Cytokeratin 18抗体 [N3C3]

目录号 GTX112978
目录号  GTX112978
Anti-Cytokeratin 18 antibody [N3C3] used in Western Blot (WB). GTX112978
GTX112978 WB Image

Non-transfected (–) and transfected (+) HeLa whole cell extracts (15 μg) were separated by 10% SDS-PAGE, and the membrane was blotted with Cytokeratin 18 antibody [N3C3] (GTX112978) diluted at 1:8000. The HRP-conjugated anti-rabbit IgG antibody (GTX213110-01) was used to detect the primary antibody.

1 / 13
Anti-Cytokeratin 18 antibody [N3C3] used in IHC (Paraffin sections) (IHC-P). GTX112978
GTX112978 IHC-P Image

Immunohistochemical analysis of paraffin-embedded H661 xenograft, using Cytokeratin 18(GTX112978) antibody at 1:500 dilution.
Antigen Retrieval: Citrate buffer, pH 6.0, 15 min

2 / 13
Anti-Cytokeratin 18 antibody [N3C3] used in Western Blot (WB). GTX112978
GTX112978 WB Image

Sample (30 μg of whole cell lysate)
A: Raji
10% SDS PAGE
GTX112978 diluted at 1:10000
The HRP-conjugated anti-rabbit IgG antibody (GTX213110-01) was used to detect the primary antibody.

3 / 13
Anti-Cytokeratin 18 antibody [N3C3] used in Immunocytochemistry/ Immunofluorescence (ICC/IF). GTX112978
GTX112978 ICC/IF Image

Immunofluorescence analysis of paraformaldehyde-fixed HeLa, using Cytokeratin 18 (GTX112978) antibody at 1:200 dilution.

4 / 13
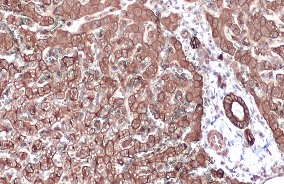
Anti-Cytokeratin 18 antibody [N3C3] used in IHC (Paraffin sections) (IHC-P). GTX112978
GTX112978 IHC-P Image

Cytokeratin 18 antibody [N3C3] detects Cytokeratin 18 protein at cytoplasm in mouse urinary bladder by immunohistochemical analysis.
Sample: Paraffin-embedded mouse urinary bladder.
Cytokeratin 18 antibody [N3C3] (GTX112978) diluted at 1:500.

Antigen Retrieval: Citrate buffer, pH 6.0, 15 min

5 / 13
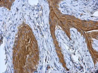
Anti-Cytokeratin 18 antibody [N3C3] used in IHC (Paraffin sections) (IHC-P). GTX112978
GTX112978 IHC-P Image

Cytokeratin 18 antibody detects Cytokeratin 18 protein at cell membrane and cytoplasm by immunohistochemical analysis.
Sample: Paraffin-embedded dog stomach.
Cytokeratin 18 stained by Cytokeratin 18 antibody (GTX112978) diluted at 1:500.
Antigen Retrieval: Citrate buffer, pH 6.0, 15 min

6 / 13
Anti-Cytokeratin 18 antibody [N3C3] used in IHC (Whole mount) (IHC-Wm). GTX112978
GTX112978 IHC-Wm Image

Immunohistochemical analysis (whole mount) of zebrafish embryo, using Cytokeratin 18 antibody [N3C3] (GTX112978) at 1:200 dilution.

7 / 13
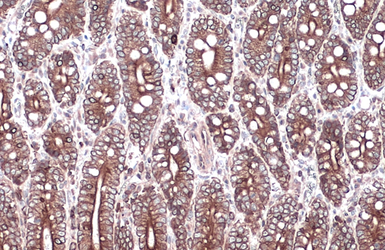
Anti-Cytokeratin 18 antibody [N3C3] used in IHC (Paraffin sections) (IHC-P). GTX112978
GTX112978 IHC-P Image

Cytokeratin 18 antibody detects Cytokeratin 18 protein at cell membrane and cytoplasm by immunohistochemical analysis.
Sample: Paraffin-embedded dog intestine.
Cytokeratin 18 stained by Cytokeratin 18 antibody (GTX112978) diluted at 1:500.
Antigen Retrieval: Citrate buffer, pH 6.0, 15 min

8 / 13
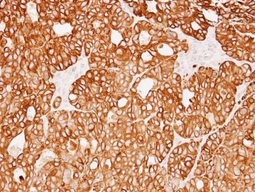
Anti-Cytokeratin 18 antibody [N3C3] used in IHC (Paraffin sections) (IHC-P). GTX112978
GTX112978 IHC-P Image

Cytokeratin 18 antibody detects Cytokeratin 18 protein at cell membrane and cytoplasm by immunohistochemical analysis.
Sample: Paraffin-embedded dog liver.
Cytokeratin 18 stained by Cytokeratin 18 antibody (GTX112978) diluted at 1:500.
Antigen Retrieval: Citrate buffer, pH 6.0, 15 min

9 / 13
Anti-Cytokeratin 18 antibody [N3C3] used in Western Blot (WB). GTX112978
GTX112978 WB Image

Whole cell extract (30 μg) was separated by 10% SDS-PAGE, and the membrane was blotted with Cytokeratin 18 antibody (GTX112978) diluted at 1:8000. The HRP-conjugated anti-rabbit IgG antibody (GTX213110-01) was used to detect the primary antibody, and the signal was developed with Trident ECL plus-Enhanced.

