Caspase 7抗体

目录号 GTX123679
目录号  GTX123679
Anti-Caspase 7 antibody used in Western Blot (WB). GTX123679
GTX123679 WB Image

Wild-type (WT) and Caspase 7 knockout (KO) HeLa cell extracts (30 μg) were separated by 10% SDS-PAGE, and the membrane was blotted with Caspase 7 antibody (GTX123679) diluted at 1:1000. The HRP-conjugated anti-rabbit IgG antibody (GTX213110-01) was used to detect the primary antibody.

1 / 5
Anti-Caspase 7 antibody used in Western Blot (WB). GTX123679
GTX123679 WB Image

Various whole cell extracts (30 μg) were separated by 10% SDS-PAGE, and the membrane was blotted with Caspase 7 antibody (GTX123679) diluted at 1:1000. The HRP-conjugated anti-rabbit IgG antibody (GTX213110-01) was used to detect the primary antibody.

2 / 5
Anti-Caspase 7 antibody used in Western Blot (WB). GTX123679
GTX123679 WB Image

Various whole cell extracts (30 μg) were separated by 10% SDS-PAGE, and the membrane was blotted with Caspase 7 antibody (GTX123679) diluted at 1:1000. The HRP-conjugated anti-rabbit IgG antibody (GTX213110-01) was used to detect the primary antibody.

3 / 5
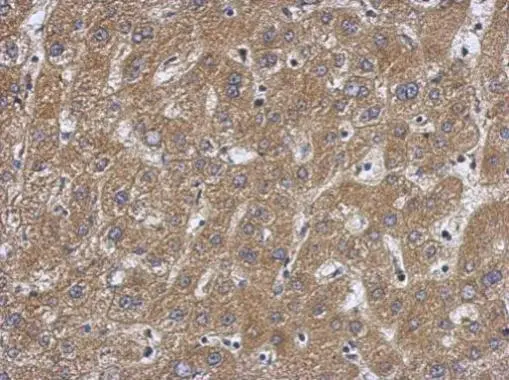
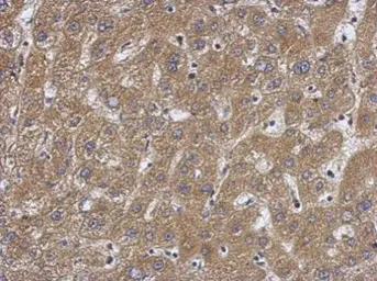
Anti-Caspase 7 antibody used in IHC (Paraffin sections) (IHC-P). GTX123679
GTX123679 IHC-P Image

Immunohistochemical analysis of paraffin-embedded human hepatoma, using Caspase 7 p11 subunit(GTX123679) antibody at 1:500 dilution.
Antigen Retrieval: Trilogy™ (EDTA based, pH 8.0) buffer, 15min

4 / 5
Anti-Caspase 7 antibody used in Western Blot (WB). GTX123679
GTX123679 WB Image

Untreated (–) and treated (+) Jurakt whole cell extracts (30 μg) were separated by 15% SDS-PAGE, and the membrane was blotted with Caspase 7 antibody (GTX123679) diluted at 1:500. The HRP-conjugated anti-rabbit IgG antibody (GTX213110-01) was used to detect the primary antibody, and the signal was developed with Trident ECL plus-Enhanced.

5 / 5
Anti-Caspase 7 antibody used in Western Blot (WB). GTX123679
Anti-Caspase 7 antibody used in Western Blot (WB). GTX123679
Anti-Caspase 7 antibody used in Western Blot (WB). GTX123679
Anti-Caspase 7 antibody used in IHC (Paraffin sections) (IHC-P). GTX123679
Anti-Caspase 7 antibody used in Western Blot (WB). GTX123679
  • 宿主
    Rabbit
  • 克隆
    Polyclonal
  • 同种型
    IgG
  • 实验应用
    WB IHC-P IP
  • 种属反应
    Human, Rat
查看所有 Caspase 7 的产品