Coxsackie Adenovirus Receptor抗体

目录号 GTX118382
目录号  GTX118382
Anti-Coxsackie Adenovirus Receptor antibody used in Immunocytochemistry/ Immunofluorescence (ICC/IF). GTX118382
GTX118382 ICC/IF Image

Coxsackie Adenovirus Receptor antibody detects Coxsackie Adenovirus Receptor protein at cell membrane by immunofluorescent analysis.
Sample: NT2D1 cells were fixed in 4% paraformaldehyde at RT for 15 min.
Green: Coxsackie Adenovirus Receptor stained by Coxsackie Adenovirus Receptor antibody (GTX118382) diluted at 1:500.
Blue: Fluoroshield with DAPI (GTX30920).
Scale bar= 10 μm.

1 / 4
Anti-Coxsackie Adenovirus Receptor antibody used in Western Blot (WB). GTX118382
GTX118382 WB Image

Various whole cell extracts (30 μg) were separated by 10% SDS-PAGE, and the membrane was blotted with Coxsackie Adenovirus Receptor antibody (GTX118382) diluted at 1:1000. The HRP-conjugated anti-rabbit IgG antibody (GTX213110-01) was used to detect the primary antibody, and the signal was developed with Trident ECL plus-Enhanced.

2 / 4
Anti-Coxsackie Adenovirus Receptor antibody used in Immunoprecipitation (IP). GTX118382
GTX118382 IP Image

Immunoprecipitation of CAR protein from HeLa whole cell extracts using 5 μg of CAR antibody (GTX118382).
Western blot analysis was performed using CAR antibody (GTX118382).
EasyBlot anti-Rabbit IgG (GTX221666-01) was used as a secondary reagent.

3 / 4
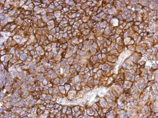
Anti-Coxsackie Adenovirus Receptor antibody used in IHC (Paraffin sections) (IHC-P). GTX118382
GTX118382 IHC-P Image

Immunohistochemical analysis of paraffin-embedded PC13 xenograft, using CAR(GTX118382) antibody at 1:500 dilution.
Antigen Retrieval: Trilogy™ (EDTA based, pH 8.0) buffer, 15min

4 / 4
Anti-Coxsackie Adenovirus Receptor antibody used in Immunocytochemistry/ Immunofluorescence (ICC/IF). GTX118382
Anti-Coxsackie Adenovirus Receptor antibody used in Western Blot (WB). GTX118382
Anti-Coxsackie Adenovirus Receptor antibody used in Immunoprecipitation (IP). GTX118382
Anti-Coxsackie Adenovirus Receptor antibody used in IHC (Paraffin sections) (IHC-P). GTX118382
  • 宿主
    Rabbit
  • 克隆
    Polyclonal
  • 同种型
    IgG
  • 实验应用
    WB ICC/IF IHC-P IP
  • 种属反应
    Human, Rat
查看所有 Coxsackie Adenovirus Receptor 的产品