Cytokeratin 18抗体 [N1N3]
目录号 GTX112977
                        目录号  GTX112977
                                
                    
                            - 
                                            宿主Rabbit
- 
                                            克隆Polyclonal
- 
                                                同种型IgG
- 
                                            实验应用WB ICC/IF IHC-P
- 
                                            种属反应Human
 
                                            ![Anti-Cytokeratin 18 antibody [N1N3] used in Western Blot (WB). GTX112977](/upload/website/prouct_img/middle/GTX112977/GTX112977_40408_20161006_WB_shRNA_watermark_w_23060500_640.webp) 
                                                        ![Anti-Cytokeratin 18 antibody [N1N3] used in Immunocytochemistry/ Immunofluorescence (ICC/IF). GTX112977](/upload/website/prouct_img/middle/GTX112977/GTX112977_40408_IFA_w_23060500_193.webp) 
                                                            
                                                        ![Anti-Cytokeratin 18 antibody [N1N3] used in Western Blot (WB). GTX112977](/upload/website/prouct_img/middle/GTX112977/GTX112977_40408_20161117_WB_w_23060500_647.webp) 
                                                            
                                                        ![Anti-Cytokeratin 18 antibody [N1N3] used in Western Blot (WB). GTX112977](/upload/website/prouct_img/middle/GTX112977/GTX112977_40408_20161117_WB_2_w_23060500_945.webp) 
                                                            
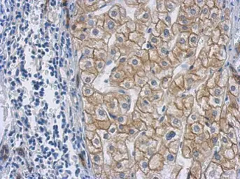
                                                        ![Anti-Cytokeratin 18 antibody [N1N3] used in IHC (Paraffin sections) (IHC-P). GTX112977](/upload/website/prouct_img/middle/GTX112977/GTX112977_40408_IHC_w_23060500_740.webp)