10 / 13
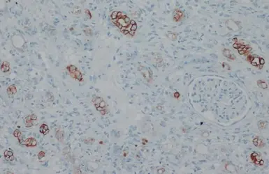
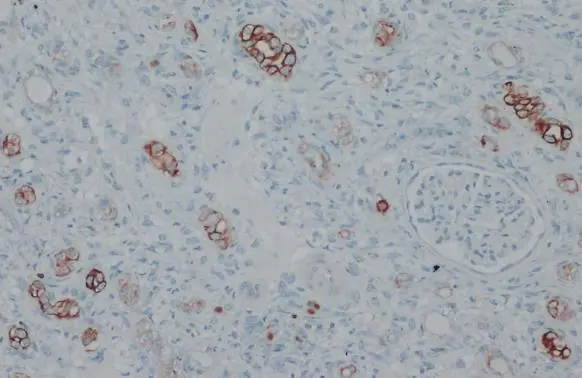
Anti-Cytokeratin 18 antibody [N3C3] used in IHC (Paraffin sections) (IHC-P). GTX112978
GTX112978 IHC-P Image

Cytokeratin 18 antibody detects Cytokeratin 18 protein at cytoskeleton by immunohistochemical analysis.
Sample: Paraffin-embedded dog malignant nephroblastoma.
Cytokeratin 18 stained by Cytokeratin 18 antibody (GTX112978) diluted at 1:500.
Antigen Retrieval: Citrate buffer, pH 6.0, 15 min

11 / 13
Anti-Cytokeratin 18 antibody [N3C3] used in Immunocytochemistry/ Immunofluorescence (ICC/IF). GTX112978
GTX112978 ICC/IF Image

Cytokeratin 18 antibody detects Cytokeratin 18 protein at cytoplasm and nucleus by immunofluorescent analysis.
Sample: MDCK cells were fixed in 4% paraformaldehyde at RT for 15 min.
Green: Cytokeratin 18 stained by Cytokeratin 18 antibody (GTX112978) diluted at 1:500.

12 / 13
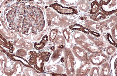
Anti-Cytokeratin 18 antibody [N3C3] used in IHC (Paraffin sections) (IHC-P). GTX112978
GTX112978 IHC-P Image

Cytokeratin 18 antibody detects Cytokeratin 18 protein at cell membrane and cytoplasm by immunohistochemical analysis.
Sample: Paraffin-embedded dog kidney.
Cytokeratin 18 stained by Cytokeratin 18 antibody (GTX112978) diluted at 1:500.
Antigen Retrieval: Citrate buffer, pH 6.0, 15 min

13 / 13
Anti-Cytokeratin 18 antibody [N3C3] used in Western Blot (WB). GTX112978
Anti-Cytokeratin 18 antibody [N3C3] used in IHC (Paraffin sections) (IHC-P). GTX112978
Anti-Cytokeratin 18 antibody [N3C3] used in Western Blot (WB). GTX112978
Anti-Cytokeratin 18 antibody [N3C3] used in Immunocytochemistry/ Immunofluorescence (ICC/IF). GTX112978
Anti-Cytokeratin 18 antibody [N3C3] used in IHC (Paraffin sections) (IHC-P). GTX112978
Anti-Cytokeratin 18 antibody [N3C3] used in IHC (Paraffin sections) (IHC-P). GTX112978
Anti-Cytokeratin 18 antibody [N3C3] used in IHC (Whole mount) (IHC-Wm). GTX112978
Anti-Cytokeratin 18 antibody [N3C3] used in IHC (Paraffin sections) (IHC-P). GTX112978
Anti-Cytokeratin 18 antibody [N3C3] used in IHC (Paraffin sections) (IHC-P). GTX112978
Anti-Cytokeratin 18 antibody [N3C3] used in Western Blot (WB). GTX112978
Anti-Cytokeratin 18 antibody [N3C3] used in IHC (Paraffin sections) (IHC-P). GTX112978
Anti-Cytokeratin 18 antibody [N3C3] used in Immunocytochemistry/ Immunofluorescence (ICC/IF). GTX112978
Anti-Cytokeratin 18 antibody [N3C3] used in IHC (Paraffin sections) (IHC-P). GTX112978
  • 宿主
    Rabbit
  • 克隆
    Polyclonal
  • 同种型
    IgG
  • 实验应用
    WB ICC/IF IHC-P IHC-Wm
  • 种属反应
    Human, Mouse, Zebrafish, Dog
查看所有 Cytokeratin 18 的产品