF Image

Confocal immunofluorescence analysis (Olympus FV10i) of methanol-fixed A431 cells treated with 200μM CoCl2 for 48hr using anti-CAIX antibody [GT12] (GTX70020) at a dilution of 1:1000.

6 / 12
Anti-Carbonic Anhydrase IX antibody [GT12] used in Flow cytometry (FCM). GTX70020
GTX70020 FCM Image

Flow cytometry on HeLa cells (1x10^6) stained with anti-CAIX antibody [GT12] (GTX70020) at a 1:1000 dilution. HeLa cells were untreated (green) or treated with 200μM CoCl2 (pink) for 48 hr.

7 / 12
Anti-Carbonic Anhydrase IX antibody [GT12] used in IHC (Paraffin sections) (IHC-P). GTX70020
GTX70020 IHC-P Image

Immunohistochemical analysis of paraffin-embedded cervical CA tissue sections using anti-CAIX antibody [GT12] (GTX70020) at a dilution of 1:1000. The hypoxic regions of the tumor show positive CAIX staining.

8 / 12
Anti-Carbonic Anhydrase IX antibody [GT12] used in Western Blot (WB). GTX70020
GTX70020 WB Image

The data was published in the journal PLoS One in 2014. PMID: 25420025

9 / 12
Anti-Carbonic Anhydrase IX antibody [GT12] used in Western Blot (WB). GTX70020
GTX70020 WB Image

The data was published in the journal Oncol Lett in 2015. PMID: 26622817

10 / 12
Anti-Carbonic Anhydrase IX antibody [GT12] used in Western Blot (WB). GTX70020
GTX70020 WB Image

The data was published in the journal Oncol Lett in 2015. PMID: 26622817

11 / 12
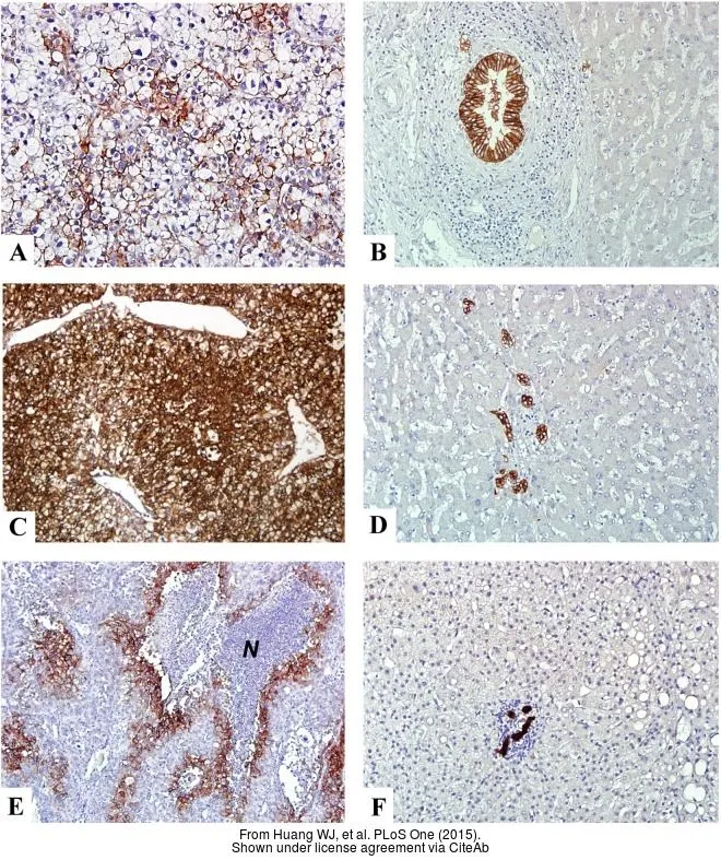
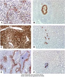
Anti-Carbonic Anhydrase IX antibody [GT12] used in IHC (Paraffin sections) (IHC-P). GTX70020
GTX70020 IHC-P Image

The data was published in the journal PLoS One in 2015. PMID: 25738958

12 / 12
Anti-Carbonic Anhydrase IX antibody [GT12] used in Western Blot (WB). GTX70020
Anti-Carbonic Anhydrase IX antibody [GT12] used in IHC (Paraffin sections) (IHC-P). GTX70020
Anti-Carbonic Anhydrase IX antibody [GT12] used in IHC (Paraffin sections) (IHC-P). GTX70020
Anti-Carbonic Anhydrase IX antibody [GT12] used in IHC (Paraffin sections) (IHC-P). GTX70020
Anti-Carbonic Anhydrase IX antibody [GT12] used in Western Blot (WB). GTX70020
Anti-Carbonic Anhydrase IX antibody [GT12] used in Immunocytochemistry/ Immunofluorescence (ICC/IF). GTX70020
Anti-Carbonic Anhydrase IX antibody [GT12] used in Flow cytometry (FCM). GTX70020
Anti-Carbonic Anhydrase IX antibody [GT12] used in IHC (Paraffin sections) (IHC-P). GTX70020
Anti-Carbonic Anhydrase IX antibody [GT12] used in Western Blot (WB). GTX70020
Anti-Carbonic Anhydrase IX antibody [GT12] used in Western Blot (WB). GTX70020
Anti-Carbonic Anhydrase IX antibody [GT12] used in Western Blot (WB). GTX70020
Anti-Carbonic Anhydrase IX antibody [GT12] used in IHC (Paraffin sections) (IHC-P). GTX70020
  • 宿主
    Mouse
  • 克隆
    Monoclonal
  • 克隆编号
    GT12
  • 同种型
    IgG2b
  • 实验应用
    WB ICC/IF IHC-P IHC-Fr FCM IP IHC
  • 种属反应
    Human
摘要
Carbonic Anhydrase IX antibody (CA9 antibody) detects carbonic anhydrase 9, a ~50 kDa transmembrane glycoprotein. CA9 expression is enhanced by HIF1-alpha signaling in various biological processes, including cell proliferation and transformation. Found in many tissues, CA9 overexpression promotes tumor growth in various cancers.
查看所有 Carbonic Anhydrase IX 的产品