Cytokeratin 19抗体 [N1C1]

目录号 GTX112826
目录号  GTX112826
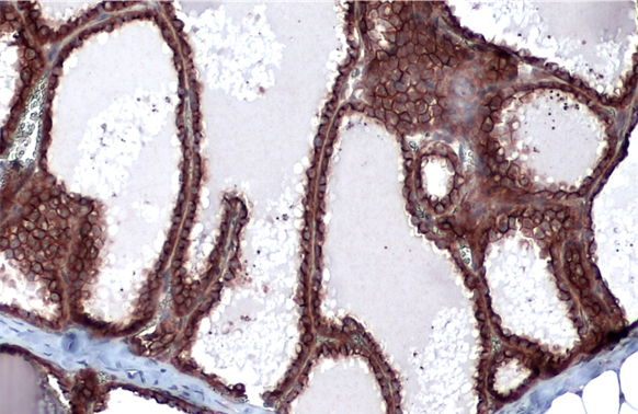
Anti-Cytokeratin 19 antibody [N1C1] used in IHC (Paraffin sections) (IHC-P). GTX112826
GTX112826 IHC-P Image

Cytokeratin 19 antibody [N1C1] detects Cytokeratin 19 protein at cell membrane by immunohistochemical analysis.
Sample: Paraffin-embedded mouse tongue.
Cytokeratin 19 stained by Cytokeratin 19 antibody [N1C1] (GTX112826) diluted at 1:500.
Antigen Retrieval: Citrate buffer, pH 6.0, 15 min

1 / 7
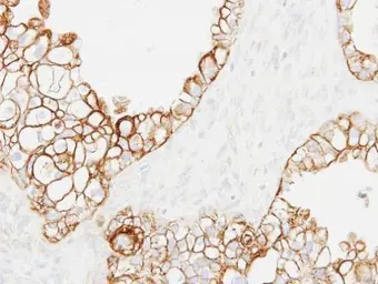
Anti-Cytokeratin 19 antibody [N1C1] used in IHC (Paraffin sections) (IHC-P). GTX112826
GTX112826 IHC-P Image

Cytokeratin 19 antibody [N1C1] detects Cytokeratin 19 protein at cytoplasm in human lung adenocarcinoma by immunohistochemical analysis.
Sample: Paraffin-embedded human lung adenocarcinoma.
Cytokeratin 19 antibody [N1C1] (GTX112826) diluted at 1:500.

Antigen Retrieval: Citrate buffer, pH 6.0, 15 min

2 / 7
Anti-Cytokeratin 19 antibody [N1C1] used in Western Blot (WB). GTX112826
GTX112826 WB Image

Whole cell extract (30 μg) was separated by 10% SDS-PAGE, and the membrane was blotted with Cytokeratin 19 antibody [N1C1] (GTX112826) diluted at 1:1000. The HRP-conjugated anti-rabbit IgG antibody (GTX213110-01) was used to detect the primary antibody, and the signal was developed with Trident ECL plus-Enhanced.

3 / 7
Anti-Cytokeratin 19 antibody [N1C1] used in Immunocytochemistry/ Immunofluorescence (ICC/IF). GTX112826
GTX112826 ICC/IF Image

Immunofluorescence analysis of paraformaldehyde-fixed HeLa, using Cytokeratin 19 (GTX112826) antibody at 1:200 dilution.

4 / 7
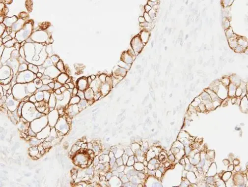
Anti-Cytokeratin 19 antibody [N1C1] used in IHC (Paraffin sections) (IHC-P). GTX112826
GTX112826 IHC-P Image

Immunohistochemical analysis of paraffin-embedded OVCA xenograft, using Cytokeratin 19(GTX112826) antibody at 1:500 dilution.
Antigen Retrieval: Citrate buffer, pH 6.0, 15 min

5 / 7
Anti-Cytokeratin 19 antibody [N1C1] used in Western Blot (WB). GTX112826
GTX112826 WB Image

Whole cell extract (30 μg) was separated by 10% SDS-PAGE, and the membrane was blotted with Cytokeratin 19 antibody (GTX112826) diluted at 1:1000. The HRP-conjugated anti-rabbit IgG antibody (GTX213110-01) was used to detect the primary antibody.

6 / 7
Anti-Cytokeratin 19 antibody [N1C1] used in IHC (Paraffin sections) (IHC-P). GTX112826
GTX112826 IHC-P Image

Cytokeratin 19 antibody detects Cytokeratin 19 protein at cell membrane and cytoplasm by immunohistochemical analysis.
Sample: Paraffin-embedded dog mammary gland.
Cytokeratin 19 stained by Cytokeratin 19 antibody (GTX112826) diluted at 1:500.
Antigen Retrieval: Citrate buffer, pH 6.0, 15 min

7 / 7
Anti-Cytokeratin 19 antibody [N1C1] used in IHC (Paraffin sections) (IHC-P). GTX112826
Anti-Cytokeratin 19 antibody [N1C1] used in IHC (Paraffin sections) (IHC-P). GTX112826
Anti-Cytokeratin 19 antibody [N1C1] used in Western Blot (WB). GTX112826
Anti-Cytokeratin 19 antibody [N1C1] used in Immunocytochemistry/ Immunofluorescence (ICC/IF). GTX112826
Anti-Cytokeratin 19 antibody [N1C1] used in IHC (Paraffin sections) (IHC-P). GTX112826
Anti-Cytokeratin 19 antibody [N1C1] used in Western Blot (WB). GTX112826
Anti-Cytokeratin 19 antibody [N1C1] used in IHC (Paraffin sections) (IHC-P). GTX112826
  • 宿主
    Rabbit
  • 克隆
    Polyclonal
  • 同种型
    IgG
  • 实验应用
    WB ICC/IF IHC-P
  • 种属反应
    Human, Mouse, Dog
查看所有 Cytokeratin 19 的产品